Phẫu thuật kết hợp xương sinh học: điều trị gãy xương không mổ mở, khôi phục vận động nhanh gấp 3 lần

Phẫu thuật kết hợp xương sinh học: điều trị gãy xương không mổ mở, khôi phục vận động nhanh gấp 3 lần

04-08-2023

Phẫu thuật kết hợp xương sinh học giúp cố định xương gãy, bảo tồn mạch máu với ưu điểm không mổ mở, vận động ngay sau 1 ngày phẫu thuật, rút ngắn thời gian điều trị gấp 3 lần giúp tiết kiệm thời gian và chi phí cho người bệnh.

Phẫu thuật kết hợp xương sinh học là gì?

Phẫu thuật kết hợp xương sinh học là phương pháp điều trị gãy xương ít xâm lấn phổ biến hiện nay, được chỉ định trong các trường hợp xương gãy thành nhiều mảnh, mảnh gãy lệch khỏi vị trí ban đầu, gãy ở nhiều vị trí khác nhau. Phương pháp này gồm tất cả các kỹ thuật điều trị ít xâm lấn như nắn kín, sử dụng đinh hoặc nẹp vít.

Mục đích của phẫu thuật kết hợp xương sinh học là cố định, đưa xương về đúng vị trí hoặc thay thế những phần xương bị gãy, vỡ hoặc mất xương ở các vị trí xương bản rộng như xương sọ, xương bả vai, xương chậu mà không thể bó bột được.

phẫu thuật kết hợp xương sinh học Phẫu thuật kết hợp xương sinh học là kỹ thuật điều trị gãy xương ít xâm lấn phổ biến hiện nay.

So với mổ mở truyền thống, phẫu thuật kết hợp xương sinh học giúp hạn chế tối đa xâm lấn phần mềm, ít gây mất máu, bảo tồn mạch máu và tránh nhiễm trùng ổ gãy. Bác sĩ sẽ thực hiện nắn chỉnh xương về vị trí giải phẫu dưới hỗ trợ của màn tăng sáng C-arm rồi tiến hành cố định các ổ gãy bằng đinh hoặc nẹp vít.

Khoảng 3-4 tuần sau phẫu thuật, tại vị trí gãy được cố định vững chắc bằng đinh hoặc nẹp vít sẽ hình thành tế bào xương và tế bào sụn cùng các sợi collagen lấp đầy các khoảng trống rất nhỏ giữa hai đầu xương gãy giúp xương liền tự nhiên.

Các phương pháp phẫu thuật kết hợp xương sinh học

Kết hợp xương bằng đinh nội tủy và nẹp vít là hai phương pháp thường gặp nhất trong phẫu thuật kết hợp xương sinh học.

Phẫu thuật kết hợp xương sinh học bằng nẹp vít

Phương pháp kết hợp xương sinh học bằng nẹp vít được áp dụng khi ổ gãy ở xương chậu, xương đòn, đầu xa xương chày, đầu xa xương cánh tay… với tình trạng gãy đầu xương, gãy thông vào khớp, gãy nát nhiều tầng thân xương mà cần bắt nhiều vít để cố định. Nẹp vít được sử dụng trong phẫu thuật được làm từ thép không gỉ hoặc titanium.

Phẫu thuật kết hợp xương sinh học bằng nẹp vít thường được chỉ định cho gãy xương ở người lớn vì theo thời gian, xương dần lão hóa, quá trình tái tạo xương chậm dần, hủy xương diễn ra nhanh hơn khiến thời gian liền xương sau gãy lâu hơn ở trẻ em. Lúc này, nẹp vít giúp “kết nối” các mảnh xương gãy, thúc đẩy quá trình liền xương nhanh hơn.

phẫu thuật kết hợp xương sinh học Phẫu thuật kết hợp xương sinh học sử dụng nẹp vít gắn vào mặt ngoài xương.

Trong phẫu thuật này, trước tiên các mảnh xương gãy sẽ được sắp xếp về đúng vị trí thông qua nắn kín rồi mới được cố định bằng các nẹp vít kim loại gắn vào mặt ngoài xương. Tùy vào vị trí gãy, tính trạng gãy mà bác sĩ sẽ lựa chọn loại nẹp vít phù hợp như nẹp khóa, nẹp tạo hình, nẹp lòng máng…

Ngoài tác dụng cố định đầu xương, nẹp vít còn đóng vai trò thay thế những phần xương vỡ hoặc mất trong các trường hợp gãy xương bả vai, xương chậu… Sử dụng nẹp vít giúp ổ gãy xương được giữ vững chắc, bảo tồn mạch máu quanh ổ gãy, tăng tốc độ liền xương nhanh chỉ sau 3-6 tuần.

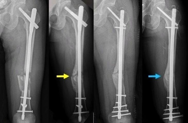
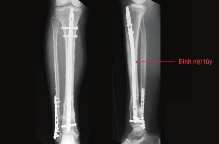
Phẫu thuật kết hợp xương sinh học bằng đinh nội tủy

Phẫu thuật kết hợp xương sinh học bằng đinh nội tủy thường được chỉ định cho bệnh nhân gãy từ 1/3 thân xương chi dưới, đặc biệt là các xương ống dài như xương đùi, xương chày... vì đinh nội tủy có khả năng chịu lực tỳ lớn trong khi chi dưới phải gánh trọng lực lớn khi cơ thể vận động, đi lại.

Các trường hợp gãy xương trẻ em nặng, có độ di lệch lớn, không thể điều trị bảo tồn bằng băng nẹp hoặc bó bột thì cũng áp dụng phương pháp này. Tùy tình trạng gãy, thời gian gãy mà bác sĩ sẽ lựa chọn sử dụng các loại đinh nội tủy khác nhau như Kuntscher, đinh Rush, đinh SIGN, đinh Metaizeau...

phẫu thuật kết hợp xương sinh học Phẫu thuật kết hợp xương sinh học sửu dụng đinh luồn vào trong ống tủy.

Kết hợp với bàn mổ chỉnh hình, màn tăng sáng C-arm, bác sĩ chỉ cần rạch da khoảng 3-4 cm để luồn đinh vào ống tủy rồi chốt ở hai đầu. Thủ thuật này giữ đinh và xương được nằm đúng vị trí trong quá trình liền xương, cố định vững chắc và ổn định toàn bộ chiều dài xương. Nhờ thế, hạn chế tối đa tổn thương phần mềm, bệnh nhân ít bị mất máu, ít đau, giảm nguy cơ nhiễm trùng và nhanh liền xương.

Tuy nhiên, phương pháp này chống chỉ định với các trường hợp vết thương có nhiễm trùng, gãy hở vì dễ tạo điều kiện cho vi khuẩn xâm nhập vào tủy xương. Sau phẫu thuật, bệnh nhân có thể tập vận động sớm hơn giúp giảm nguy cơ loét tì đè, viêm phổi, tắc mạch, sớm phục hồi chức năng vận động.

Ưu điểm của phẫu thuật kết hợp xương sinh học

Nhờ kết hợp máy móc, công nghệ hiện đại cùng các kỹ thuật mới, phẫu thuật kết hợp xương sinh học có nhiều ưu điểm hơn so với các phương pháp phẫu thuật truyền thống.

  • Không mổ mở, đường mổ nhỏ chỉ từ 0.5 - 3cm cho sẹo nhỏ thẩm mỹ, ít xâm lấn mô mềm, ít gây mất máu, bảo tồn được các mạch máu nuôi ổ gãy, hạn chế tối đa nhiễm trùng.

  • Tốc độ liền xương chỉ sau 3 tuần với trẻ em và 6 tuần với người lớn, có thể vận động nhẹ nhàng ngay sau 1 ngày phẫu thuật.

  • Sử dụng đinh, nẹp vít với chất liệu an toàn, tương thích với cơ thể người giúp cung cấp độ vững tương đối khi vận động, thậm chí thay thế chức năng nâng đỡ, kích thích hình thành tế bào xương và tế bào sụn cùng các sợi collagen, giúp xương liền tự nhiên, hồi phục vận động nhanh chóng.

  • Với sự hỗ trợ của hệ thống thiết bị y tế hiện đại như bàn mổ chỉnh hình, màn tăng sáng C-arm, máy chụp CT… giúp xác định chính xác vị trí gãy, tình trạng gãy, tạo điều kiện nắn xương về đúng vị trí, đảm bảo an toàn trong phẫu thuật.

  • Phẫu thuật ít xâm lấn nên bệnh nhân có thể hồi phục nhanh chóng, thời gian lưu viện chỉ khoảng 2-3 ngày, giúp tiết kiệm chi phí.

  • Mô hình gây mê đa mô thức giúp bệnh nhân không đau trước, trong, sau phẫu thuật lên đến 3 ngày, giúp bệnh nhân sẵn sàng tập vận động ngay sau mổ, tránh teo cơ, cứng khớp.

  • Phù hợp với nhiều đối tượng bệnh nhân, thậm chí là trẻ từ 1 tháng tuổi.

Lưu ý cho bệnh nhân sau phẫu thuật kết hợp xương sinh học

Sau khi phẫu thuật, người bệnh cần theo dõi phản ứng và tình trạng sức khỏe, đặc biệt là vị trí phẫu thuật để kịp thời xử lý nếu có biến chứng xảy ra. Các biến chứng có thể xảy ra sau khi phẫu thuật kết hợp xương sinh học có thể kể đến:

  • Nhiễm trùng

  • Tổn thương mạch máu hoặc dây thần kinh xung quanh

  • Xuất hiện dịch và máu rỉ ở vị trí vết mổ

  • Kích ứng với đinh hoặc vít cố định

  • Chậm liền xương, không liền xương, xương liền bị lệch

  • Loét tỳ đè, viêm đường tiết niệu, táo bón, teo cơ… do bệnh nhân nằm lâu, ít vận động sau phẫu thuật

Ngoài ra, phục hồi chức năng ngay sau mổ gãy xương sẽ giúp đẩy nhanh quá trình phục hồi, đẩy lùi biến chứng teo cơ, cứng khớp và nhanh khôi phục vận động. Tuy nhiên, bệnh nhân cần tham khảo ý kiến bác sĩ và thực hiện theo chỉ định để tránh tác động xấu đến vị trí xương mới cố định.

phẫu thuật kết hợp xương sinh học Sau phẫu thuật kết hợp xương sinh học, bệnh nhân cần tập phục hồi chức năng để ngăn các biến chứng teo cơ, cứng khớp.

Địa chỉ phẫu thuật kết hợp xương sinh học uy tín ở Hà Nội

Tại Hà Nội, Khoa chấn thương chỉnh hình của Bệnh viện Đa khoa Hồng Ngọc là địa chỉ thăm khám và phẫu thuật kết hợp xương sinh học uy tín và được đông đảo khách hàng được đông đảo khách hàng tin tưởng lựa chọn và đánh giá cao cả về chất lượng chuyên môn lẫn dịch vụ.

  • Bệnh viện tư nhân đầu tiên đạt tiêu chuẩn toàn cầu về phẫu thuật ngoại khoa, được chứng nhận bởi Hiệp hội Phẫu thuật Hoàng Gia Anh (RCS).

  • TS.BS Lê Quang Huy - Chuyên gia phẫu thuật chấn thương chỉnh hình được đào tạo bài bản tại Châu u, làm chủ các kỹ thuật hiện đại, ít xâm lấn.

  • Ứng dụng mô hình gây mê - giảm đau trước, trong và sau mổ an toàn, tránh tai biến.

  • Kết hợp phác đồ phục hồi chức năng chuyên sâu giúp tăng tuần hoàn máu, ngăn ngừa teo cơ cứng khớp.

  • Phòng mổ vô khuẩn đạt chuẩn FDA Hoa Kỳ cùng máy C-arm GE thế hệ mới nhất cho hình ảnh sắc nét, định vị chính xác vị trí tổn thương.

  • Người bệnh đến thăm khám và điều trị gãy xương tại Bệnh viện Đa khoa Hồng Ngọc sẽ được tận hưởng nhiều tiện ích như không gian bệnh viện khách sạn 5 sao; lịch trình theo dõi cụ thể, chủ động hẹn tái khám; áp dụng BHYT và bảo lãnh bảo hiểm tiết kiệm tối đa chi phí.

phẫu thuật kết hợp xương sinh học Bệnh viện Đa khoa Hồng Ngọc đã thực hiện nhiều ca phẫu thuật kết hợp xương sinh học cho bệnh nhân gãy xương.

Nếu có nhu cầu nhận tư vấn chuyên sâu hơn về phẫu thuật kết hợp xương sinh học tại Bệnh viện Đa khoa Hồng Ngọc, quý khách vui lòng liên hệ theo số Hotline 0243 927 5568 (máy lẻ 2225, 2265) hoặc đăng ký vào form dưới đây:

**Lưu ý: Những thông tin cung cấp trong bài viết của Bệnh viện Đa khoa Hồng Ngọc mang tính chất tham khảo, không thay thế cho việc chẩn đoán hoặc điều trị y khoa. Người bệnh không được tự ý điều trị. Để biết chính xác tình trạng bệnh lý người bệnh cần tới các bệnh viện để được bác sĩ thăm khám trực tiếp chẩn đoán và tư vấn phác đồ điều trị hợp lý.

Theo dõi fanpage của Bệnh viện Đa khoa Hồng Ngọc để biết thêm thông tin bổ ích khác: https://www.facebook.com/BenhvienHongNgoc

Đọc tiếp
Quay lại
Hỏi đáp Bác sĩ
Viết câu hỏi

Đăng kí nhận ưu đãi

Cơ sở chuyên khoa liên quan
Bệnh viện Đa khoa Hồng Ngọc - Phúc Trường Minh
  • Số 8 đường Châu Văn Liêm, Phường Từ Liêm, Thành phố Hà Nội, Việt Nam
  • Hotline: +(84-24) 7300 8866
Đặt lịch ngay
Bệnh viện Đa khoa Hồng Ngọc - Yên Ninh
  • Số 55 Yên Ninh, phường Ba Đình, Hà Nội
  • Hotline: (+84-24) 3927 5568
Đặt lịch ngay
Phòng khám Đa khoa Hồng Ngọc - Keangnam
  • Tầng 10 tòa nhà 70 tầng, tòa nhà Keangnam Hanoi Landmark Tower, phường Yên Hòa, Hà Nội
  • Hotline: (+84-24) 3927 5568
Đặt lịch ngay
Phòng khám Đa khoa Hồng Ngọc - Kosmo Tây Hồ
  • Tầng 1&2 Tòa nhà NoVo chung cư Kosmo, 161 Xuân La, phường Xuân Đỉnh, Hà Nội
  • Hotline: (+84-24) 3927 5568
Đặt lịch ngay