Thay khớp gối là giải pháp hiệu quả giúp người bệnh khôi phục khả năng vận động khi khớp gối đã bị thoái hóa hoặc tổn thương nặng. Phẫu thuật này không chỉ giúp giảm đau, cải thiện chất lượng cuộc sống mà còn giúp người bệnh trở lại sinh hoạt bình thường. Vậy khi nào cần thay khớp gối và quy trình thực hiện ra sao? Cùng Bệnh viện Hồng Ngọc tìm hiểu chi tiết trong bài viết dưới đây.
Tổng quan về phẫu thuật thay khớp gối
Phẫu thuật thay khớp gối (knee replacement) là phương pháp thay thế các bề mặt khớp gối đã hư hỏng bằng khớp nhân tạo nhằm giảm đau, phục hồi khả năng vận động và nâng cao chất lượng cuộc sống cho người bệnh.
Bác sĩ thường cân nhắc chỉ định khi người bệnh bị thoái hóa khớp gối nặng, viêm khớp dạng thấp hoặc chấn thương làm tổn thương sụn và xương dưới sụn, gây đau kéo dài, hạn chế vận động dù đã điều trị bảo tồn (thuốc, vật lý trị liệu, tiêm nội khớp…). Nhờ tiến bộ trong gây mê – hồi sức, vô khuẩn và kỹ thuật mổ, nhiều bệnh nhân có thể bắt đầu tập đi sớm và hồi phục chức năng theo lộ trình được bác sĩ hướng dẫn.
Hình ảnh minh họa thay khớp gối giúp phục hồi vận động và giảm đau do thoái hóa.
Khớp nhân tạo gồm những bộ phận nào?
Một khớp gối nhân tạo thường có cấu tạo mô phỏng khớp tự nhiên với ba thành phần chính:
Phần đùi:Gắn vào đầu dưới xương đùi, thường làm từ hợp kim bền (ví dụ cobalt–chromium) tạo bề mặt trơn nhẵn giúp khớp vận động mượt.
Phần chày:Gắn vào đầu trên xương chày, gồm đế kim loại chịu lực và miếng đệm polyethylene hấp thụ va chạm, giảm ma sát khi cử động.
Phần xương bánh chè:Là miếng đệm bằng polyethylene gắn vào mặt sau xương bánh chè, hỗ trợ trượt êm khi gập – duỗi gối.
Các vật liệu này có tính tương thích sinh học cao, ít gây phản ứng và có thể sử dụng bền vững trong nhiều năm khi người bệnh tuân thủ chăm sóc, luyện tập đúng hướng dẫn.
Mục tiêu của phẫu thuật thay khớp gối
Giảm đau: Loại bỏ bề mặt xương và sụn bị mòn – nguyên nhân chính gây đau mạn tính.
Phục hồi vận động: Cải thiện khả năng đi lại, đứng lên – ngồi xuống, leo cầu thang và sinh hoạt hằng ngày.
Sửa biến dạng trục chi: Hỗ trợ đưa trục chân về gần bình thường, giảm tình trạng chân chữ O/X.
Nâng cao chất lượng sống: Khi khớp ổn định và ít đau, người bệnh có thể trở lại hoạt động phù hợp thể trạng.
Thời gian hồi phục sau phẫu thuật thay khớp gối khác nhau giữa các cá thể và phụ thuộc vào thể trạng, bệnh lý đi kèm và mức độ tuân thủ chương trình phục hồi chức năng do bác sĩ chỉ định.
Khi nào cần thay khớp gối?
Thay khớp gối là lựa chọn điều trị cuối cùng khi các phương pháp bảo tồn như thuốc, vật lý trị liệu hay tiêm nội khớp không còn mang lại hiệu quả. Bác sĩ sẽ cân nhắc chỉ định phẫu thuật khi tổn thương khớp đã nặng, gây đau liên tục, biến dạng chi và làm giảm đáng kể khả năng vận động của người bệnh.
Dưới đây là những trường hợp thường được xem xét thay khớp gối:
Thoái hóa khớp gối nặng
Đây là nguyên nhân phổ biến nhất. Khi lớp sụn khớp bị mòn gần hết, hai đầu xương cọ xát vào nhau gây đau dữ dội, sưng, cứng khớp và biến dạng trục chân. Người bệnh khó đi lại, leo cầu thang hoặc thậm chí đau ngay cả khi nghỉ ngơi. Khi hình ảnh X-quang cho thấy khe khớp hẹp, mọc gai xương và khớp bị hư hại nặng, bác sĩ có thể chỉ định thay khớp gối để khôi phục chức năng.
Viêm khớp dạng thấp hoặc các bệnh lý viêm mạn tính
Các bệnh viêm khớp mạn tính khiến màng hoạt dịch sưng viêm, làm tổn thương sụn và xương dưới sụn theo thời gian. Khi tình trạng viêm kéo dài gây đau nhiều, biến dạng khớp và hạn chế cử động, phẫu thuật thay khớp gối có thể giúp giảm đau và cải thiện khả năng vận động đáng kể.
Chấn thương khớp gối nặng
Những chấn thương nghiêm trọng như gãy xương, vỡ mâm chày, tổn thương sụn khớp hoặc hoại tử xương sau chấn thương có thể dẫn đến thoái hóa khớp sớm. Nếu cấu trúc khớp không thể phục hồi bằng phương pháp khác, thay khớp gối được xem là giải pháp tối ưu giúp phục hồi khả năng vận động và ổn định khớp.
Khi điều trị bảo tồn không còn hiệu quả
Trong nhiều trường hợp, người bệnh đã điều trị nội khoa, tiêm huyết tương giàu tiểu cầu (PRP), hoặc tập vật lý trị liệu trong thời gian dài nhưng vẫn đau nhiều và khớp ngày càng cứng, bác sĩ có thể khuyến nghị thay khớp gối. Mục tiêu là giúp người bệnh giảm đau, vận động dễ dàng hơn và tránh biến chứng do teo cơ, biến dạng khớp tiến triển.
Việc quyết định thay khớp gối cần được bác sĩ chuyên khoa Cơ – Xương – Khớp hoặc Chấn thương chỉnh hình thăm khám trực tiếp, đánh giá mức độ tổn thương bằng lâm sàng và hình ảnh học (X-quang, MRI) để đưa ra chỉ định chính xác nhất.
Quy trình thay khớp gối diễn ra như thế nào?
Phẫu thuật thay khớp gối là một quá trình được thực hiện tỉ mỉ và an toàn theo các bước chuẩn y khoa nhằm đảm bảo kết quả tốt nhất cho người bệnh. Toàn bộ quy trình thường kéo dài khoảng 1–2 giờ, nhưng thời gian chuẩn bị và hồi phục có thể lâu hơn tùy thể trạng mỗi người. Dưới đây là các giai đoạn chính của quy trình thay khớp gối.
Chuẩn bị trước phẫu thuật
Trước khi phẫu thuật, người bệnh sẽ được bác sĩ thăm khám kỹ lưỡng để đánh giá toàn diện tình trạng sức khỏe và khớp gối. Các bước thường bao gồm:
Khám lâm sàng và chẩn đoán hình ảnh: Thực hiện X-quang, MRI hoặc CT để xác định mức độ tổn thương khớp và lựa chọn loại khớp nhân tạo phù hợp.
Xét nghiệm tổng quát: Bao gồm công thức máu, sinh hóa, đông máu, điện tim và X-quang phổi để đảm bảo đủ điều kiện gây mê.
Tối ưu bệnh nền: Bệnh nhân có các bệnh lý như tiểu đường, tăng huyết áp, tim mạch... cần được kiểm soát ổn định trước mổ.
Tư vấn và chuẩn bị tâm lý: Bác sĩ giải thích chi tiết quy trình, rủi ro và hướng dẫn các bài tập trước mổ để người bệnh làm quen với vận động sau phẫu thuật.
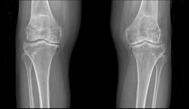
Chụp X-Quang đánh giá tình trạng khớp trước phẫu thuật
Các bước thực hiện trong phòng mổ
Phẫu thuật thay khớp gối được thực hiện trong phòng mổ vô khuẩn, do ekip bác sĩ chấn thương chỉnh hình cùng đội ngũ gây mê – hồi sức phối hợp. Quy trình gồm các bước:
Gây mê hoặc gây tê tủy sống: Giúp người bệnh không đau trong suốt quá trình phẫu thuật.
Rạch da và bộc lộ khớp gối: Bác sĩ rạch một đường nhỏ ở mặt trước khớp gối để tiếp cận vùng xương – sụn bị tổn thương.
Loại bỏ phần khớp hư hỏng: Cắt bỏ phần sụn và xương bị mòn ở đầu xương đùi, xương chày và mặt sau xương bánh chè.
Lắp đặt khớp nhân tạo: Gắn các thành phần khớp nhân tạo vào vị trí đã chuẩn bị, cân chỉnh trục khớp để đảm bảo vận động tự nhiên.
Kiểm tra độ ổn định và đóng vết mổ: Sau khi lắp khớp, bác sĩ kiểm tra biên độ gập duỗi, rửa sạch vùng mổ và khâu lại các lớp mô, da.
Trong nhiều trường hợp, bác sĩ có thể đặt dẫn lưu để tránh tụ máu và băng ép nhẹ vùng khớp gối sau khi mổ.
Chăm sóc và phục hồi sau phẫu thuật
Sau mổ, người bệnh được theo dõi tại bệnh viện trong vài ngày đầu để kiểm soát đau, theo dõi dấu hiệu sinh tồn và phòng ngừa biến chứng. Giai đoạn phục hồi đóng vai trò rất quan trọng để đạt kết quả lâu dài:
Vật lý trị liệu sớm: Bắt đầu vận động nhẹ nhàng ngay sau 1–2 ngày theo hướng dẫn của kỹ thuật viên nhằm ngăn cứng khớp và huyết khối.
Tập đi với dụng cụ hỗ trợ: Người bệnh có thể tập đi bằng khung hoặc nạng trong tuần đầu, tăng dần cường độ theo chỉ định.
Chăm sóc vết mổ: Giữ sạch, khô, tránh nhiễm trùng. Thay băng và cắt chỉ theo lịch hẹn.
Tái khám định kỳ: Bác sĩ kiểm tra tiến triển phục hồi, chụp X-quang đánh giá vị trí khớp nhân tạo và điều chỉnh kế hoạch tập luyện nếu cần.
Với sự phát triển của kỹ thuật và trang thiết bị hiện đại, phẫu thuật thay khớp gối tại Bệnh viện Hồng Ngọc giúp người bệnh rút ngắn thời gian nằm viện, giảm đau sau mổ và nhanh chóng trở lại sinh hoạt bình thường.
Ưu điểm và rủi ro khi thay khớp gối
Phẫu thuật thay khớp gối mang lại nhiều lợi ích rõ rệt cho người bị thoái hóa hoặc tổn thương khớp nặng, giúp cải thiện đáng kể chất lượng cuộc sống. Tuy nhiên, giống như mọi loại phẫu thuật khác, thủ thuật này vẫn tiềm ẩn một số rủi ro nhất định cần được người bệnh hiểu rõ trước khi quyết định thực hiện.
Ưu điểm của phẫu thuật thay khớp gối
Giảm đau rõ rệt:Đa số người bệnh giảm đau gần như hoàn toàn sau phẫu thuật, không còn cảm giác nhức mỏi hoặc cứng khớp như trước.
Phục hồi khả năng vận động:Người bệnh có thể đi lại, leo cầu thang, ngồi xổm và thực hiện sinh hoạt thường ngày dễ dàng hơn, giúp duy trì lối sống năng động.
Cải thiện hình dạng và trục chi:Phẫu thuật giúp điều chỉnh các biến dạng như chân chữ O hoặc chữ X, cải thiện dáng đi và cân bằng khớp.
Kéo dài tuổi thọ khớp và nâng cao chất lượng sống:Khớp nhân tạo hiện đại có tuổi thọ trung bình 15–20 năm, cho phép người bệnh sinh hoạt và làm việc gần như bình thường.
Rút ngắn thời gian hồi phục nhờ kỹ thuật tiên tiến:Với công nghệ phẫu thuật ít xâm lấn, gây mê an toàn và vật lý trị liệu sớm, người bệnh có thể đứng dậy, tập đi chỉ sau vài ngày.
Rủi ro và biến chứng có thể gặp
Mặc dù tỷ lệ biến chứng thấp, thay khớp gối vẫn có thể gặp một số rủi ro, đặc biệt ở người lớn tuổi hoặc có bệnh lý nền. Các nguy cơ bao gồm:
Nhiễm trùng sau mổ:Có thể xảy ra ở vết mổ hoặc sâu trong khớp. Để phòng ngừa, quy trình phẫu thuật được thực hiện trong phòng mổ vô khuẩn tuyệt đối và bệnh nhân được dùng kháng sinh dự phòng.
Hình thành cục máu đông (huyết khối tĩnh mạch sâu):Người bệnh có thể được chỉ định mang vớ áp lực, tập vận động sớm hoặc dùng thuốc chống đông để giảm nguy cơ.
Tổn thương dây thần kinh hoặc mạch máu quanh gối:Hiếm gặp nhưng có thể gây tê, yếu cơ hoặc rối loạn cảm giác tạm thời.
Lỏng khớp hoặc mòn bề mặt khớp nhân tạo:Có thể xảy ra sau nhiều năm sử dụng, đặc biệt nếu bệnh nhân hoạt động mạnh hoặc thừa cân. Trong trường hợp này, có thể cần thay lại khớp (phẫu thuật revision).
Đau hoặc cứng khớp kéo dài:Một số ít bệnh nhân vẫn cảm thấy khó chịu do mô sẹo, cơ yếu hoặc phản ứng với vật liệu khớp. Việc tuân thủ chương trình tập phục hồi sẽ giúp cải thiện đáng kể.
Nhìn chung, với tay nghề bác sĩ giàu kinh nghiệm và hệ thống thiết bị hiện đại, Bệnh viện Hồng Ngọc giúp giảm thiểu tối đa các rủi ro và mang lại kết quả điều trị tối ưu. Trước phẫu thuật, người bệnh nên được tư vấn kỹ về lợi ích, nguy cơ cũng như kế hoạch phục hồi để có sự chuẩn bị tốt nhất.
Các loại khớp gối nhân tạo
Khớp gối nhân tạo được dùng để thay thế khớp gối bị hư hỏng do bị chấn thương, thoái hóa, biến dạng khớp,… giúp khôi phục khả năng vận động, đi lại cho người bệnh. Các loại khớp gối nhân tạo toàn phần thường được sử dụng trong phẫu thuật thay khớp gối là: Không liên kết, liên kết một phần và dạng bản lề. Việc phân loại khớp gối nhân tạo dựa trên các yếu tố: Sự liên kết của thành phần xương đùi và mâm chày; Cách cố định của lớp lót Polyethylene và mâm chày; Phương tiện cố định của dụng cụ vào xương.
Trung bình, tuổi thọ của khớp gối nhân tạo là 15-20 năm. Hiện tại thì có đến 98.8% khớp gối nhân tạo còn nguyên vẹn sau 17 năm và có thể tiếp tục duy trì hiệu quả trên 20 năm đối với khớp gối Evolution Medial Pivot mà hiện nay Bệnh viện Hồng Ngọc đang sử dụng cho bệnh nhân.
Các phương pháp thay khớp gối
Thay khớp gối toàn phần
Thay khớp gối toàn phần là phương pháp phẫu thuật phù hợp với những bệnh nhân thoái hóa khớp gối nặng hoặc tổn thương khớp gối nghiêm trọng, bằng cách thay toàn bộ khớp gối bị hư hỏng bằng khớp nhân tạo. Sau phẫu thuật, bệnh nhân giảm thiểu tối đa những cơn đau, khôi phục khả năng vận động, đi lại và gấp duỗi gối dễ dàng, nâng cao chất lượng cuộc sống.
Thay khớp gối bán phần
Thay khớp gối bán phần phù hợp cho những bệnh nhân mắc tổn thương khớp gối ở một vị trí cụ thể, không lan rộng toàn bộ khớp. Do đó, bệnh nhân chỉ cần thay phần khớp gối bị tổn thương, có thể là ngăn trong hoặc ngăn ngoài và giữ lại phần khớp gối còn lại khỏe mạnh. Phương pháp phẫu thuật này giúp bệnh nhân có thể phục hồi nhanh chóng hơn, duy trì được nhiều chức năng vận động tự nhiên của khớp gối và ít gặp phải biến chứng sau phẫu thuật.
Bệnh viện Đa khoa Hồng Ngọc xuất sắc vượt qua các tiêu chí đánh giá khắt khe, tiếp nhận chuyển giao phương pháp thay khớp gối không cắt gân cơ của Giáo sư Nhật Bản. Với phương pháp hiện đại này sẽ hạn chế được các biến chứng sau thay khớp gối bằng phương pháp cũ mà người bệnh có thể gặp phải như: nhiễm trùng, đau đớn kéo dài, hai chân không cân bằng, vận động khớp khó khăn,… Đặc biệt, BVĐK Hồng Ngọc có nhiều ưu điểm vượt trội:
BVĐK Hồng Ngọc đạt tiêu chuẩn toàn cầu về phẫu thuật ngoại khoa, được chứng nhận bởi Hiệp hội Phẫu thuật Hoàng Gia Anh (RCS).
Hệ thống dụng cụ phẫu thuật chuyên dụng đảm bảo can thiệp chính xác, hệ thống phòng mổ vô khuẩn tuyệt đối, an toàn, tránh nhiễm khuẩn cho bệnh nhân.
Đội ngũ bác sĩ được đào tạo bài bản về chấn thương chỉnh hình tại Châu Âu, Pháp, Nhật, Úc,… liên tục cập nhật phương pháp, kỹ thuật mới giúp phẫu thuật ít xâm lấn, bệnh nhân nhanh hồi phục.
Ứng dụng mô hình gây mê – giảm đau trước, trong và sau mổ an toàn, tránh tai biến, kết hợp phác đồ phục hồi chức năng chuyên sâu giúp tăng tuần hoàn máu, ngăn ngừa teo cơ cứng khớp sau mổ.
Người bệnh đến thăm khám và điều trị sẽ được tận hưởng nhiều tiện ích như không gian bệnh viện khách sạn 5 sao; lịch trình theo dõi cụ thể, chủ động hẹn tái khám; áp dụng BHYT và bảo lãnh bảo nhanh chóng.
Nếu có nhu cầu nhận tư vấn chuyên sâu hơn về Thay khớp gối tại Bệnh viện Đa khoa Hồng Ngọc, quý khách vui lòng liên hệ theo số Hotline 0912002131 hoặc 0949646556 để được hỗ trợ nhanh nhất!
Lưu ý:
Nên tham khảo ý kiến của bác sĩ chuyên khoa để được tư vấn cụ thể về tình trạng bệnh và phương pháp điều trị phù hợp.
Tuân thủ theo hướng dẫn của bác sĩ trong quá trình chuẩn bị, phẫu thuật và phục hồi chức năng.
Khớp gối nhân tạo không thể sử dụng suốt đời, cần được theo dõi định kỳ và thay thế khi cần thiết.
Câu hỏi thường gặp về thay khớp gối
Thay khớp gối là gì?
Đó là phẫu thuật loại bỏ bề mặt khớp gối bị hư hỏng và thay bằng khớp nhân tạo nhằm giảm đau và phục hồi vận động.
Khi nào cần thay khớp gối?
Khi thoái hóa khớp gối nặng, viêm khớp dạng thấp hoặc chấn thương nặng gây đau kéo dài, hạn chế vận động và các phương pháp điều trị bảo tồn không còn hiệu quả.
Thay khớp gối có đau không?
Trong mổ bạn được gây mê/gây tê nên không đau; sau mổ sẽ có đau mức độ nhẹ–vừa và được kiểm soát bằng thuốc theo phác đồ.
Khớp gối nhân tạo dùng được bao lâu?
Tuổi thọ trung bình khoảng 15–20 năm, có thể lâu hơn nếu kỹ thuật tốt và phục hồi đúng hướng dẫn.
Sau bao lâu có thể đi lại bình thường?
Đa số bệnh nhân bắt đầu tập đi có hỗ trợ trong vài ngày, cải thiện rõ sau 6–12 tuần; thời gian cụ thể tùy thể trạng và tuân thủ phục hồi.
Biến chứng nào có thể gặp?
Nhiễm trùng, huyết khối tĩnh mạch sâu, lỏng khớp, cứng khớp. Tần suất thấp khi tuân thủ quy trình phòng ngừa và theo dõi.
Ai không nên thay khớp gối?
Nhiễm trùng hoạt động, sức khỏe toàn thân không bảo đảm cho gây mê, biến dạng nặng cần cân nhắc đặc biệt. Cần được bác sĩ chuyên khoa thăm khám và chỉ định.
Cần chuẩn bị gì trước khi mổ?
Khám tiền mê, xét nghiệm, đánh giá hình ảnh khớp; tối ưu bệnh nền; tập trước mổ và sắp xếp hỗ trợ sau xuất viện.
Những thông tin cung cấp trong bài viết của Bệnh viện Đa khoa Hồng Ngọc mang tính chất tham khảo, không thay thế cho việc chẩn đoán hoặc điều trị y khoa. Người bệnh không được tự ý mua thuốc để điều trị. Để biết chính xác tình trạng bệnh lý, người bệnh cần tới các bệnh viện để được bác sĩ thăm khám trực tiếp, chẩn đoán và tư vấn phác đồ điều trị hợp lý.
Theo dõi fanpage của Bệnh viện Hồng Ngọc để có thêm những thông tin hữu ích về sức khỏe và các chương trình ưu đãi hấp dẫn từ bệnh viện.
Thay khớp gối là giải pháp hiệu quả giúp người bệnh khôi phục khả năng vận động khi khớp gối đã bị thoái hóa hoặc tổn thương nặng. Phẫu thuật này không chỉ giúp giảm đau, cải thiện chất lượng cuộc sống mà còn giúp người bệnh trở lại sinh hoạt bình thường. Vậy khi nào cần thay khớp gối và quy trình thực hiện ra sao? Cùng Bệnh viện Hồng Ngọc tìm hiểu chi tiết trong bài viết dưới đây.
Tổng quan về phẫu thuật thay khớp gối
Phẫu thuật thay khớp gối (knee replacement) là phương pháp thay thế các bề mặt khớp gối đã hư hỏng bằng khớp nhân tạo nhằm giảm đau, phục hồi khả năng vận động và nâng cao chất lượng cuộc sống cho người bệnh.
Bác sĩ thường cân nhắc chỉ định khi người bệnh bị thoái hóa khớp gối nặng, viêm khớp dạng thấp hoặc chấn thương làm tổn thương sụn và xương dưới sụn, gây đau kéo dài, hạn chế vận động dù đã điều trị bảo tồn (thuốc, vật lý trị liệu, tiêm nội khớp…). Nhờ tiến bộ trong gây mê – hồi sức, vô khuẩn và kỹ thuật mổ, nhiều bệnh nhân có thể bắt đầu tập đi sớm và hồi phục chức năng theo lộ trình được bác sĩ hướng dẫn.
Hình ảnh minh họa thay khớp gối giúp phục hồi vận động và giảm đau do thoái hóa.
Khớp nhân tạo gồm những bộ phận nào?
Một khớp gối nhân tạo thường có cấu tạo mô phỏng khớp tự nhiên với ba thành phần chính:
Phần đùi:Gắn vào đầu dưới xương đùi, thường làm từ hợp kim bền (ví dụ cobalt–chromium) tạo bề mặt trơn nhẵn giúp khớp vận động mượt.
Phần chày:Gắn vào đầu trên xương chày, gồm đế kim loại chịu lực và miếng đệm polyethylene hấp thụ va chạm, giảm ma sát khi cử động.
Phần xương bánh chè:Là miếng đệm bằng polyethylene gắn vào mặt sau xương bánh chè, hỗ trợ trượt êm khi gập – duỗi gối.
Các vật liệu này có tính tương thích sinh học cao, ít gây phản ứng và có thể sử dụng bền vững trong nhiều năm khi người bệnh tuân thủ chăm sóc, luyện tập đúng hướng dẫn.
Mục tiêu của phẫu thuật thay khớp gối
Giảm đau: Loại bỏ bề mặt xương và sụn bị mòn – nguyên nhân chính gây đau mạn tính.
Phục hồi vận động: Cải thiện khả năng đi lại, đứng lên – ngồi xuống, leo cầu thang và sinh hoạt hằng ngày.
Sửa biến dạng trục chi: Hỗ trợ đưa trục chân về gần bình thường, giảm tình trạng chân chữ O/X.
Nâng cao chất lượng sống: Khi khớp ổn định và ít đau, người bệnh có thể trở lại hoạt động phù hợp thể trạng.
Thời gian hồi phục sau phẫu thuật thay khớp gối khác nhau giữa các cá thể và phụ thuộc vào thể trạng, bệnh lý đi kèm và mức độ tuân thủ chương trình phục hồi chức năng do bác sĩ chỉ định.
Khi nào cần thay khớp gối?
Thay khớp gối là lựa chọn điều trị cuối cùng khi các phương pháp bảo tồn như thuốc, vật lý trị liệu hay tiêm nội khớp không còn mang lại hiệu quả. Bác sĩ sẽ cân nhắc chỉ định phẫu thuật khi tổn thương khớp đã nặng, gây đau liên tục, biến dạng chi và làm giảm đáng kể khả năng vận động của người bệnh.
Dưới đây là những trường hợp thường được xem xét thay khớp gối:
Thoái hóa khớp gối nặng
Đây là nguyên nhân phổ biến nhất. Khi lớp sụn khớp bị mòn gần hết, hai đầu xương cọ xát vào nhau gây đau dữ dội, sưng, cứng khớp và biến dạng trục chân. Người bệnh khó đi lại, leo cầu thang hoặc thậm chí đau ngay cả khi nghỉ ngơi. Khi hình ảnh X-quang cho thấy khe khớp hẹp, mọc gai xương và khớp bị hư hại nặng, bác sĩ có thể chỉ định thay khớp gối để khôi phục chức năng.
Viêm khớp dạng thấp hoặc các bệnh lý viêm mạn tính
Các bệnh viêm khớp mạn tính khiến màng hoạt dịch sưng viêm, làm tổn thương sụn và xương dưới sụn theo thời gian. Khi tình trạng viêm kéo dài gây đau nhiều, biến dạng khớp và hạn chế cử động, phẫu thuật thay khớp gối có thể giúp giảm đau và cải thiện khả năng vận động đáng kể.
Chấn thương khớp gối nặng
Những chấn thương nghiêm trọng như gãy xương, vỡ mâm chày, tổn thương sụn khớp hoặc hoại tử xương sau chấn thương có thể dẫn đến thoái hóa khớp sớm. Nếu cấu trúc khớp không thể phục hồi bằng phương pháp khác, thay khớp gối được xem là giải pháp tối ưu giúp phục hồi khả năng vận động và ổn định khớp.
Khi điều trị bảo tồn không còn hiệu quả
Trong nhiều trường hợp, người bệnh đã điều trị nội khoa, tiêm huyết tương giàu tiểu cầu (PRP), hoặc tập vật lý trị liệu trong thời gian dài nhưng vẫn đau nhiều và khớp ngày càng cứng, bác sĩ có thể khuyến nghị thay khớp gối. Mục tiêu là giúp người bệnh giảm đau, vận động dễ dàng hơn và tránh biến chứng do teo cơ, biến dạng khớp tiến triển.
Việc quyết định thay khớp gối cần được bác sĩ chuyên khoa Cơ – Xương – Khớp hoặc Chấn thương chỉnh hình thăm khám trực tiếp, đánh giá mức độ tổn thương bằng lâm sàng và hình ảnh học (X-quang, MRI) để đưa ra chỉ định chính xác nhất.
Quy trình thay khớp gối diễn ra như thế nào?
Phẫu thuật thay khớp gối là một quá trình được thực hiện tỉ mỉ và an toàn theo các bước chuẩn y khoa nhằm đảm bảo kết quả tốt nhất cho người bệnh. Toàn bộ quy trình thường kéo dài khoảng 1–2 giờ, nhưng thời gian chuẩn bị và hồi phục có thể lâu hơn tùy thể trạng mỗi người. Dưới đây là các giai đoạn chính của quy trình thay khớp gối.
Chuẩn bị trước phẫu thuật
Trước khi phẫu thuật, người bệnh sẽ được bác sĩ thăm khám kỹ lưỡng để đánh giá toàn diện tình trạng sức khỏe và khớp gối. Các bước thường bao gồm:
Khám lâm sàng và chẩn đoán hình ảnh: Thực hiện X-quang, MRI hoặc CT để xác định mức độ tổn thương khớp và lựa chọn loại khớp nhân tạo phù hợp.
Xét nghiệm tổng quát: Bao gồm công thức máu, sinh hóa, đông máu, điện tim và X-quang phổi để đảm bảo đủ điều kiện gây mê.
Tối ưu bệnh nền: Bệnh nhân có các bệnh lý như tiểu đường, tăng huyết áp, tim mạch... cần được kiểm soát ổn định trước mổ.
Tư vấn và chuẩn bị tâm lý: Bác sĩ giải thích chi tiết quy trình, rủi ro và hướng dẫn các bài tập trước mổ để người bệnh làm quen với vận động sau phẫu thuật.
Chụp X-Quang đánh giá tình trạng khớp trước phẫu thuật
Các bước thực hiện trong phòng mổ
Phẫu thuật thay khớp gối được thực hiện trong phòng mổ vô khuẩn, do ekip bác sĩ chấn thương chỉnh hình cùng đội ngũ gây mê – hồi sức phối hợp. Quy trình gồm các bước:
Gây mê hoặc gây tê tủy sống: Giúp người bệnh không đau trong suốt quá trình phẫu thuật.
Rạch da và bộc lộ khớp gối: Bác sĩ rạch một đường nhỏ ở mặt trước khớp gối để tiếp cận vùng xương – sụn bị tổn thương.
Loại bỏ phần khớp hư hỏng: Cắt bỏ phần sụn và xương bị mòn ở đầu xương đùi, xương chày và mặt sau xương bánh chè.
Lắp đặt khớp nhân tạo: Gắn các thành phần khớp nhân tạo vào vị trí đã chuẩn bị, cân chỉnh trục khớp để đảm bảo vận động tự nhiên.
Kiểm tra độ ổn định và đóng vết mổ: Sau khi lắp khớp, bác sĩ kiểm tra biên độ gập duỗi, rửa sạch vùng mổ và khâu lại các lớp mô, da.
Trong nhiều trường hợp, bác sĩ có thể đặt dẫn lưu để tránh tụ máu và băng ép nhẹ vùng khớp gối sau khi mổ.
Chăm sóc và phục hồi sau phẫu thuật
Sau mổ, người bệnh được theo dõi tại bệnh viện trong vài ngày đầu để kiểm soát đau, theo dõi dấu hiệu sinh tồn và phòng ngừa biến chứng. Giai đoạn phục hồi đóng vai trò rất quan trọng để đạt kết quả lâu dài:
Vật lý trị liệu sớm: Bắt đầu vận động nhẹ nhàng ngay sau 1–2 ngày theo hướng dẫn của kỹ thuật viên nhằm ngăn cứng khớp và huyết khối.
Tập đi với dụng cụ hỗ trợ: Người bệnh có thể tập đi bằng khung hoặc nạng trong tuần đầu, tăng dần cường độ theo chỉ định.
Chăm sóc vết mổ: Giữ sạch, khô, tránh nhiễm trùng. Thay băng và cắt chỉ theo lịch hẹn.
Tái khám định kỳ: Bác sĩ kiểm tra tiến triển phục hồi, chụp X-quang đánh giá vị trí khớp nhân tạo và điều chỉnh kế hoạch tập luyện nếu cần.
Với sự phát triển của kỹ thuật và trang thiết bị hiện đại, phẫu thuật thay khớp gối tại Bệnh viện Hồng Ngọc giúp người bệnh rút ngắn thời gian nằm viện, giảm đau sau mổ và nhanh chóng trở lại sinh hoạt bình thường.
Ưu điểm và rủi ro khi thay khớp gối
Phẫu thuật thay khớp gối mang lại nhiều lợi ích rõ rệt cho người bị thoái hóa hoặc tổn thương khớp nặng, giúp cải thiện đáng kể chất lượng cuộc sống. Tuy nhiên, giống như mọi loại phẫu thuật khác, thủ thuật này vẫn tiềm ẩn một số rủi ro nhất định cần được người bệnh hiểu rõ trước khi quyết định thực hiện.
Ưu điểm của phẫu thuật thay khớp gối
Giảm đau rõ rệt:Đa số người bệnh giảm đau gần như hoàn toàn sau phẫu thuật, không còn cảm giác nhức mỏi hoặc cứng khớp như trước.
Phục hồi khả năng vận động:Người bệnh có thể đi lại, leo cầu thang, ngồi xổm và thực hiện sinh hoạt thường ngày dễ dàng hơn, giúp duy trì lối sống năng động.
Cải thiện hình dạng và trục chi:Phẫu thuật giúp điều chỉnh các biến dạng như chân chữ O hoặc chữ X, cải thiện dáng đi và cân bằng khớp.
Kéo dài tuổi thọ khớp và nâng cao chất lượng sống:Khớp nhân tạo hiện đại có tuổi thọ trung bình 15–20 năm, cho phép người bệnh sinh hoạt và làm việc gần như bình thường.
Rút ngắn thời gian hồi phục nhờ kỹ thuật tiên tiến:Với công nghệ phẫu thuật ít xâm lấn, gây mê an toàn và vật lý trị liệu sớm, người bệnh có thể đứng dậy, tập đi chỉ sau vài ngày.
Rủi ro và biến chứng có thể gặp
Mặc dù tỷ lệ biến chứng thấp, thay khớp gối vẫn có thể gặp một số rủi ro, đặc biệt ở người lớn tuổi hoặc có bệnh lý nền. Các nguy cơ bao gồm:
Nhiễm trùng sau mổ:Có thể xảy ra ở vết mổ hoặc sâu trong khớp. Để phòng ngừa, quy trình phẫu thuật được thực hiện trong phòng mổ vô khuẩn tuyệt đối và bệnh nhân được dùng kháng sinh dự phòng.
Hình thành cục máu đông (huyết khối tĩnh mạch sâu):Người bệnh có thể được chỉ định mang vớ áp lực, tập vận động sớm hoặc dùng thuốc chống đông để giảm nguy cơ.
Tổn thương dây thần kinh hoặc mạch máu quanh gối:Hiếm gặp nhưng có thể gây tê, yếu cơ hoặc rối loạn cảm giác tạm thời.
Lỏng khớp hoặc mòn bề mặt khớp nhân tạo:Có thể xảy ra sau nhiều năm sử dụng, đặc biệt nếu bệnh nhân hoạt động mạnh hoặc thừa cân. Trong trường hợp này, có thể cần thay lại khớp (phẫu thuật revision).
Đau hoặc cứng khớp kéo dài:Một số ít bệnh nhân vẫn cảm thấy khó chịu do mô sẹo, cơ yếu hoặc phản ứng với vật liệu khớp. Việc tuân thủ chương trình tập phục hồi sẽ giúp cải thiện đáng kể.
Nhìn chung, với tay nghề bác sĩ giàu kinh nghiệm và hệ thống thiết bị hiện đại, Bệnh viện Hồng Ngọc giúp giảm thiểu tối đa các rủi ro và mang lại kết quả điều trị tối ưu. Trước phẫu thuật, người bệnh nên được tư vấn kỹ về lợi ích, nguy cơ cũng như kế hoạch phục hồi để có sự chuẩn bị tốt nhất.
Các loại khớp gối nhân tạo
Khớp gối nhân tạo được dùng để thay thế khớp gối bị hư hỏng do bị chấn thương, thoái hóa, biến dạng khớp,… giúp khôi phục khả năng vận động, đi lại cho người bệnh. Các loại khớp gối nhân tạo toàn phần thường được sử dụng trong phẫu thuật thay khớp gối là: Không liên kết, liên kết một phần và dạng bản lề. Việc phân loại khớp gối nhân tạo dựa trên các yếu tố: Sự liên kết của thành phần xương đùi và mâm chày; Cách cố định của lớp lót Polyethylene và mâm chày; Phương tiện cố định của dụng cụ vào xương.
Trung bình, tuổi thọ của khớp gối nhân tạo là 15-20 năm. Hiện tại thì có đến 98.8% khớp gối nhân tạo còn nguyên vẹn sau 17 năm và có thể tiếp tục duy trì hiệu quả trên 20 năm đối với khớp gối Evolution Medial Pivot mà hiện nay Bệnh viện Hồng Ngọc đang sử dụng cho bệnh nhân.
Các phương pháp thay khớp gối
Thay khớp gối toàn phần
Thay khớp gối toàn phần là phương pháp phẫu thuật phù hợp với những bệnh nhân thoái hóa khớp gối nặng hoặc tổn thương khớp gối nghiêm trọng, bằng cách thay toàn bộ khớp gối bị hư hỏng bằng khớp nhân tạo. Sau phẫu thuật, bệnh nhân giảm thiểu tối đa những cơn đau, khôi phục khả năng vận động, đi lại và gấp duỗi gối dễ dàng, nâng cao chất lượng cuộc sống.
Thay khớp gối bán phần
Thay khớp gối bán phần phù hợp cho những bệnh nhân mắc tổn thương khớp gối ở một vị trí cụ thể, không lan rộng toàn bộ khớp. Do đó, bệnh nhân chỉ cần thay phần khớp gối bị tổn thương, có thể là ngăn trong hoặc ngăn ngoài và giữ lại phần khớp gối còn lại khỏe mạnh. Phương pháp phẫu thuật này giúp bệnh nhân có thể phục hồi nhanh chóng hơn, duy trì được nhiều chức năng vận động tự nhiên của khớp gối và ít gặp phải biến chứng sau phẫu thuật.
Bệnh viện Đa khoa Hồng Ngọc xuất sắc vượt qua các tiêu chí đánh giá khắt khe, tiếp nhận chuyển giao phương pháp thay khớp gối không cắt gân cơ của Giáo sư Nhật Bản. Với phương pháp hiện đại này sẽ hạn chế được các biến chứng sau thay khớp gối bằng phương pháp cũ mà người bệnh có thể gặp phải như: nhiễm trùng, đau đớn kéo dài, hai chân không cân bằng, vận động khớp khó khăn,… Đặc biệt, BVĐK Hồng Ngọc có nhiều ưu điểm vượt trội:
BVĐK Hồng Ngọc đạt tiêu chuẩn toàn cầu về phẫu thuật ngoại khoa, được chứng nhận bởi Hiệp hội Phẫu thuật Hoàng Gia Anh (RCS).
Hệ thống dụng cụ phẫu thuật chuyên dụng đảm bảo can thiệp chính xác, hệ thống phòng mổ vô khuẩn tuyệt đối, an toàn, tránh nhiễm khuẩn cho bệnh nhân.
Đội ngũ bác sĩ được đào tạo bài bản về chấn thương chỉnh hình tại Châu Âu, Pháp, Nhật, Úc,… liên tục cập nhật phương pháp, kỹ thuật mới giúp phẫu thuật ít xâm lấn, bệnh nhân nhanh hồi phục.
Ứng dụng mô hình gây mê – giảm đau trước, trong và sau mổ an toàn, tránh tai biến, kết hợp phác đồ phục hồi chức năng chuyên sâu giúp tăng tuần hoàn máu, ngăn ngừa teo cơ cứng khớp sau mổ.
Người bệnh đến thăm khám và điều trị sẽ được tận hưởng nhiều tiện ích như không gian bệnh viện khách sạn 5 sao; lịch trình theo dõi cụ thể, chủ động hẹn tái khám; áp dụng BHYT và bảo lãnh bảo nhanh chóng.
Nếu có nhu cầu nhận tư vấn chuyên sâu hơn về Thay khớp gối tại Bệnh viện Đa khoa Hồng Ngọc, quý khách vui lòng liên hệ theo số Hotline 0912002131 hoặc 0949646556 để được hỗ trợ nhanh nhất!
Lưu ý:
Nên tham khảo ý kiến của bác sĩ chuyên khoa để được tư vấn cụ thể về tình trạng bệnh và phương pháp điều trị phù hợp.
Tuân thủ theo hướng dẫn của bác sĩ trong quá trình chuẩn bị, phẫu thuật và phục hồi chức năng.
Khớp gối nhân tạo không thể sử dụng suốt đời, cần được theo dõi định kỳ và thay thế khi cần thiết.
Câu hỏi thường gặp về thay khớp gối
Thay khớp gối là gì?
Đó là phẫu thuật loại bỏ bề mặt khớp gối bị hư hỏng và thay bằng khớp nhân tạo nhằm giảm đau và phục hồi vận động.
Khi nào cần thay khớp gối?
Khi thoái hóa khớp gối nặng, viêm khớp dạng thấp hoặc chấn thương nặng gây đau kéo dài, hạn chế vận động và các phương pháp điều trị bảo tồn không còn hiệu quả.
Thay khớp gối có đau không?
Trong mổ bạn được gây mê/gây tê nên không đau; sau mổ sẽ có đau mức độ nhẹ–vừa và được kiểm soát bằng thuốc theo phác đồ.
Khớp gối nhân tạo dùng được bao lâu?
Tuổi thọ trung bình khoảng 15–20 năm, có thể lâu hơn nếu kỹ thuật tốt và phục hồi đúng hướng dẫn.
Sau bao lâu có thể đi lại bình thường?
Đa số bệnh nhân bắt đầu tập đi có hỗ trợ trong vài ngày, cải thiện rõ sau 6–12 tuần; thời gian cụ thể tùy thể trạng và tuân thủ phục hồi.
Biến chứng nào có thể gặp?
Nhiễm trùng, huyết khối tĩnh mạch sâu, lỏng khớp, cứng khớp. Tần suất thấp khi tuân thủ quy trình phòng ngừa và theo dõi.
Ai không nên thay khớp gối?
Nhiễm trùng hoạt động, sức khỏe toàn thân không bảo đảm cho gây mê, biến dạng nặng cần cân nhắc đặc biệt. Cần được bác sĩ chuyên khoa thăm khám và chỉ định.
Cần chuẩn bị gì trước khi mổ?
Khám tiền mê, xét nghiệm, đánh giá hình ảnh khớp; tối ưu bệnh nền; tập trước mổ và sắp xếp hỗ trợ sau xuất viện.
Những thông tin cung cấp trong bài viết của Bệnh viện Đa khoa Hồng Ngọc mang tính chất tham khảo, không thay thế cho việc chẩn đoán hoặc điều trị y khoa. Người bệnh không được tự ý mua thuốc để điều trị. Để biết chính xác tình trạng bệnh lý, người bệnh cần tới các bệnh viện để được bác sĩ thăm khám trực tiếp, chẩn đoán và tư vấn phác đồ điều trị hợp lý.
Theo dõi fanpage của Bệnh viện Hồng Ngọc để có thêm những thông tin hữu ích về sức khỏe và các chương trình ưu đãi hấp dẫn từ bệnh viện.