Dấu hiệu nhận biết viêm vú hậu sản và chữa trị

Dấu hiệu nhận biết viêm vú hậu sản và chữa trị

19-03-2020

Viêm vú hậu sản là một trong những nỗi lo lắng của nhiều mẹ. Nó mang đến phiền toái đau đớn, ảnh hưởng đến quá trình cho con bú hàng ngày. Mẹ hãy chuẩn bị ngay những kiến thức dưới đây để kịp thời giải tỏa nỗi lo lắng này.

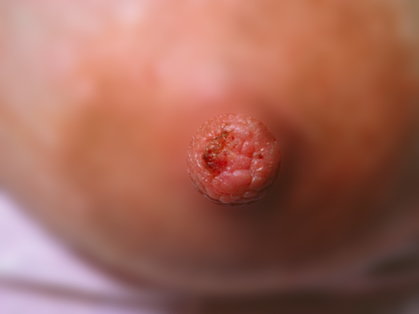
Viêm vú hậu sản: Nứt nẻ và loét núm vú

Nguyên nhân và triệu chứng nứt nẻ và loét núm vú

Nứt nẻ và loét núm vú biểu hiện dễ dàng nhận ra là khi xuất hiện các vết trợt da do mất niêm mạc trên núm vú. Biểu hiện nặng hơn là tổn thương rộng trên toàn núm vú nhất là ở khu vực giao giữa núm và bầu ngực mà dân gian hay gọi là nứt cổ gà gây đỏ, bong tróc và đau rát cho mẹ đặc biệt là khi trẻ bú.

Nguyên nhân của tình trạng này là do trẻ ngậm bắt vú kém , sai cách hoặc trẻ dùng lợi cắn, nhay núm vú. Một nguyên nhân khác ít xảy ra hơn là nhiễm nấm.

Biện pháp chữa trị nứt nẻ và loét núm vú

Hãy quan sát miệng trẻ, mông hay quanh hậu môn nếu thấy có vết trắng như nấm thì có thể nghi ngờ nhiễm nấm để đưa trẻ và mẹ đi khám, xử lý triệt để.

Nếu nguyên nhân là do trẻ ngậm bắt vú kém thì mẹ điều chỉnh lại cách ngậm bắt vú của trẻ vừa giải quyết được tình trạng nứt loét vừa thông sữa.

Ngoài ra, mẹ có thể chăm sóc tại chỗ bằng cách làm sạch núm vú trước và ngay sau mỗi lần bé ti. Tổ chức Y tế thế giới (WHO) khuyên tránh dùng xà phòng, hóa chất và thuốc nhất là trong thời kỳ cho con bú.

Bên cạnh đó, hiện cũng chưa có nhiều bằng chứng khoa học cho thấy thuốc mỡ chữa lành tổn thương núm vú xong nhiều mẹ dùng thuốc mỡ làm giảm cảm giác đau rát. Mẹ nhớ lau sạch núm vú trước khi cho bé ti để đảm bảo vệ sinh và an toàn cho bé.

Phòng ngừa nứt núm vú hiệu quả

Luôn giữ sạch núm vú, bầu ngực của mẹ trước và sau mỗi lần bé ti vừa an toàn cho bé, vừa vệ sinh cho mẹ.

Cho bé ngậm bắt núm vú đúng cách để tránh tình trạng “nứt cổ gà”.

Nên cho bé ti đúng cữ, ti no, tránh ti lắt nhắt khiến bé cáu, nhay cắn núm vú. Mặt khác bé ti lắt nhắt nhất là về đêm khiến mẹ ngại dậy vệ sinh núm vú tạo điều kiện cho vi khuẩn phát triển.

Có thể bạn quan tâm:

 width= Dấu hiệu nứt nẻ múm vú sau sinh

Cương tức tuyến vú

Nguyên nhân và triệu chứng cương tức tuyến vú

Cương tức tuyến vú là tình trạng các ống dẫn sữa đầy sữa, không được thoát ra ngoài gây phù nề, sưng đau, đầu vú bóng đỏ, mẹ có thể bị sốt trong 24 giờ và không có sữa chảy ra.

Nguyên nhân của cương tức tuyến vú có thể do:

- Mẹ quá nhiều sữa.

- Bắt đầu cho bé bú muộn (do mẹ sinh mổ hay các nguyên nhân khác mà bé không bú mẹ).

- Trẻ bú không thường xuyên.

- Trẻ bú lắt nhắt, mỗi lần bú không hết sữa.

- Trẻ ngậm bắt núm vú sai cách không hút được sữa ra.

bầu ngực bị căng sữa Minh họa bệnh học tình trạng cương tức tuyến vú sau sinh

Điều trị cương tức tuyến vú

Cách tốt nhất để điều trị cương tức tuyến vú là cho trẻ bú làm trống bầu bú.

- Cố gắng cho trẻ bú đúng cách, đúng cữ, bú hết sữa trong mỗi cữ.

- Nếu bé không bú được sữa hoặc không bú hết hoặc không được bú, mẹ nên dùng máy hút sữa hút hết sữa ra.

- Một số thao tác hữu ích: mẹ nghỉ ngơi và thư giãn để tinh tinh thần thoải mái; mẹ kích thích núm vú và da vùng núm vú; massage vú nhẹ nhàng; đặt gạc lạnh lên núm vú có thể làm giảm bớt cảm giác khó chịu.

- Mặc áo cotton thông thoáng để bầu ngực được thoải mái hơn.

Biện pháp phòng ngừa cương tức tuyến vú

Cương tức tuyến vú có thể phòng ngừa bằng cách:

- Cho trẻ bắt đầu bú sớm ngay sau khi sinh

- Cho trẻ bú thường xuyên, đúng cữ, bú đủ trong mỗi cữ sữa và phải làm trống bầu ngực hoàn toàn sau mỗi cữ.

- Để loại trừ tình trạng trẻ ngậm bắt núm vú kém mẹ nên thay đổi nhiều tư thế để tìm được tư thế đúng giúp trẻ bú tốt hơn.

căng tức tuyến vú sau sinh Biểu hiện cương tức tuyến vú sau sinh

Tắc tia sữa và viêm vú

Tại sao phụ nữ sau sinh hay bị tắc tia sữa?

Ngay sau khi sinh, tuyến sữa bắt đầu sản xuất sữa, tiết sữa thông qua ống dẫn sữa. Nếu sữa không được thoát ra ngoài mà ứ đọng lại trong mô vú khiến cho các nang tuyến phình to, chèn ép hệ thống ống dẫn sữa và gây tắc nghẽn cục bộ các ống dẫn sữa.

Thông thường, sau khi sinh, nếu bé được ti mẹ ngay, ti no khiến tuyến sữa được thông liên tục sẽ không gây tắc. Nhưng nếu bé ngậm bắt núm vú sai, bé ti không no hay vì một lý do khác bé chưa được ti mẹ thì rất dễ gây tắc tia sữa.

Bên cạnh đó, có một số bà mẹ có sữa quá đặc, sữa tiết nhiều hơn so với nhu cầu của bé khiến sữa ứ đọng cũng gây tắc tia sữa.

Tắc tia sữa dẫn đến viêm vú

Khi ống dẫn sữa bị tắc xảy ra hiện tượng ứ đọng sữa. Ứ đọng sữa nhiều gây nên phản ứng viêm cục bộ không nhiễm trùng của mô vú kèm theo các dấu hiệu như bầu ngực phình to như sưng, hơi đỏ và đau tức.

Nếu tình trạng bội nhiễm xảy ra, phần mô vú bị tắc sẽ có phản ứng viêm vú nhiễm trùng hay thường gọi là “áp xe vú”. Các triệu chứng như viêm vú không nhiễm trùng nhưng nặng hơn.

  • Ngứa bầu ngực, đau rát.
  • Bầu ngực sưng tấy, đỏ.
  • Ấn tay nhẹ vào bầu ngực cảm giác căng cứng và đau.
  • Mẹ bị sốt cao, cảm giác ớn lạnh, mệt mỏi.
  • Sữa không tiết, tiết ít hoặc có mủ.

Tuy nhiên, rất khó để phân biệt đâu là dấu hiệu quả viêm vú không nhiễm trùng và viêm vú nhiễm trùng. Ngay khi mẹ nhận thấy các dấu hiệu bất thường, mẹ cần kiểm tra để xử lý kịp thời.

Phương pháp chữa trị tắc tia sữa và viêm vú

Áp xe vú cần được chỉ định kháng sinh, nghỉ ngơi và giảm đau có thể gián đoạn quá trình mẹ cho con bú. Sử dụng kháng sinh phải đủ liều, đủ thời gian, tránh tình trạng mẹ sợ bé không được ti mà gián đoạn điều trị làm tình trạng trở nên nặng hơn. Vì vậy, mẹ cần chữa trị tắc tia sữa từ sớm để tránh tình trạng nặng lên.

Khi mẹ bị tắc tia sữa cần được thông tắc ngay:

-Phương pháp thông tắc tự nhiên nhất là cho bé bú đều hai bên, bú đủ và bú hết sữa trong mỗi cữ.

-Trước khi cho bé bú, mẹ massage ngực theo chiều kim đồng hồ, đặc biệt là những vị trí sờ thấy cục nổi lên do tắc sữa khiến tuyến vú bị phình ra. Khi vú mềm mới cho bé ti. Bé vừa ti mẹ vừa massage thật đều và nhớ để bé bú hết một bên mới đổi bên khác.

-Nếu bé bú không hết, mẹ nên dùng máy hút sữa để hút hết sữa thừa ra. Nếu bé chưa tự bú được, mẹ có thể hút ra cho bé bú bình hoặc bón thìa…

-Mẹ bị tắc nặng và thường xuyên có thể thông tắc bằng chiếu đèn hồng ngoại/đèn diện chẩn/bấm huyệt/châm cứu tại các bệnh viện uy tín.

viem-vu-hau-san Biểu hiện áp xe tuyến vú sau sinh

Biện pháp phòng ngừa tắc tia sữa và áp xe vú

Để tránh tắc tia sữa và áp xe vú, mẹ nên:

- Cho bé bú đều đặn, bú cả hai bên và bú hết sữa trong mỗi cữ. Cho bé bú nhiều tư thế khác nhau, giữa cữ mẹ nên ợ hơi cho bé mới cho bú tiếp là cách giúp bé bú nhiều và hiệu quả hơn.

- Nếu bé bú không hết, mẹ hút hết sữa thừa sữa bằng máy hút sữa để bầu ngực thông thoáng. Việc này cũng giúp kích thích tuyến sữa sản xuất sữa hiệu quả hơn.

- Với những mẹ có sữa quá đặc và nhiều hoặc bé chưa biết bú (chưa được bú), mẹ cũng nên hút hết sữa theo cữ 2 hoặc 3h/lần.

- Massage ngực 10- 15 phút trước khi hút sữa.

**Lưu ý: Những thông tin cung cấp trong bài viết của Bệnh viện Đa khoa Hồng Ngọc mang tính chất tham khảo, không thay thế cho việc chẩn đoán hoặc điều trị y khoa. Người bệnh không được tự ý mua thuốc để điều trị. Để biết chính xác tình trạng bệnh lý, người bệnh cần tới các bệnh viện để được bác sĩ thăm khám trực tiếp, chẩn đoán và tư vấn phác đồ điều trị hợp lý.

Theo dõi fanpage của Bệnh viện Đa khoa Hồng Ngọc để biết thêm thông tin bổ ích khác

https://www.facebook.com/BenhvienHongNgoc/

Đọc tiếp
Quay lại
Hỏi đáp Bác sĩ
Viết câu hỏi
Cơ sở chuyên khoa liên quan
Bệnh viện Đa khoa Hồng Ngọc - Phúc Trường Minh
  • Số 8 đường Châu Văn Liêm, Phường Từ Liêm, Thành phố Hà Nội, Việt Nam
  • Hotline: +(84-24) 7300 8866
Đặt lịch ngay
Bệnh viện Đa khoa Hồng Ngọc - Yên Ninh
  • Số 55 Yên Ninh, phường Ba Đình, Hà Nội
  • Hotline: (+84-24) 3927 5568
Đặt lịch ngay
Phòng khám Đa khoa Hồng Ngọc - Keangnam
  • Tầng 10 tòa nhà 70 tầng, tòa nhà Keangnam Hanoi Landmark Tower, phường Yên Hòa, Hà Nội
  • Hotline: (+84-24) 3927 5568
Đặt lịch ngay
Phòng khám Đa khoa Hồng Ngọc - Kosmo Tây Hồ
  • Tầng 1&2 Tòa nhà NoVo chung cư Kosmo, 161 Xuân La, phường Xuân Đỉnh, Hà Nội
  • Hotline: (+84-24) 3927 5568
Đặt lịch ngay