Bv hồng ngọc tiếp nhận nhiều bệnh nhân trung niên lần đầu siêu âm phát hiện mắc bệnh lý cấu trúc tim

Bv hồng ngọc tiếp nhận nhiều bệnh nhân trung niên lần đầu siêu âm phát hiện mắc bệnh lý cấu trúc tim

Các bệnh lý tim mạch có diễn tiến âm thầm, thậm chí không có biểu hiện. Vì vậy, người dân cần thăm khám sức khỏe và tầm soát tim mạch định kỳ để giúp phát hiện bệnh sớm cũng như đưa ra phương pháp điều trị kịp thời. Nếu để lâu, việc điều trị bệnh không còn nhiều ý nghĩa và tăng nguy cơ biến chứng nguy hiểm.

Phát hiện bệnh muộn vì chưa từng siêu âm tim 

Trong thời gian qua, các bác sĩ chuyên khoa Tim mạch BVĐK Hồng Ngọc đã thăm khám, siêu âm tim và phát hiện nhiều vấn đề về cấu trúc tim ở các bệnh nhân trưởng thành. Đáng chú ý, có nhiều ca bệnh đã trên 50, 60 tuổi chưa từng đi khám tim hay có bất cứ biểu hiện bất thường nào.

Như trường hợp anh T.Đ.C, 60 tuổi ở Hưng Yên. Bệnh nhân có tiền sử khỏe mạnh, không có bất cứ triệu chứng cơ năng trên lâm sàng nào, chỉ đến bệnh viện để khám sức khỏe tổng quát. Kết quả siêu âm tim cho thấy bệnh nhân có van hai lá hở nhiều. 

hình ảnh siêu âm bệnh lý cấu trúc tim Hình ảnh siêu âm tim của bệnh nhân N.Đ.C

Rất may mắn, với tình trạng hiện tại, bệnh nhân chỉ cần điều trị nội khoa bằng thuốc và theo dõi khám định kỳ nhằm kiểm soát chặt chẽ tiến triển bệnh với bác sĩ tim mạch đã đạt kết quả tốt. Nhiều trường hợp khác không may mắn như anh T.Đ.C, khi bệnh được phát hiện muộn, không theo dõi khám định kỳ nên đã dẫn đến biến chứng suy tim, việc điều trị nội khoa bằng thuốc sẽ kém hiệu quả và việc phẫu thuật sửa van tim hoặc thay van tim cũng không còn nhiều ý nghĩa.

Một trường hợp khác là trường hợp bệnh nhân N.Q.G, 63 tuổi, ở Cao Bằng đến khám với lý do nhịp tim chậm và mệt. Kết quả khám phát hiện bệnh nhân bị block nhĩ thất cấp 3, hở van hai lá vừa, hở van 3 lá nhiều, thông liên nhĩ lỗ thứ 2, tràn dịch màng phổi 2 bên. Bệnh nhân đã được cấp cứu cấy máy tạo nhịp tim thoát khỏi tình trạng nguy hiểm.

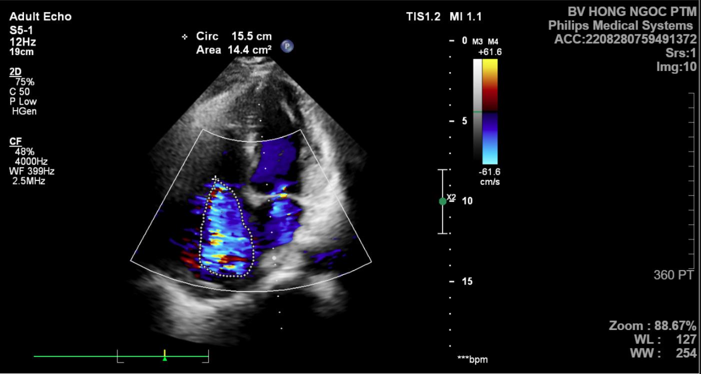
 width= Diện tích hở van 3 lá (phần được khoanh) lớn tới 14,4cm2

Tương tự là trường hợp anh P.V.Đ, 46 tuổi ở Hải Dương đến khám sức khỏe định kỳ thì phát hiện thông liên thất phần phễu, chênh áp cao, lỗ nhỏ. Bệnh nhân được chỉ định điều trị nội khoa, kiểm soát huyết áp và nhịp tim, thăm khám định kỳ phòng viêm nội tâm mạc tim.

Một trường hợp khác là chị C.M.H, 46 tuổi, Hà Nội. Khi khám sức khỏe định kỳ, kết quả điện tim của chị H hoàn toàn bình thường, việc thăm khám và nghe tim phổi thông thường cũng không phát hiện bất thường. Tuy nhiên, kết quả siêu âm tim cho thấy chị bị hở van hai lá vừa. Do bệnh chưa diễn tiến nặng, chị chỉ cần điều trị tối ưu bằng thuốc và tránh làm việc gắng sức. 

Ths.Bs Vũ Thìn - Chuyên khoa Tim mạch BVĐK Hồng Ngọc cho biết “Những bệnh nhân trên đã rất may mắn khi phát hiện bệnh và được cấp cứu can thiệp kịp thời nên đã thoát khỏi tình trạng nguy hiểm và được điều trị có kết quả tốt. Tuy nhiên, có nhiều bệnh nhân còn chủ quan không đi khám bệnh sớm, phát hiện bệnh muộn, việc điều trị sẽ khó  khăn hơn, trong khi bệnh tim mạch thường diễn biến âm thầm, lặng lẽ ”

Không phải ai cũng may mắn để có thể can thiệp kịp thời

Không phải chỉ 4 trường hợp kể trên mà rất nhiều người trong số chúng ta vẫn đang thờ ơ, xem nhẹ việc khám sức khỏe và tầm soát tim mạch định kỳ. Chỉ khi có biểu hiện bệnh mới bắt đầu đi khám và điều trị thì đôi khi lúc đó đã là quá muộn.

Đặc biệt, những bệnh lý về tim mạch thường diễn biến âm thầm, không có triệu chứng rõ rệt hoặc có nhiều triệu chứng dễ nhầm lẫn với những bệnh về thần kinh, hô hấp thông thường nên khi có triệu chứng rõ ràng thì bệnh đã ở giai đoạn nặng. Việc phát hiện bệnh muộn tiềm ẩn nhiều nguy cơ nguy hiểm, có thể gây ra các biến chứng như đột quỵ, nhồi máu cơ tim, suy tim…, thậm chí đe dọa đến tính mạng người bệnh bất cứ lúc nào.

Ngoài ra, giai đoạn 1960 - 1970, việc sàng lọc tim bẩm sinh và các dị tật về tim chưa được chú trọng nên nhiều trường hợp có thể mắc các bệnh lý về cấu trúc tim cũng không biết mình mắc bệnh để được điều trị ngay từ khi còn nhỏ.

 width= Người dân nên tầm soát tim mạch sớm ngay cả khi không có triệu chứng

Ths.Bs Vũ Thìn đưa ra lời khuyên “Các bệnh lý tim mạch thường diễn biến âm thầm. Vì thế, người dân nên thực hiện nghiêm túc việc khám sức khỏe định kỳ và tầm soát bệnh lý tim mạch. Đặc biệt, mọi người cần đi khám ngay khi có dấu hiệu bất thường như:

  • Huyết áp cao, huyết áp thấp, huyết áp không ổn định

  • Nhịp tim nhanh, nhịp tim chậm, nhịp tim không đều

  • Đau tức ngực, đau nhói ngực, hoặc khó chịu trong ngực

  • Hồi hộp trống ngực

  • Thở hụt hơi, khó thở, mệt mỏi 

  • Choáng váng, chóng mặt, đầu đầu

  • Béo phì

  • Rối loạn chuyển hoá mỡ, đường: Mỡ máu cao, đường máu cao

  • Tím môi, tím móng tay, móng chân

  • Phù: phù mặt, phù 2 chân hoặc phù toàn thân

  • Giãn tĩnh mạch 2 chân.

Lựa chọn cơ sở y tế uy tín có ý nghĩa vô cùng quan trọng

Lựa chọn cơ sở y tế sở hữu hệ thống máy móc hiện đại, tân tiến là bước quan trọng để tầm soát chính xác tình trạng sức khỏe tim mạch. Hình ảnh siêu âm rõ nét kết hợp với các kết quả chẩn đoán cận lâm sàng như điện tim, Holter điện tim 24h có thể chỉ ra chính xác hình ảnh cấu trúc tim và tình trạng bệnh. 

Thêm vào đó, chuyên môn của bác sĩ cũng đóng vai trò quan trọng. Các bác sĩ được đào tạo chuyên sâu về tim mạch, siêu âm tim có thể nhận định cụ thể, dự đoán mức độ diễn tiến của bệnh từ đó đưa ra phương án điều trị thích hợp, hiệu quả cho từng bệnh nhân.

Chuyên khoa Tim mạch - Bệnh viện Hồng Ngọc là địa chỉ khám và điều trị các bệnh lý về tim mạch uy tín, chất lượng, được đông đảo khách hàng đánh giá cao về chất lượng phục vụ. Khách hàng sẽ được thăm khám và điều trị bệnh với dịch vụ y tế chất lượng cao cùng nhiều ưu điểm vượt trội:

  • Đội ngũ tiến sĩ, BSCKII, thạc sĩ nhiều năm kinh nghiệm từ Viện tim mạch Quốc gia BV Bạch Mai, BV Đại học Y, BV E,...

  • Phòng khám Nội Tim mạch riêng biệt, không gian rộng, thoáng, ít chờ đợi

  • Trang thiết bị đồng bộ, hiện đại như: Máy siêu âm Voluson E8 , máy CT Revolution EVO và MRI Signa Creator 1.5 Tesla (GE Healthcare - Hoa Kỳ); Hệ thống xét nghiệm Abbott (Mỹ)... hỗ trợ chẩn đoán nhanh chóng và chính xác.

  • Dịch vụ y tế chuyên nghiệp, chu đáo.

  • Nhân viên y tế nhẹ nhàng, tận tâm.

  • Không gian bệnh viện rộng rãi, thoáng mát, đem lại cảm giác thoải mái nhất cho khách hàng.

  • Miễn phí buffet cùng nhiều tiện ích đa dạng như wifi free, quán cafe, nhà hàng ngay trong khuôn viên bệnh viện.

Đăng ký khám các bệnh lý tim mạch với chuyên gia Hồng Ngọc tại đây:

Thông tin liên hệ:

Chuyên khoa Tim mạch – Bệnh viện Đa khoa Hồng Ngọc

Địa chỉ: 55 Yên Ninh, Ba Đình, Hà Nội

Số 8 Châu Văn Liêm, Nam Từ Liêm, Hà Nội

Hotline tư vấn và đặt lịch khám: 0911 858 616

Đọc tiếp
Quay lại

Hỏi đáp Bác sĩ

Viết câu hỏi

Cơ sở chuyên khoa liên quan

Bệnh viện Đa khoa Hồng Ngọc - Phúc Trường Minh
  • Số 8 đường Châu Văn Liêm, Phường Từ Liêm, Thành phố Hà Nội, Việt Nam
  • Hotline: +(84-24) 7300 8866
Đặt lịch ngay
Bệnh viện Đa khoa Hồng Ngọc - Yên Ninh
  • Số 55 Yên Ninh, phường Ba Đình, Hà Nội
  • Hotline: (+84-24) 3927 5568
Đặt lịch ngay
Phòng khám Đa khoa Hồng Ngọc - Keangnam
  • Tầng 10 tòa nhà 70 tầng, tòa nhà Keangnam Hanoi Landmark Tower, phường Yên Hòa, Hà Nội
  • Hotline: (+84-24) 3927 5568
Đặt lịch ngay
Phòng khám Đa khoa Hồng Ngọc - Kosmo Tây Hồ
  • Tầng 1&2 Tòa nhà NoVo chung cư Kosmo, 161 Xuân La, phường Xuân Đỉnh, Hà Nội
  • Hotline: (+84-24) 3927 5568
Đặt lịch ngay