Viêm túi mật do sỏi: đừng nhầm với viêm dạ dày kẻo vác họa vào thân

Viêm túi mật do sỏi: đừng nhầm với viêm dạ dày kẻo vác họa vào thân

14-01-2022

Đau tức vùng bụng kèm theo buồn nôn hoặc nôn là những triệu chứng có thể gặp ở rất nhiều bệnh như viêm túi mật do sỏi, viêm dạ dày, trào ngược dạ dày thực quản… khiến nhiều người nhầm lẫn và có thể dẫn đến hậu quả khó lường nếu không được điều trị kịp thời.

Nhầm lẫn tai hại

Trường hợp của anh N.Q.Phong là một ví dụ. Năm 2015, anh Phong vào khám tại một cơ sở y tế trong tình trạng đau quặn bụng theo cơn, cơ thể mệt mỏi và buồn nôn. Sau khi khai thác bệnh sử, được biết anh có tiền sử đau dạ dày, kết hợp với siêu âm vùng bụng, anh Phong được chẩn đoán là đau dạ dày. Bác sĩ đã thực hiện giảm đau cho anh đồng thời kê đơn thuốc điều trị tại nhà.

03 ngày sau, cơn đau của anh Phong không những không giảm mà ngày càng gia tăng. Các cơn đau tức dưới sườn phải với tần suất dày đặc, anh rơi vào trạng thái ý thức lơ mơ và sốt cao không giảm. Lần này, gia đình đưa anh đi cấp cứu tại một cơ sở y tế khác và nhanh chóng được chẩn đoán viêm túi mật do sỏi. Anh Phong được chỉ định mổ cấp cứu cắt túi mật ngay lập tức

Các bác sĩ cho biết, các triệu chứng của anh Phong không phải do đau dạ dày mà là viêm túi mật cấp tính do sỏi. Kết thúc ca mổ, các bác sĩ phẫu thuật cho anh thở phào bởi nếu chậm trễ thêm một vài giờ thì hậu quả thật khôn lường bởi tình trạng của anh đã bắt đầu biến chứng sang viêm phúc mạc và có dấu hiệu sốc do nhiễm trùng máu.

Kết quả là từ một bệnh phổ biến, có thể xử lý nhanh chóng và chỉ cần lưu viện 3 - 4 ngày thì anh Phong phải nằm điều trị và hồi phục sau mổ đến hơn nửa tháng mà nguyên nhân là do chẩn đoán và điều trị sai bệnh.

Chị L.T.T.Hòa, vợ anh Phong cũng bị dọa một phen hú vía thế nhưng thật may mắn, 6 năm sau, bài học về sự chủ quan từ lần nhập viện của chồng đã giúp chị có kinh nghiệm để xử lý nhanh chóng khi bản thân gặp trường hợp tương tự.

 width= Chị L.T.T. Hòa kể lại sự việc của chồng mình 06 năm trước

Lịch sử không lặp lại

02 giờ sáng ngày 05/11/2021, chị L.T.T. Hòa cũng nhập viện trong tình trạng đau bụng vùng thượng vị và đau tức dưới sườn phải, người mệt mỏi. Trước đó một ngày, chị đã bắt đầu có các dấu hiệu đau âm ỉ vùng bụng. Chị đã uống thuốc giảm đau, giảm co thắt do chị cũng có tiền sử viêm dạ dày và viêm thực quản trào ngược độ A- HP dương tính tuy nhiên không đỡ. Rút kinh nghiệm từ sự việc của chồng, lần này, chị Hòa quyết định lựa chọn cơ sở y tế uy tín để đến khám.

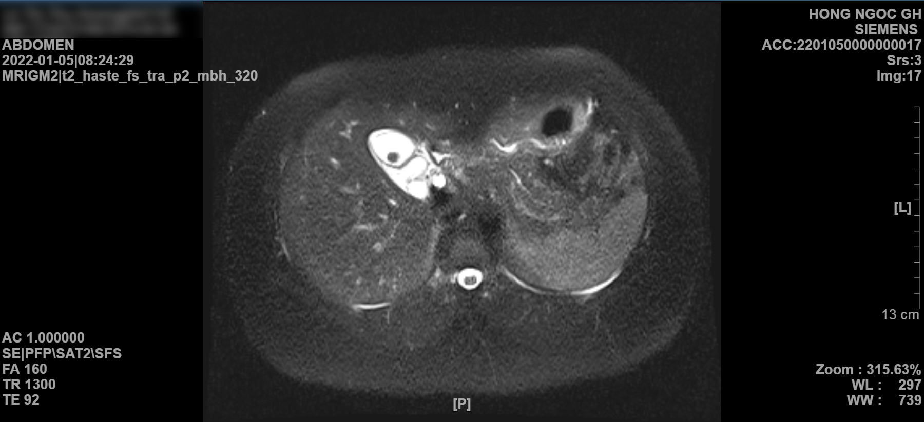
 width= Hình ảnh MRI túi mật có sỏi của chị L.T.T.Hòa trước khi phẫu thuật
 width= Hình ảnh viên sỏi được gắp ra từ túi mật sau phẫu thuật

Chị Hòa nhớ lại: “Gần nhà chị có bệnh viện thế nhưng rút kinh nghiệm từ lần bệnh trước của chồng, chị quyết tâm đến Bệnh viện Hồng Ngọc dù có hơi xa một chút. Từ 06 năm nay, nhà chị đã tin tưởng lựa chọn Hồng Ngọc. Phải công nhận là các bác sĩ ở đây rất có chuyên môn. Ngay từ thăm khám ban đầu, bác sĩ khám và ấn vị trí bụng là đã nghi ngờ chị bị viêm túi mật do sỏi rồi. Lúc đó chị vẫn phân trần với bác sĩ là mình bị viêm dạ dày vì có tiền sử mà. Thế nhưng, kết quả chụp MRI thì đúng là mình bị sỏi mật thật. Cũng rất may là các bác sĩ chẩn đoán chính xác, xử lý nhanh. Ngay hôm đó là chị đã được phẫu thuật xong, đến chiều là khỏe luôn và có thể ngồi dậy rồi.

Chị Hòa vừa trò chuyện, kể lại sự việc của chồng mình 06 năm trước, miệng cười không giấu được niềm vui: “Rất mừng là chị đã đến Hồng Ngọc, được chẩn đoán nhanh, chính xác và mổ sớm. Vô cùng cảm ơn sự quan tâm, săn sóc chu đáo và tỉ mỉ từ các bác sĩ cũng như các bạn điều dưỡng ở đây. Đi mổ mà cứ như đi nghỉ dưỡng ấy, thoải mái lắm!”.

 width= Chị Hòa bình phục sau phẫu thuật

Nhờ phẫu thuật cắt túi mật bằng phương pháp nội soi can thiệp tối thiểu với ưu điểm ít chảy máu, ít đau, thời gian hồi phục nhanh. Chỉ 4 ngày sau phẫu thuật, chị Hòa đã hoàn toàn bình phục và được xuất viện, trở lại cuộc sống bình thường.

Viêm túi mật do sỏi: Bệnh phổ biến nhưng có thể gây tử vong

Viêm túi mật là bệnh lý tiêu hóa rất phổ biến hiện nay. Bệnh có thể nhanh chóng tiến triển thành viêm túi mật cấp tính chỉ trong vài giờ. Các triệu chứng của viêm túi mật cấp tính bao gồm đau tức dưới sườn phải, ớn lạnh, buồn nôn, có thể nôn và kèm theo sốt.

Theo nghiên cứu, trên 95% bệnh nhân bị viêm túi mật cấp tính có bệnh sỏi mật. Khi một viên sỏi bị kẹt trong ống cổ túi mật làm tắc ứ dẫn đến giải phóng các enzyme và kết quả là gây viêm. Trong khi đó, niêm mạc bị tổn thương tiết ra nhiều dịch vào trong túi mật hơn số lượng hấp thụ. Sự tiến triển dẫn tới tiếp tục giải phóng các chất trung gian gây viêm, tổn thương niêm mạc nặng hơn, tất cả các yếu tố này làm tình trạng viêm kéo dài. Nhiễm trùng do vi khuẩn có thể xảy ra. Vòng luẩn quẩn của quá trình tiết dịch và viêm nếu không kiểm soát được sẽ gây hoại tử, thủng túi mật dẫn đến sốc, viêm phúc mạc và nhiễm trùng huyết với tỷ lệ tử vong khoảng 65%.

Ngay cả khi viêm cấp tính được giải quyết nhưng sau đó nếu tiếp tục tái phát, túi mật sẽ trở nên xơ, co lại và không cô đặc mật được. Mật không thực hiện tốt chức năng có thể dẫn đến viêm túi mật mạn tính hoặc gây ra các rối loạn khác.

Chẩn đoán xác định viêm túi mật cấp tính do sỏi được thực hiện thông qua các phương pháp chẩn đoán bằng hình ảnh như siêu âm/chụp MRI. Thậm chí, nhiều bác sĩ cũng có thể phát hiện viêm túi mật cấp tính do sỏi nhờ chẩn đoán tiền lâm sàng dựa theo các triệu chứng của bệnh. Tuy nhiên, tất cả phải được thực hiện tại các cơ sở y tế uy tín và bác sĩ tiêu hóa có kinh nghiệm bởi đã từng có nhiều trường hợp bệnh nhân lâm vào tình trạng nguy hiểm đến tính mạng do chẩn đoán và điều trị sai. 

Đọc tiếp
Quay lại
Hỏi đáp Bác sĩ
Viết câu hỏi
Cơ sở chuyên khoa liên quan
Bệnh viện Đa khoa Hồng Ngọc - Phúc Trường Minh
  • Số 8 đường Châu Văn Liêm, Phường Từ Liêm, Thành phố Hà Nội, Việt Nam
  • Hotline: +(84-24) 7300 8866
Đặt lịch ngay
Bệnh viện Đa khoa Hồng Ngọc - Yên Ninh
  • Số 55 Yên Ninh, phường Ba Đình, Hà Nội
  • Hotline: (+84-24) 3927 5568
Đặt lịch ngay
Phòng khám Đa khoa Hồng Ngọc - Keangnam
  • Tầng 10 tòa nhà 70 tầng, tòa nhà Keangnam Hanoi Landmark Tower, phường Yên Hòa, Hà Nội
  • Hotline: (+84-24) 3927 5568
Đặt lịch ngay
Phòng khám Đa khoa Hồng Ngọc - Kosmo Tây Hồ
  • Tầng 1&2 Tòa nhà NoVo chung cư Kosmo, 161 Xuân La, phường Xuân Đỉnh, Hà Nội
  • Hotline: (+84-24) 3927 5568
Đặt lịch ngay