Bệnh sâu răng do bú bình

Bệnh sâu răng do bú bình

15-11-2013
Sống khỏe

Nhiều phụ huynh không hiểu vì sao con mình từ 1 - 3 tuổi rất dễ bị đa sâu răng ở các răng cửa sữa hàm trên và hàm dưới và ít người biết rằng nguyên nhân gây nên tình trạng đa sâu răng như trên là do trẻ có thói quen bú bình trong khoảng thời gian dài mà vệ sinh răng miệng kém.

Nguyên nhân sâu răng do bú bình

Sâu răng do bú bình thường xảy ra ở những trẻ có thói quen bú bình, ăn hay ngậm trong miệng những chất lỏng có chứa nhiều đường như: sữa có đường, nước trái cây, nước ngọt trong khi ngủ.

Những trẻ có thói quen ngậm bình sữa hay các thức uống có đường trước khi ngủ sẽ làm chất đường lên men thành acid, tấn công vào men răng làm hư hại men răng, lâu ngày gây nên tình trạng đa sâu răng, nhất là các răng cửa sữa ở hàm trên và hàm dưới.

Vào ban đêm, trẻ thường ngủ kéo dài khoảng 8-10 giờ, thời gian này chỉ có một ít lượng nước bọt được tiết ra, do đó dưới tác động của các chất đường từ trong sữa hay các chất ngọt sẽ lắng đọng lại trên răng sẽ làm phá hủy men răng dẫn đến sâu răng.

Trong môi trường miệng, luôn có sẵn các loại vi khuẩn thường trú như Streptococcus mutans sẽ sử dụng các chất đường có trong thức ăn tồn đọng trong miệng, sau đó lên men thành acid phá men răng làm cho các răng bị sâu.

sâu răng do bú bình Thói quen ngậm bình sữa của trẻ sẽ dẫn đến sâu răng

Tác hại sâu răng do bú bình thế nào?

Nếu trẻ có thói quen bú bình lâu ngày mà không vệ sinh kỹ lưỡng các răng sẽ bị mất khoáng hay xuất hiện nhiều lỗ sâu trên nhiều răng, nếu không can thiệp và điều trị kịp thời. 

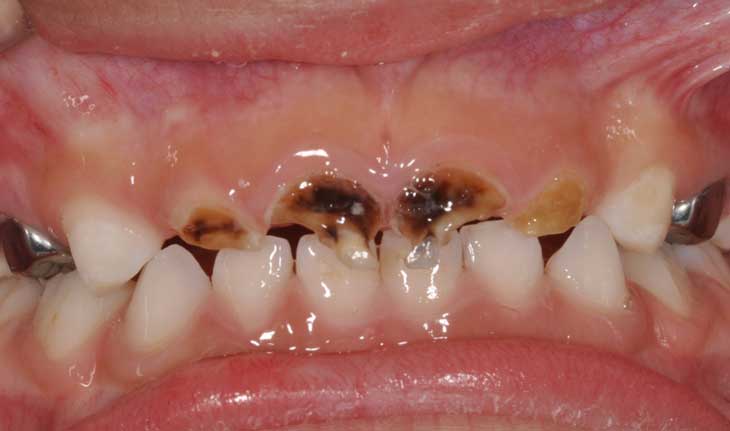
Hậu quả là các răng sữa phía trước hàm trên của bé thường có những lỗ sâu răng lớn hay những mảng khuyết lớn màu trắng, sau đó chuyển thành màu đen hoặc lớp men răng có thể bị phá hủy hoàn toàn tạo thành những lỗ sâu.

Lớp men và ngà của răng sữa rất mỏng, sâu răng lâu ngày nếu không được điều trị và dự phòng sớm sẽ làm cho trẻ bị đau nhức và gặp khó khăn trong việc ăn nhai, học tập và ảnh hưởng đến thẩm mỹ…

Trường hợp trầm trọng hơn các răng sâu có thể gây ra nhiễm trùng phải nhổ răng, đôi khi làm ảnh hưởng đến các mầm răng vĩnh viễn bên dưới hay ảnh hưởng đến sức khỏe toàn thân, đôi khi có thể gây nhiễm trùng huyết…Nếu phải nhổ sớm các răng sữa thì các răng vĩnh viễn mọc lên sau này sẽ mọc lệch lạc làm ảnh hưởng đến chức năng ăn nhai, phát âm, thẩm mỹ.

sâu răng do bú bình Không cho trẻ đi ngủ cùng với bình sữa

Làm sao phòng ngừa sâu răng do bú bình?

Hiệp hội Nha khoa Trẻ em – Hoa Kỳ đã đưa ra một số hướng dẫn phòng ngừa sâu răng do bú bình:

- Không nên để trẻ đi ngủ với bình sữa, nước trái cây hay nước ngọt ngậm trong miệng, nếu bé có thói quen bú bình mới ngủ thì chỉ cho ngậm bình nước lọc và lấy bình ra khi bé đã ngủ.

- Nên tập cho bé bú sữa mẹ hay bú bình, uống sữa vào các bữa ăn chính, không nên tập cho bé có thói quen cầm bình sữa chạy vòng vòng chơi hay ngậm bình sữa khi đi ngủ.

- Khi bé được 1 tuổi, nên tập cho trẻ uống sữa bằng ly càng sớm càng tốt. Vì khi uống sữa bằng ly, bé sẽ không có thói quen ngậm sữa trong miệng vì thế các chất đường trong sữa sẽ không đọng lại lâu trên răng.

- Giữ vệ sinh răng miệng bé luôn sạch sẽ bằng cách chải răng, uống nước sau khi uống sữa hay dùng gạc lau sạch răng cho bé sau mỗi lần ăn hay uống sữa.

- Nếu bé cần ngậm núm vú mới ngủ được, nhất là vào ban đêm thì nên cho bé uống nước sạch, hạn chế sử dụng các loại thức uống có đường.

- Tập cho bé có thói quen khám răng miệng định kỳ 6 tháng hay 1 năm/lần, để phát hiện những răng mới bị sâu và được hướng dẫn cách chăm sóc răng miệng đúng cách.

Những thông tin cung cấp trong bài viết của Bệnh viện Đa khoa Hồng Ngọc chỉ có tính chất tham khảo, không thay thế cho việc chẩn đoán hoặc điều trị y khoa.

Theo dõi fanpage của Bệnh viện Đa khoa Hồng Ngọc để biết thêm thông tin bổ ích khác: https://www.facebook.com/BenhvienHongNgoc/

Đọc tiếp
Quay lại
Hỏi đáp Bác sĩ
Viết câu hỏi
Cơ sở chuyên khoa liên quan
Bệnh viện Đa khoa Hồng Ngọc - Phúc Trường Minh
  • Số 8 đường Châu Văn Liêm, Phường Từ Liêm, Thành phố Hà Nội, Việt Nam
  • Hotline: +(84-24) 7300 8866
Đặt lịch ngay
Bệnh viện Đa khoa Hồng Ngọc - Yên Ninh
  • Số 55 Yên Ninh, phường Ba Đình, Hà Nội
  • Hotline: (+84-24) 3927 5568
Đặt lịch ngay
Phòng khám Đa khoa Hồng Ngọc - Keangnam
  • Tầng 10 tòa nhà 70 tầng, tòa nhà Keangnam Hanoi Landmark Tower, phường Yên Hòa, Hà Nội
  • Hotline: (+84-24) 3927 5568
Đặt lịch ngay
Phòng khám Đa khoa Hồng Ngọc - Kosmo Tây Hồ
  • Tầng 1&2 Tòa nhà NoVo chung cư Kosmo, 161 Xuân La, phường Xuân Đỉnh, Hà Nội
  • Hotline: (+84-24) 3927 5568
Đặt lịch ngay