điều trị các loại viêm amidan/nạo va hiệu quả tối ưu bằng dao plasma

điều trị các loại viêm amidan/nạo va hiệu quả tối ưu bằng dao plasma

26-11-2021

Các loại viêm Amidan nào cần cắt? Phương pháp cắt Amidan/nạo VA nào nhanh, hiệu quả và an toàn cao và nhiều câu hỏi liên quan sẽ được giải đáp chi tiết dưới đây.

Dấu hiệu nhận biết viêm Amidan

Amidan

là hai mô đệm nhỏ của mô tuyến (bạch huyết) nằm ở mỗi bên phía sau cổ họng. Chúng là một phần của hệ thống miễn dịch, tạo ra kháng thể và tế bào bạch cầu (tế bào bạch huyết) để tấn công vi trùng bên trong miệng. Điều này làm cho Amidan trở thành một phần của tuyến phòng thủ đầu tiên chống lại vi khuẩn trong thức ăn hoặc không khí.

Viêm Amidan xảy ra khi Amidan bị nhiễm trùng do vi khuẩn hoặc vi rút gây ra.

Nhận biết tình trạng viêm Amidan thông qua các triệu chứng:

  • Xuất hiện các chấm mủ trắng hoặc vàng trên Amidan;

  • Đau họng;

  • Sưng hạch bạch huyết dưới mỗi bên hàm;

  • Đau khi nuốt;

  • Sốt;

  • Hôi miệng.

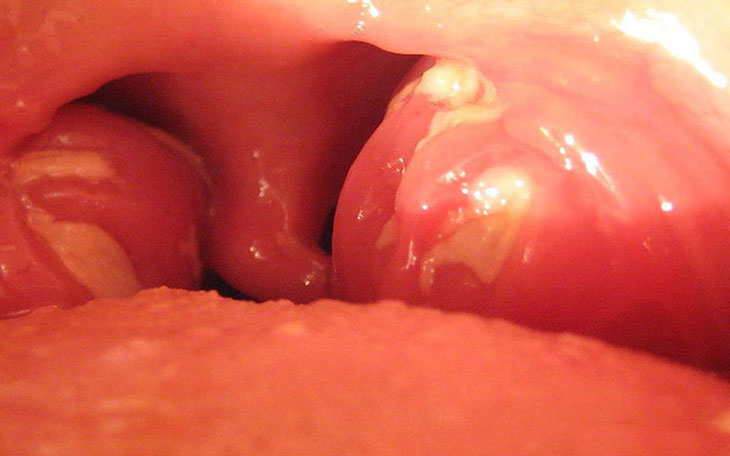
cac loai viêm amidan Hình ảnh Amidan bị viêm

Các loại viêm Amidan cần cắt

Viêm Amidan

có hai dạng là viêm

Amidan cấp tính

và viêm

Amidan mạn tính

. Ngoài ra, áp xe Amidan hay phì đại Amidan cũng là những tình trạng viêm Amidan nghiêm trọng cần cắt:

Viêm Amidan cấp tính

Viêm Amidan cấp tính

là tình trạng Amidan bị nhiễm trùng do một trong số các loại vi khuẩn hoặc vi rút gây ra. Các triệu chứng của viêm Amidan cấp tính có thể xuất hiện đột ngột hoặc đau họng dần dần, thường kèm theo sốt. Cụ thể bao gồm:
  • Khó nuốt nước bọt;

  • Chảy nước dãi;

  • Đau tai khi nuốt;

  • Hôi miệng;

  • Bề mặt Amidan có thể có màu đỏ tươi hoặc có lớp phủ (dịch tiết) màu trắng xám;

  • Các hạch bạch huyết ở cổ có thể bị sưng;

  • Sốt.

Viêm Amidan mạn tính

Viêm Amidan mạn tính

là tình trạng Amidan bị nhiễm trùng dai dẳng. Nhiễm trùng lặp đi lặp lại có thể gây ra sự hình thành các túi nhỏ trong Amidan là nơi chứa vi khuẩn. Thông thường sẽ phát triển những viên sỏi nhỏ (gọi là sỏi Amidan) có mùi hôi bên trong và ​​gây hôi miệng, vướng mắc phía sau cổ họng.

Áp xe quanh Amidan

Áp xe quanh Amidan là tình trạng tụ mủ xung quanh Amidan đẩy một trong các Amidan về phía lỗ thông (mô mềm nổi rõ lủng lẳng ở mặt sau của cổ họng trên). Nó thường rất đau và làm giảm chức năng mở miệng. Nếu không được điều trị, nhiễm trùng có thể lan sâu trong cổ gây ra các biến chứng nguy hiểm đến tính mạng và tắc nghẽn đường thở.

Phì đại Amidan

Sự cản trở hô hấp do Amidan phì đại

có thể gây ra chứng ngủ ngáy và rối loạn giấc ngủ dẫn đến tạm dừng giấc ngủ hoặc ngưng thở khi ngủ.

Ngoài ra, chúng còn gây ra:

  • Thường xuyên thức giấc sau giấc ngủ;

  • Ngủ không an, hay gặp ác mộng;

  • Đái dầm (ở trẻ);

  • Thay đổi tâm trạng;

  • Buồn ngủ quá mức;

  • Vấn đề tim mạch;

  • Có thể gây ra vấn đề về lệch lạc ở răng.

Viêm amidan cấp tính Viêm Amidan cấp tính thường gây sốt cao ở trẻ em

Tại sao cần cắt Amidan?

Biến chứng do viêm Amidan

Nếu Amidan bị viêm có thể dẫn đến rất nhiều biến chứng, bao gồm:

Viêm Amidan mạn tính: nhiễm trùng Amidan không tự khỏi khiến bệnh nhân thường xuyên mệt mỏi do các triệu chứng của bệnh như:

  • Đau họng;

  • Khó nuốt, nuốt đau;

  • Đau tai;

  • Mất ngủ;

  • Hôi miệng;

  • Ngưng thở khi ngủ do tắc nghẽn;

  • Thay đổi tâm trạng…

Nhiễm trùng thứ cấp: nhiễm trùng có thể lây lan sang mũi, xoang hoặc tai của bệnh nhân gây ra các bệnh:

  • Viêm tai giữa

    ở trẻ em: các u tuyến là một phần của cùng một nhóm các hạch bạch huyết với Amidan. Khi các u tuyến sưng lên, chúng có thể làm tắc ống Eustachian, ống này đi từ phía sau cổ họng đến tai giữa. Nếu ống này bị tắc, một chất lỏng nhớt sẽ hình thành trong tai giữa gây cản trở thính giác.
  • Quinsy: nếu nhiễm trùng lan vào mô xung quanh Amidan, áp xe có thể hình thành trong cổ họng hay còn gọi là áp xe quanh Amidan. Điều này gây ra cơn đau dữ dội và có thể cản trở việc nuốt và thậm chí là thở. Thuốc kháng sinh có thể hữu ích, nhưng việc phẫu thuật đôi khi rất cần để dẫn lưu áp xe.

  • Amidan bị sưng hoặc bị nhiễm trùng: Nếu một người đã từng bị viêm họng, rất có thể người đó đã bị nhiễm trùng Amidan. Thường xuyên bị nhiễm trùng có thể gây ra các vấn đề về hô hấp hoặc đau họng không khỏi.

Bệnh kéo dài, tái phát nhiều lần nghiêm trọng thậm chí có thể gây ung thư (lây lan từ đầu hoặc vùng cổ).

Khi nào cần cắt Amidan?

Giải pháp tối ưu cho bệnh nhân là phẫu thuật cắt Amidan

nếu viêm Amidan gây ra các biến chứng một cách thường xuyên và nghiêm trọng:
  • Các đợt viêm Amidan tái phát kèm theo đau nhức, khó chịu và sốt cao;

  • Viêm Amidan mãn tính không được trị khỏi bằng thuốc kháng sinh;

  • Nhiễm trùng tai thường xuyên do viêm Amidan;

  • Khó thở do Amidan phì đại;

  • Áp xe hình thành trong cổ họng (áp xe quanh Amidan hoặc áp xe cổ họng);

  • Trẻ không phát triển được vì khó nuốt do thường xuyên bị nhiễm trùng và phì đại Amidan.

 width= Phẫu thuật cắt Amidan là cần thiết trong các trường hợp viêm Amidan nghiêm trọng và kéo dài

Để đăng ký tư vấn và điều trị các bệnh lý về Amidan/VA từ đội ngũ bác sĩ Hồng Ngọc, Quý khách vui lòng liên hệ Hotline: 0912 002 131

hoặc đăng ký

TẠI ĐÂY

[contact-form-7 id="72053" title="Ngoại Khoa Cat Amidan bang dao Plasma"]   

(*) là thông tin khách hàng cần điền đầy đủ      

Cắt Amidan/nạo VA bằng dao plasma tại Bệnh viện Hồng Ngọc

Đặc điểm cắt Amidan/nạo VA bằng dao plasma:

  • Lưỡi dao mỏng dẹt, bẻ cong linh hoạt, dễ luồn lách vào vòm họng nhỏ của trẻ;

  • Sử dụng sóng radio cao tần ở nhiệt độ thấp (70 – 140 độ C);

  • Hàn gắn các mạch máu siêu nhỏ (dưới 1 mm) ngay khi mổ, ngăn chảy máu;

  • Có thể thực hiện cho trẻ từ 14 tháng tuổi;

  • Thời gian cắt và nạo rất nhanh: chỉ 30 – 45 phút;

  • Phẫu thuật êm ái, rất ít chảy máu, ít đau, hạn chế tổn thương xung quanh, nhanh hồi phục sức khỏe;

  • Có thể ăn uống được ngay sau phẫu thuật;

  • Rất ít đau sau phẫu thuật, không cần lưu viện lâu, ra viện sau 24 giờ;

  • Hiệu quả nhờ đặc tính ưu việt của dao plasma, hạn chế được lượng thuốc mê phải sử dụng, an toàn cho sức khỏe;

  • Hiệu quả kinh tế, tiết kiệm thời gian và công sức.

Ưu điểm vượt trội khi cắt Amidan/nạo VA bằng dao plasma tại Bệnh viện Hồng Ngọc:

  • Bệnh viện tư hàng đầu miền Bắc có phòng mổ vô khuẩn một chiều hiện đại, thiết bị máy móc nhập khẩu;

  • Bác sĩ tay nghề cao, 18 năm kinh nghiệm cắt Amidan/nạo VA;

  • Được chọn bác sĩ theo yêu cầu, bệnh viện có hợp tác với nhiều bác sĩ nổi tiếng đến từ các bệnh viện đầu ngành về Tai – Mũi – Họng;

  • Dịch vụ y tế chất lượng cao, tận tâm, chu đáo từ bữa ăn đến giấc ngủ;

  • Chi phí hợp lý, áp dụng thanh toán theo bảo hiểm…

Quy trình 9 bước cắt Amidan/nạo VA tại Bệnh viện Hồng Ngọc

  • Bước 1: Khám chuyên sâu, nội soi Tai – Mũi – Họng

  • Bước 2: Kiểm tra trước khi mổ: Xét nghiệm máu, điện tim, chụp X-quang

  • Bước 3: Khám với bác sĩ gây mê

  • Bước 4: Bác sĩ hội chẩn, thống nhất phương án phẫu thuật

  • Bước 5: Phẫu thuật

  • Bước 6: Chăm sóc sau mổ

  • Bước 7: Khám lại với bác sĩ chuyên khoa

  • Bước 8: Bệnh nhân xuất viện sau 24 giờ theo dõi, hẹn tái khám

  • Bước 9: Tái khám

cac-loai-viem-amidan Phòng mổ một chiều hiện đại tại Bệnh viện Hồng Ngọc

5 câu hỏi quan trọng về cắt Amidan/nạo VA

Cắt Amidan có đau không?

Với những ưu điểm của phương pháp cắt Amidan mới bằng dao plasma

, người bệnh rất ít đau hoặc không đau. Ngược lại, những bệnh nhân thực hiện cắt Amidan bằng phương pháp cũ như bóc tách, cắt điện, laser thì người bệnh có thể đau sau phẫu thuật khoảng 2-3 ngày.

Viêm Amidan có nên cắt không?

Các trường hợp viêm Amidan nhẹ và thì không cần thiết phải cắt. Tuy nhiên, nếu Amidan bị viêm nhiễm nhiều và thường xuyên, thậm chí nghiêm trọng, gây ra nhiều biến chứng nguy hiểm thì cần phải cắt vì lúc này, Amidan không còn lợi ích mà còn nguy hiểm đến sức khỏe. Người bệnh bị viêm Amidan cần đến bệnh viện để được bác sĩ chuyên khoa Tai – Mũi – Họng thăm khám và điều trị đúng cách hoặc chỉ định cắt Amidan nếu cần thiết.

Cắt Amidan bao nhiêu tiền?

Chi phí cắt Amidan của mỗi bệnh nhân sẽ khác nhau phụ thuộc phương pháp điều trị, bác sĩ phẫu thuật, cơ sở y tế và chế độ bảo hiểm y tế (nếu có). Bệnh nhân cần được thăm khám để kiểm tra tình trạng và chỉ định phương pháp điều trị và tính toán chi phí chính xác nhất.

Khi cắt Amidan để được hưởng BHYT bạn cần chuẩn bị một số giấy tờ như sau:

  • Bảo hiểm y tế còn hạn sử dụng;

  • Chứng minh thư nhân dân hoặc thẻ căn cước công dân của người bệnh;

  • Sổ khám bệnh mua của bệnh viện, có điền đầy đủ thông tin cá nhân;

  • Những giấy tờ tùy thân có liên quan.

Bệnh nhân nên hỏi kỹ cơ sở y tế mà mình điều trị để được tư vấn cụ thể nhất.

Cần chuẩn bị gì trước khi cắt Amidan?

Trước khi tiến hành phẫu thuật cắt Amidan

bệnh nhân nên chú ý chế độ ăn uống đảm bảo dinh dưỡng và tăng cường sức đề kháng cho cơ thể.

Bệnh nhân cũng có thể được bác sĩ để kê một số loại thuốc giúp làm dịu, giảm các cơn đau rát cũng như tình trạng khó chịu ở vùng cổ họng.

Bệnh nhân nên hỏi ý kiến bác sĩ để được tư vấn cụ thể với từng trường hợp.

Sau khi cắt Amidan xong cần kiêng gì?

Thông thường, bác sĩ chủ trị sẽ dặn dò bệnh nhân những lưu ý cần thiết sau khi phẫu thuật. Tuy nhiên, để đảm bảo sức khỏe và phục hồi vùng cổ họng nhanh, bệnh nhân nên:

  • Nói chuyện vừa phải, vận động nhẹ nhàng;

  • Cố nén cơn ho;

  • Ăn các thức ăn đủ dinh dưỡng nhưng mềm nhất là những ngày đầu sau phẫu thuật;

  • Uống nhiều nước ấm;

  • Uống thuốc và tuân thủ hướng dẫn của bác sĩ chuyên khoa, tái khám đúng lịch.

Cắt Amidan là một giải pháp hiệu quả, an toàn để điều trị viêm Amidan do vi khuẩn hoặc vi rút ở mức độ nghiêm trọng.Thời gian hồi phục hoàn toàn cho một ca cắt Amidan thường từ ​​10 ngày đến hai tuần. Người bệnh cần lưu ý nếu có bất cứ vấn đề gì bất thường, phải liên hệ ngay với cơ sở y tế uy tín để được phát hiện và xử lý kịp thời.

cat-amidan Cắt Amidan bằng dao Plasma ít gây chảy máu, ít đau, an toàn, hiệu quả

[contact-form-7 id="72053" title="Ngoại Khoa Cat Amidan bang dao Plasma"]   

(*) là thông tin khách hàng cần điền đầy đủ      

**Lưu ý: Những thông tin cung cấp trong bài viết của Bệnh viện Đa khoa Hồng Ngọc mang tính chất tham khảo, không thay thế cho việc chẩn đoán hoặc điều trị y khoa. Để biết chính xác tình trạng bệnh lý, bệnh nhân cần tới các bệnh viện để được bác sĩ thăm khám trực tiếp, chẩn đoán và tư vấn phác đồ điều trị hợp lý.

Theo dõi fanpage của Bệnh viện Đa khoa Hồng Ngọc để biết thêm thông tin bổ ích khác:

 

https://www.facebook.com/BenhvienHongNgoc/       

Đọc tiếp
Quay lại
Hỏi đáp Bác sĩ
Viết câu hỏi
Cơ sở chuyên khoa liên quan
Bệnh viện Đa khoa Hồng Ngọc - Phúc Trường Minh
  • Số 8 đường Châu Văn Liêm, Phường Từ Liêm, Thành phố Hà Nội, Việt Nam
  • Hotline: +(84-24) 7300 8866
Đặt lịch ngay
Bệnh viện Đa khoa Hồng Ngọc - Yên Ninh
  • Số 55 Yên Ninh, phường Ba Đình, Hà Nội
  • Hotline: (+84-24) 3927 5568
Đặt lịch ngay
Phòng khám Đa khoa Hồng Ngọc - Keangnam
  • Tầng 10 tòa nhà 70 tầng, tòa nhà Keangnam Hanoi Landmark Tower, phường Yên Hòa, Hà Nội
  • Hotline: (+84-24) 3927 5568
Đặt lịch ngay
Phòng khám Đa khoa Hồng Ngọc - Kosmo Tây Hồ
  • Tầng 1&2 Tòa nhà NoVo chung cư Kosmo, 161 Xuân La, phường Xuân Đỉnh, Hà Nội
  • Hotline: (+84-24) 3927 5568
Đặt lịch ngay