Chụp CT phổi liều thấp là phương pháp gì?
Tầm soát hay sàng lọc ung thư là quá trình kiểm tra thường quy nhằm phát hiện ra bất thường trước khi có triệu chứng. Điều này có ý nghĩa quan trọng giúp tìm ra phương án điều trị từ sớm, kéo dài tuổi thọ cho người bệnh.
Chụp CT phổi liều thấp là phương pháp giúp phát hiện bệnh ngay khi chưa có dấu hiệu, hoặc biểu hiện bất thường ở phổi. Đây là kỹ thuật chụp hiện đại tiên tiến hơn cách thức chụp X-quang thông thường, và sử dụng lượng tia X vừa phải.
Phương pháp chụp này cho hình ảnh có chất lượng đủ để phát hiện nhiều bất thường ở phổi. Kỹ thuật sử dụng lượng bức xạ ion hóa ít hơn tới 90% so với chụp CT ngực thông thường. Lượng bức xạ phát ra từ kỹ thuật cực nhỏ, hầu như chỉ tương đương với khoảng 6 tháng sống trong môi trường bình thường (bức xạ từ mặt trời, nước, đất,..).

Chụp CT phổi liều thấp an toàn hơn phương pháp chụp CT thông thường
Kỹ thuật này tạo ra hình ảnh cắt lát tái hiện lại hình dáng phổi (mô, cơ quan, mạch máu,..). Kỹ thuật có thể tạo ra nhiều lát cắt hình ảnh dạng 2D hoặc 3D, giúp các bác sĩ theo dõi được tình trạng phổi của người bệnh.
Giá trị của phương pháp chụp CT phổi liều thấp
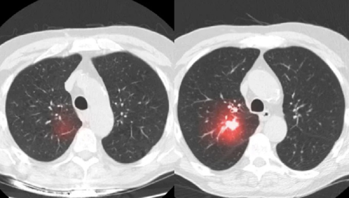
Chụp cắt lớp vi tính (CLVT) liều thấp còn có tên gọi là chụp CT phổi liều thấp. Phương pháp này là lựa chọn tối ưu của các bác sĩ khi muốn theo dõi cho tiết các bất thường ở phổi. Đặc biệt hơn, kỹ thuật này còn giúp phát hiện các khối u phổi ở giai đoạn đầu.
Phương pháp chụp liều thấp cũng có tốc độ chụp nhanh, với liều tia X ít hơn với các thế hệ máy CT trước đây. Người bệnh hoàn toàn yên tâm khi mức sử dụng bức xạ ion hóa ít hơn tới 90% so với chụp CT ngực thông thường.
Phát hiện khối u sớm: hiển thị rõ hình ảnh khối u ung thư khi có kích thước rất nhỏ (giai đoạn đầu).
Thời gian chụp nhanh: người bệnh chỉ mất khoảng 25s hít thở theo hướng dẫn. Tổng quá trình chụp chỉ mất khoảng 1 phút.
An toàn với mọi người: kỹ thuật tiếp cận nhanh, không gây đau đớn hay xâm lấn. Ngoài ra, máy CLVT chi phát xạ ra liều lượng bức xạ rất nhỏ (dưới 1mSv).
Định vị và theo dõi: xác định chính xác các bất thường liên quan với các cơ quan khác ở ngực.

Phương pháp chụp CT phổi liều thấp có ý nghĩa lớn với trong việc phát hiện ung thư
Khi nào cần chụp CT liều thấp?
Phổi là một trong 3 vị trí ung thư thường gặp nhất. Đây cũng là căn bệnh gây tử vong hàng đầu trên toàn Thế Giới. Do vậy, việc phát hiện các khối u ung thư ở giai đoạn sớm có ý nghĩa quan trọng giúp hỗ trợ điều trị và giảm tỷ lệ tử vong.
Các đối tượng nên chụp CT phổi liều thấp định kỳ là:
Người có độ tuổi từ 50 – 75.
Người từ 50 tuổi trở lên, đã từng hút thuốc lá dù ít hay nhiều.
Trong gia đình đã có người mắc ung thư phổi.
Đã có tổn thương ở thành ngực, ở phổi hoặc trung thất.
Thường xuyên tiếp xúc với các chất độc hại như: khói thuốc, asen, radon, chất phóng xạ,….
Các trường hợp khác có nhu cầu tầm soát, hoặc chụp theo chỉ định của bác sĩ.
Thực hiện tầm soát ung thư tại BVĐK Hồng Ngọc
Chụp cắt lớp vi tính là một kĩ thuật hiện đại, tiên tiến được thực hiện ở các bệnh viện. BVĐK Hồng Ngọc là địa chỉ uy tín để khám, điều trị và tầm soát các bệnh lý Hô Hấp.
Đội ngũ bác sĩ khoa Hô Hấp thuộc khoa Hô Hấp có nhiều năm công tác tại các bệnh viện tuyến trên.
- ThS. BSCKII - Phạm Thị Thái Hà: hơn 32 năm công tác tại BV Lao phổi Trung ương.
- BS CKII - Lê Thị Trâm: gần 20 năm điều trị chính tại BV Bạch Mai.
- ThS. BSCK II - Phùng Thị Phương Anh: đã từng công tác tại BV Phổi TW 20 năm.
- ThS. BS - Nguyễn Thị Hưởng: hơn 3 năm tham gia điều trị các bệnh lý hô hấp ở BV Bạch Mai.
- ThS. BSNT - Mai Xuân Trình: đã từng tham gia điều trị các bệnh lý nội khoa tại BV Bạch Mai.

Đội ngũ y bác sĩ giàu kinh nghiệm của khoa Hô Hấp - BVĐK Hồng Ngọc
Ngoài ra, bệnh viện còn sở hữu dàn trang thiết bị hiện đại giúp cho việc chẩn đoán bệnh lý chính xác . Dàn thiết bị đo và đánh giá chức năng hô hấp tiên tiến: máy CLVT CT Công nghệ 2560 lát cắt, máy chụp X-quang, máy MRI, máy nội soi phế quản Olympus CV 170,…

Máy chụp CT phổi liều thấp hiện đại ở BVĐK Hồng Ngọc
Lựa chọn thăm khám và tầm soát ung thư tại BVĐK Hồng Ngọc, bệnh nhân được nhận tư vấn và chẩn đoán 1:1 cùng đội ngũ chuyên gia giàu kinh nghiệm tại BV Đại Học Y, BV Bạch Mai,… Không cần lo lắng vấn đề chờ đợi, xếp hàng đông đúc chờ khám.
Kèm theo các tiện ích: Wifi free toàn viện, khu vui chơi trẻ em, không gian xanh 45%, miễn phí suất ăn nhẹ,…
Thông tin liên hệ: Chuyên khoa Hô Hấp – Bệnh viện Đa khoa Hồng Ngọc
- Số 8 đường Châu Văn Liêm, Phường Từ Liêm, Thành phố Hà Nội
Hotline: 0947 616 006