Đối tượng cần thay khớp
- Người bị đau khớp gối nghiêm trọng. Tình trạng hao mòn khớp gối dẫn đến suy giảm vận động, gây tác động tiêu cực đến khả năng đi lại của người bệnh.
- Đau khớp gối kéo dài, ảnh hưởng tới chất lượng cuộc sống và giấc ngủ.
- Người bệnh không thể làm việc, sinh hoạt hằng ngày bình thường.
- Phần sụn khớp bị tổn thương quá nặng. Những phương pháp điều trị nội khoa không còn hiệu quả.
- Người bệnh thoái hóa khớp gối, dính khớp gối, viêm khớp gối dạng thấp, chấn thương làm sụn gối bị tổn thương.
- Mắc các bệnh khác có khả tác động đến khớp gối như bệnh rối loạn đông máu, bệnh gout, rối loạn khiến xương phát triển bất thường, hoại tử vô mạch đầu gối, chấn thương đầu gối, biến dạng khớp gối, gây đau và mất sụn.
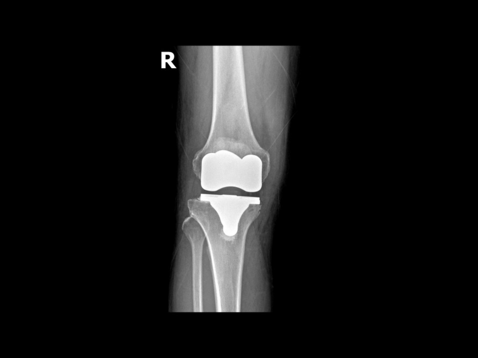
- Kết quả chụp X-quang cho thấy khớp gối bị hư hại nhiều. Tuy nhiên, một số trường hợp người bệnh không đau nhưng bị biến dạng chân nhiều, ảnh hưởng đến chức năng và trục chi cũng có thể được chỉ định thay khớp gối.
Đối tượng chống chỉ định
- Có ổ nhiễm trùng bùng phát ở bất cứ bộ phận nào trên cơ thể.
- Cứng khớp gối do mất bộ phận duỗi gối (Gân, xương bánh chè, cơ tứ đầu đùi).
- Tắc mạch chi.
- Tồn tại bệnh lý nguy hiểm tới tính mạng người bệnh.
Phân loại phẫu thuật thay khớp gối
- Thay khớp gối toàn phần: Là giải pháp điều trị cuối cùng, hiệu quả cao với những người bệnh thoái hóa khớp gối nặng ở giai đoạn III và IV, điều chỉnh hoàn hảo các biến dạng khớp. Sau phẫu thuật, người bệnh sẽ được cải thiện triệu chứng đau, tránh nguy cơ tàn tật vĩnh viễn.
- Thay khớp gối bán phần: Là sự lựa chọn thích hợp cho khớp gối không bị hư hoàn toàn. Chỉ cần một ngăn của khớp gối bị hư là đã phải thay, có thể ngăn ngoài hay ngăn trong, giữ lại những ngăn còn tốt. Phẫu thuật này thường nhẹ hơn so với thay khớp gối toàn phần, thời gian phục hồi sau thay khớp gối cũng ngắn hơn.
BVĐK Hồng Ngọc - Thay khớp gối không cắt gân cơ - Bệnh nhân vận động sau 1 ngày phẫu thuật
Phương pháp thay khớp gối không cắt gân là phương pháp độc quyền của Giáo sư Hiranaka Takafumi (chuyên gia Thay khớp gối hàng đầu thế giới). Đây là một trong những cải tiến vượt bậc trong cách mạng thay khớp gối, đã được ứng dụng thành công tại nhiều bệnh viện lớn tại Anh, Pháp, Mỹ và các nước Châu Âu. BVĐK Hồng Ngọc là một trong những bệnh viện tư nhân đầu tiên thành công tiếp nhận chuyển giao phương pháp phẫu thuật của Giáo sư người Nhật Bản, mang lại nhiều lợi thế cho bệnh nhân:
- Bảo tồn gân, cơ quanh gối, bao bọc giữ vững khớp nhân tạo, BN có thể vận động ngay sau 1 ngày phẫu thuật.
- Đường mổ độc quyền của Giáo sư người Nhật Bản, tiếp cận chính xác khớp gối tổn thương, BN ít đau, ít mất máu, nhanh lành thương.
- Khớp nhân tạo giống 99% khớp thật, vừa vặn với trục chân của mỗi bệnh nhân, giúp cân bằng hai chân, dáng đi tự nhiên, vận động trơn tru, tránh trật khớp, lệch trục, vẹo gối,...
- Kỹ thuật tạo hình xương và cấu trúc khớp nhân tạo xoay quanh các trục chuyển động của khớp gối, giữ nguyên độ cong sinh lý, giúp BN dễ dàng gập gối, leo cầu thang, ngồi xổm, đạp xe, leo núi...
- Khớp được làm từ Titanium và nhựa sinh học “thân thiện” với cơ thể, chịu lực tốt, có độ bền trên 20 năm.
Vì sao nên phẫu thuật tại Hồng Ngọc?
BVĐK Hồng Ngọc - BV tư nhân đầu tiên đạt tiêu chuẩn toàn cầu về phẫu thuật ngoại khoa, được chứng nhận bởi Hiệp hội Phẫu thuật Hoàng Gia Anh (RCS)
- Đội ngũ chuyên gia phẫu thuật chấn thương chỉnh hình được đào tạo bài bản tại Châu Âu, Pháp, Nhật, Úc,... làm chủ các kỹ thuật hiện đại, ít xâm lấn.
- Ứng dụng mô hình gây mê – giảm đau trước, trong và sau mổ an toàn, tránh tai biến.
- Kết hợp phục hồi chức năng tích cực sau mổ: Bệnh nhân sẽ tập phục hồi chức năng tại giường sau 1 ngày phẫu thuật với liệu trình “2 trong 1” kết hợp thiết bị trị liệu và các kỹ thuật phục hồi chức năng chuyên sâu giúp: giảm sưng nề vết mổ, phục hồi chức năng khớp gối, tăng biên độ vận động.
- Phòng mổ vô khuẩn đạt chuẩn FDA Hoa Kỳ cùng máy C-arm 3D thế hệ mới nhất cho hình ảnh sắc nét, định vị chính xác vị trí tổn thương.
- Người bệnh đến thăm khám và điều trị sẽ được tận hưởng nhiều tiện ích như không gian bệnh viện khách sạn 5 sao; lịch trình theo dõi cụ thể, chủ động hẹn tái khám; áp dụng BHYT và bảo lãnh bảo hiểm tiết kiệm tối đa chi phí.
Nếu có nhu cầu nhận tư vấn chuyên sâu về phẫu thuật Thay khớp gối tại BVĐK Hồng Ngọc - Phúc Trường Minh, quý khách vui lòng liên hệ theo số Hotline 0912002131 hoặc 0949646556 để được hỗ trợ kịp thời!