Cuộc đời “nở hoa” sau khi thay khớp gối, khớp háng tại hồng ngọc

Cuộc đời “nở hoa” sau khi thay khớp gối, khớp háng tại hồng ngọc

19-03-2022

13 năm sống chung dai dẳng với hai khớp gối thoái hóa, biến dạng cùng hàng chục lần nhập viện điều trị vì đau đớn khiến cuộc sống sinh hoạt của bệnh nhân Nguyễn Thị Khanh (55 tuổi, Sơn La) gặp nhiều bất tiện.

 width= Hình ảnh khớp gối thoái hóa của bệnh nhân Nguyễn Thị Khanh

“Bề mặt khớp gối bệnh nhân bị tổn thương, thoái hóa gây mất sụn, biến dạng xương làm mất cấu trục bình thường của khớp gối” – Thạc sĩ. BSCKII Nguyễn Giang Lam khoa Ngoại – Bệnh viện Hồng Ngọc phân tích về tình trạng khớp gối qua phim chụp của bệnh nhân Khanh khi nhập viện. Và theo bác sĩ, thay khớp gối nhân tạo được coi là phương pháp điều trị tối ưu và duy nhất dành cho bệnh nhân lúc này.

Kết quả, sau thay khớp gối 3 ngày bệnh nhân Khanh đã có thể tập đi lại bằng nạng. Kết hợp với các bài tập phục hồi chức năng dựa trên sự tư vấn của các bác sĩ khoa Vật lý trị liệu – Phục hồi chức năng Bệnh viện Hồng Ngọc – bệnh nhân đã có thể đi lại, sinh hoạt bình thường chỉ sau 20 ngày phẫu thuật.

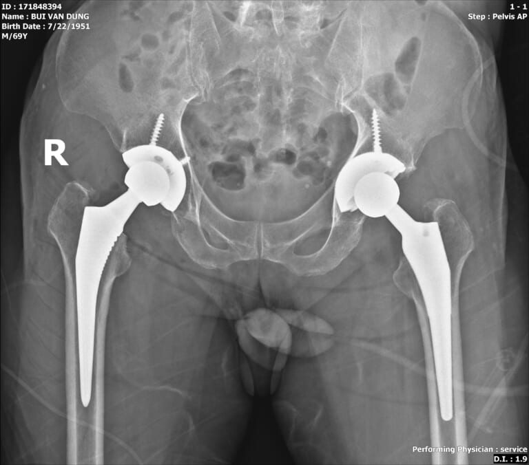
Hay một trường hợp thay khớp háng tại Hồng Ngọc là bệnh nhân Bùi Văn Dũng (70 tuổi, Đống Đa) bị hoại tử cả hai bên khớp háng khiến ông thường xuyên bị những cơn đau hành hạ cả ngày lẫn đêm.

 width= Bệnh nhân Dũng hồi phục nhanh chóng sau ca phẫu thuật thay khớp háng

Thạc sĩ. BSCKII Giang Lam cho biết: “Tình trạng thoái hóa khớp của bệnh nhân vừa do khớp bị lão hóa vừa do nghiện rượu nặng dẫn đến viêm khớp biến chứng hoại tử chỏm xương đùi trên và gây thoái hóa khớp. Bệnh nhân bị thoái hóa cả hai bên nhưng khớp háng trái tiến triển nhanh và nặng hơn với nhiều triệu chứng điển hình”.

Với mức độ nghiêm trọng này thì thay khớp háng được coi là “cứu cánh” cuối cùng để bệnh nhân sớm có thể quay trở lại cuộc sống bình thường.

Ca phẫu thuật thành công và bệnh nhân đã có sự hồi phục nhanh chóng nhờ kiên trì thực hiện các bài tập phục hồi chức năng tại viện. Người nhà bệnh nhân Dũng chia sẻ: “Sau khi mổ xong bổ tôi hồi phục rất nhanh, chắc chỉ một tuần thôi là chân đã hết đau và sau một tháng đã đi lại bình thường”.

Đây chỉ là 2 trong số hàng chục ca thay khớp háng, khớp gối được phẫu thuật thành công và chăm sóc hồi phục chức năng tại Bệnh viện Hồng Ngọc. Đa phần người bệnh đều đã trải qua các phương pháp điều trị khác như xoa bóp, bấm huyệt, châm cứu, nội khoa… mà không đem lại hiệu quả.

Tâm huyết mang tới dịch vụ điều trị chất lượng và khép kín

Tại Bệnh viện Đa khoa Hồng Ngọc, các bệnh nhân bị thoái hóa khớp gối, khớp háng sẽ được thăm khám với đội ngũ bác sĩ giỏi chuyên môn như: Tiến sĩ. BSCKII. Phạm Văn Cường với hơn 35 năm kinh nghiệm làm việc tại khoa ngoại tổng hợp; Thạc sĩ. BSCKII Nguyễn Giang Lam – Nguyên Trưởng khoa Ngoại Bệnh viện Đa khoa Đống Đa (Hà Nội), có hơn 30 năm kinh nghiệm về ngoại khoa. Với kiến thức chuyên môn và kinh nghiệm dày dặn cùng sự tận tâm, bệnh nhân sẽ được các bác sĩ tư vấn chi tiết về tình trạng bệnh cũng như phương pháp điều trị tối ưu.

Bên cạnh đó, các ca thay khớp nhân tạo tại Hồng Ngọc đều áp dụng các kỹ thuật tiên tiến, ít xâm lấn, đặc biệt có thể bảo tồn chức năng cơ (không cắt bỏ cơ) cho phép bệnh nhân phục hồi nhanh chóng.

 width= Khớp háng nhân tạo của bệnh nhân sau khi được thay

Không chỉ sở hữu đội ngũ bác sĩ Ngoại khoa chất lượng cao, chất liệu khớp nhân tạo hiện đại, Bệnh viện Hồng Ngọc còn rất chú trọng giai đoạn phục hồi chức năng cho mỗi bệnh nhân sau phẫu thuật. Bởi chúng tôi thấu hiểu, việc phục hồi chức năng đóng vai trò quan trọng hàng đầu giúp người bệnh sớm thích nghi với khớp nhân tạo và nhanh chóng quay trở lại cuộc sống sinh hoạt hằng ngày,

Theo đó, bệnh nhân sau phẫu thuật khớp háng, khớp gối tại Hồng Ngọc sẽ được tư vấn và vật lý trị liệu phục hồi chức năng ngay tại bệnh viện mà không cần tới cơ sở y tế khác. Khoa Vật lý trị liệu – Phục hồi chức năng Bệnh viện Hồng Ngọc được đầu tư hệ thống trang thiết bị hiện đại, được nhập khẩu từ Đức, phục vụ đa dạng các bài tập thể chất phù hợp tình trạng sức khỏe người bệnh. Đặc biệt, khoa còn sở hữu bể bơi vận động thủy trị liệu hiện đại nhất miền Bắc, giúp bệnh nhân thực hành các bài tập dưới nước một cách khoa học và hiệu quả.

Với sự hỗ trợ của các thiết bị máy móc và sự hướng dẫn tận tình của kỹ thuật viên, phần lớn bệnh nhân sau thay khớp háng và khớp gối có thể đi lại bằng nạng sau 2-3 ngày phẫu thuật, xuất viện sau 6 - 7 ngày. Bệnh nhân có thể đi lại và sinh hoạt bình thường mà không cần dụng cụ hỗ trợ sau 4 - 6 tuần.

Sự kết hợp linh hoạt giữa khoa Ngoại, khoa Vật lý trị liệu – Phục hồi chức năng cùng các chuyên khoa thăm khám ban đầu như xét nghiệm, chẩn đoán hình ảnh đã tạo ra quy trình điều trị khép kín cho các bệnh nhân thay khớp háng, khớp gối tại Hồng Ngọc. Bệnh nhân được chăm sóc toàn diện đến khi phục hồi chức năng ngay tại bệnh viện. Đây là lý do nhiều bệnh nhân tin chọn phẫu thuật thay khớp gối, khớp háng tại Hồng Ngọc chứ không phải bệnh viện khác.

 width= Sau phẫu thuật thay khớp, bệnh nhân được phục hồi chức năng ngay tại Hồng Ngọc mà không cần tới cơ sở y tế khác

Và tính đến thời điểm hiện tại, sau thay khớp nhân tạo tại Bệnh viện Hồng Ngọc, tất cả bệnh nhân đều có thể vận động, đi lại như bình thường mà không gặp bất kỳ các vấn đề nào về sức khỏe. Điều này chính là niềm vui cũng như động lực to lớn đối để bệnh viện đem đến những dịch vụ chăm sóc sức khỏe chất lượng cao, đáp ứng mọi nhu cầu khám chữa bệnh của bệnh nhân. Để tương lai không xa, Hồng Ngọc có thể sánh ngang chất lượng với các bệnh viện quốc tế trong khu vực và bệnh nhân không cần phải ra nước ngoài điều trị nữa.

Thay khớp gối nhân tạo đang là giải pháp tối ưu dành cho người bệnh thoái hóa khớp gối nặng, lâu năm. Đây là phương pháp được chỉ định khi các biện pháp điều trị nội khoa, vật lý trị liệu, dùng thuốc giảm đau, kháng viêm, dưỡng sụn không còn hiệu quả. Phẫu thuật thay khớp gối nhân tạo là giải pháp tối ưu điều chỉnh biến dạng khớp, giúp bệnh nhân cải thiện cơn đau hiệu quả, tránh được nguy cơ tàn tật vĩnh viễn và sớm quay trở lại sinh hoạt bình thường.

Phẫu thuật thay khớp háng được chỉ định cho bệnh nhân bị hoại tử chỏm xương đùi, gãy cổ xương đùi không có khả năng bảo tồn, thoái hóa khớp háng nặng không đi được, bệnh lý vùng cổ xương đùi như bướu...

Sau phẫu thuật thay khớp gối, khớp háng bệnh nhân có thể gặp một số biến chứng như nhiễm khuẩn, hình thành cục máu đông, máu tụ trong gối, cứng gối, cứng khớp, mòn khớp, lỏng khớp nhân tạo, di lệch ổ khớp… Chính vì vậy, việc lựa chọn địa chỉ phẫu thuật uy tín với đội ngũ bác sĩ Ngoại khoa giỏi chuyên môn, máy móc hiện đại, phòng mổ đạt tiêu chuẩn chính là các yếu tố quan trọng hàng đầu để giảm thiểu tối đa các biến chứng hậu phẫu.

Đọc tiếp
Quay lại
Hỏi đáp Bác sĩ
Viết câu hỏi
Cơ sở chuyên khoa liên quan
Bệnh viện Đa khoa Hồng Ngọc - Phúc Trường Minh
  • Số 8 đường Châu Văn Liêm, Phường Từ Liêm, Thành phố Hà Nội, Việt Nam
  • Hotline: +(84-24) 7300 8866
Đặt lịch ngay
Bệnh viện Đa khoa Hồng Ngọc - Yên Ninh
  • Số 55 Yên Ninh, phường Ba Đình, Hà Nội
  • Hotline: (+84-24) 3927 5568
Đặt lịch ngay
Phòng khám Đa khoa Hồng Ngọc - Keangnam
  • Tầng 10 tòa nhà 70 tầng, tòa nhà Keangnam Hanoi Landmark Tower, phường Yên Hòa, Hà Nội
  • Hotline: (+84-24) 3927 5568
Đặt lịch ngay
Phòng khám Đa khoa Hồng Ngọc - Kosmo Tây Hồ
  • Tầng 1&2 Tòa nhà NoVo chung cư Kosmo, 161 Xuân La, phường Xuân Đỉnh, Hà Nội
  • Hotline: (+84-24) 3927 5568
Đặt lịch ngay