Chỉ từ triệu chứng ho kéo dài, nam thanh niên 35 tuổi đã phải nhập viện trong tình trạng suy tim cấp, nhiễm trùng máu, suy hô hấp nặng, nguy cơ tử vong cao. Ca bệnh cho thấy bệnh tim mạch không còn là vấn đề của riêng người cao tuổi và việc chủ quan với dấu hiệu ban đầu có thể gây nguy hiểm tính mạng.
Từ cơn ho kéo dài đến suy tim cấp nguy kịch
Anh L.D.L (35 tuổi) đến khám tại BVĐK Hồng Ngọc - cơ sở Yên Ninh trong tình trạng ho, nôn nhiều và khó thở.Theo chia sẻ từ người thân, các triệu chứng xuất hiện trước đó nhưng tăng nặng rõ rệt vào đêm trước khi nhập viện, khiến người bệnh mệt lả, không thể ngủ được.
Khi vào viện, nồng độ oxy trong máu (spO2) của anh tụt xuống còn 79%, là mức suy hô hấp nặng, đe dọa trực tiếp đến tính mạng. Các bác sĩ lập tức chỉ định thở máy và tiến hành hồi sức tích cực, đồng thời thực hiện các xét nghiệm, chẩn đoán chuyên sâu để xác định nguyên nhân.
Các kết quả cho thấy người bệnh đang rơi vào suy tim cấp nặng, chức năng co bóp tim suy giảm nghiêm trọng, chỉ còn 31%, kèm theo nhiễm trùng máu và viêm phổi nặng, khiến suy hô hấp tiến triển nhanh với nguy cơ tử vong cao. Trước diễn biến phức tạp, người bệnh được chuyển theo dõi sát sao tại Khoa Hồi sức Tích cực, đặt ống nội khí quản sớm đồng thời phối hợp chặt chẽ với các phác độ điều trị suy tim, kiểm soát nhiễm trùng và hỗ trợ hô hấp.
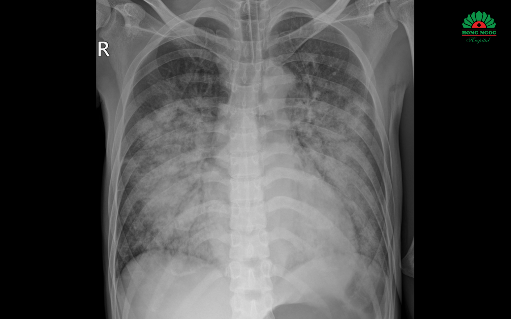
Phim chụp X quang thể hiện tổn thương mờ, lan tỏa 2 phổi của bệnh nhân
ThS.BS Nguyễn Thị Thư - Khoa Hồi sức Tích cực BVĐK Hồng Ngọc cơ sở Yên Ninh - người trực tiếp điều trị cho bệnh nhân chia sẻ về vòng xoắn bệnh lý nguy hiểm: “Dấu hiệu ban đầu của bệnh nhân dễ gợi ý đến các bệnh lý phổi cấp tính. Nhưng thực chất, vấn đề xuất phát từ cơn suy tim cấp làm ứ trệ tuần hoàn gây phù phổi, tiến triển thành nhiễm trùng huyết, khiến cơn suy tim nặng lên dẫn đến suy hô hấp.
Các vấn đề này ảnh hưởng, khuếch đại lẫn nhau, khiến chức năng tim - phổi nhanh chóng suy kiệt. Tình trạng này khởi phát nặng hơn ở những người không kiểm soát bệnh lý nền. Như trường hợp anh L, anh có tiền sử đái tháo đường nhưng không điều trị khiến hệ miễn dịch suy giảm, đây là yếu tố làm bệnh tiến triển nặng hơn”.
Nhờ được phát hiện kịp thời và điều trị tích cực, sau 3 ngày, bệnh nhân từ suy hô hấp nặng, suy tim nặng nguy cơ tử vong cao đã được cai thở máy. Ngày tiếp theo, anh được rút ống nội khí quản và tự thở hoàn toàn. Hiện tại bệnh nhân đã phục hồi tốt và có thể xuất hiện sau 12 ngày điều trị tích cực tại BVĐK Hồng Ngọc cơ sở Yên Ninh.
Anh L đã ổn định và bình phục sau 12 ngày điều trị
Khi suy tim không còn là bệnh của người cao tuổi
Theo ThS.BS Nguyễn Thị Thư: “Ở đối tượng người trẻ, suy tim cấp thường không xuất phát từ lão hóa tim, mà liên quan nhiều đến yếu tố bệnh nền, di truyền bẩm sinh hoặc lối sống thiếu lành mạnh.Trường hợp của anh L. là minh chứng rõ nét cho xu hướng trẻ hóa bệnh tim mạch hiện nay”.
Cũng theo thống kê của Bộ Y tế cho thấy, khoảng 25% người trưởng thành Việt Nam mắc bệnh tim mạch, trong đó không ít trường hợp ở độ tuổi 30–40, thậm chí trẻ hơn. Nguyên nhân chủ yếu đến từ việc không kiểm soát tốt bệnh nền như tăng huyết áp, đái tháo đường, rối loạn mỡ máu, cùng với với lối sống ít vận động, ăn uống kém khoa học, căng thẳng kéo dài, hút thuốc lá và sử dụng rượu bia.
Bác sĩ Thư khuyến cáo người dân nên chủ động khám sức khỏe định kỳ, kể cả khi chưa có triệu chứng. Những người có nguy cơ cao như trên 45 tuổi, có tiền sử gia đình mắc bệnh tim mạch, bệnh nền chuyển hóa, béo phì hoặc lối sống không lành mạnh cần được thăm khám định kỳ và theo dõi thường xuyên.
Còn với người mắc bệnh tim mạch, rối loạn nội tiết hoặc chuyển hóa phải tuyệt đối tuân thủ nghiêm phác đồ điều trị, dùng thuốc đúng chỉ định và tái khám định kỳ; không tự ý ngưng thuốc vì bệnh chỉ được kiểm soát khi điều trị liên tục. Đặc biệt theo dõi huyết áp thường xuyên để phát hiện sớm bất thường và giảm nguy cơ biến chứng tim mạch.
Khám sức khỏe định kỳ giúp phát hiện sớm các nguy cơ, bảo vệ sức khỏe tim mạch
Bên cạnh đó, người dân không nên chủ quan trước những dấu hiệu cảnh báo như đau ngực, khó thở, hồi hộp, tim đập nhanh hoặc mệt mỏi kéo dài không rõ nguyên nhân,... Việc thăm khám sớm giúp phát hiện bệnh kịp thời và giảm nguy cơ biến chứng nguy hiểm.
Với hệ thống cấp cứu hoạt động 24/7 cùng đội ngũ bác sĩ giàu kinh nghiệm, Bệnh viện Đa khoa Hồng Ngọc luôn sẵn sàng đồng hành cùng người bệnh trong tầm soát, chẩn đoán và điều trị các bệnh lý tim mạch, góp phần bảo vệ trái tim khỏe mạnh và nâng cao chất lượng sống.
Số 8 Châu Văn Liêm, Từ Liêm, Hà Nội
Số 55 Yên Ninh, Ba Đình, Hà Nội
Hotline: 02473008866
Chỉ từ triệu chứng ho kéo dài, nam thanh niên 35 tuổi đã phải nhập viện trong tình trạng suy tim cấp, nhiễm trùng máu, suy hô hấp nặng, nguy cơ tử vong cao. Ca bệnh cho thấy bệnh tim mạch không còn là vấn đề của riêng người cao tuổi và việc chủ quan với dấu hiệu ban đầu có thể gây nguy hiểm tính mạng.
Từ cơn ho kéo dài đến suy tim cấp nguy kịch
Anh L.D.L (35 tuổi) đến khám tại BVĐK Hồng Ngọc - cơ sở Yên Ninh trong tình trạng ho, nôn nhiều và khó thở.Theo chia sẻ từ người thân, các triệu chứng xuất hiện trước đó nhưng tăng nặng rõ rệt vào đêm trước khi nhập viện, khiến người bệnh mệt lả, không thể ngủ được.
Khi vào viện, nồng độ oxy trong máu (spO2) của anh tụt xuống còn 79%, là mức suy hô hấp nặng, đe dọa trực tiếp đến tính mạng. Các bác sĩ lập tức chỉ định thở máy và tiến hành hồi sức tích cực, đồng thời thực hiện các xét nghiệm, chẩn đoán chuyên sâu để xác định nguyên nhân.
Các kết quả cho thấy người bệnh đang rơi vào suy tim cấp nặng, chức năng co bóp tim suy giảm nghiêm trọng, chỉ còn 31%, kèm theo nhiễm trùng máu và viêm phổi nặng, khiến suy hô hấp tiến triển nhanh với nguy cơ tử vong cao. Trước diễn biến phức tạp, người bệnh được chuyển theo dõi sát sao tại Khoa Hồi sức Tích cực, đặt ống nội khí quản sớm đồng thời phối hợp chặt chẽ với các phác độ điều trị suy tim, kiểm soát nhiễm trùng và hỗ trợ hô hấp.
Phim chụp X quang thể hiện tổn thương mờ, lan tỏa 2 phổi của bệnh nhân
ThS.BS Nguyễn Thị Thư - Khoa Hồi sức Tích cực BVĐK Hồng Ngọc cơ sở Yên Ninh - người trực tiếp điều trị cho bệnh nhân chia sẻ về vòng xoắn bệnh lý nguy hiểm: “Dấu hiệu ban đầu của bệnh nhân dễ gợi ý đến các bệnh lý phổi cấp tính. Nhưng thực chất, vấn đề xuất phát từ cơn suy tim cấp làm ứ trệ tuần hoàn gây phù phổi, tiến triển thành nhiễm trùng huyết, khiến cơn suy tim nặng lên dẫn đến suy hô hấp.
Các vấn đề này ảnh hưởng, khuếch đại lẫn nhau, khiến chức năng tim - phổi nhanh chóng suy kiệt. Tình trạng này khởi phát nặng hơn ở những người không kiểm soát bệnh lý nền. Như trường hợp anh L, anh có tiền sử đái tháo đường nhưng không điều trị khiến hệ miễn dịch suy giảm, đây là yếu tố làm bệnh tiến triển nặng hơn”.
Nhờ được phát hiện kịp thời và điều trị tích cực, sau 3 ngày, bệnh nhân từ suy hô hấp nặng, suy tim nặng nguy cơ tử vong cao đã được cai thở máy. Ngày tiếp theo, anh được rút ống nội khí quản và tự thở hoàn toàn. Hiện tại bệnh nhân đã phục hồi tốt và có thể xuất hiện sau 12 ngày điều trị tích cực tại BVĐK Hồng Ngọc cơ sở Yên Ninh.
Anh L đã ổn định và bình phục sau 12 ngày điều trị
Khi suy tim không còn là bệnh của người cao tuổi
Theo ThS.BS Nguyễn Thị Thư: “Ở đối tượng người trẻ, suy tim cấp thường không xuất phát từ lão hóa tim, mà liên quan nhiều đến yếu tố bệnh nền, di truyền bẩm sinh hoặc lối sống thiếu lành mạnh.Trường hợp của anh L. là minh chứng rõ nét cho xu hướng trẻ hóa bệnh tim mạch hiện nay”.
Cũng theo thống kê của Bộ Y tế cho thấy, khoảng 25% người trưởng thành Việt Nam mắc bệnh tim mạch, trong đó không ít trường hợp ở độ tuổi 30–40, thậm chí trẻ hơn. Nguyên nhân chủ yếu đến từ việc không kiểm soát tốt bệnh nền như tăng huyết áp, đái tháo đường, rối loạn mỡ máu, cùng với với lối sống ít vận động, ăn uống kém khoa học, căng thẳng kéo dài, hút thuốc lá và sử dụng rượu bia.
Bác sĩ Thư khuyến cáo người dân nên chủ động khám sức khỏe định kỳ, kể cả khi chưa có triệu chứng. Những người có nguy cơ cao như trên 45 tuổi, có tiền sử gia đình mắc bệnh tim mạch, bệnh nền chuyển hóa, béo phì hoặc lối sống không lành mạnh cần được thăm khám định kỳ và theo dõi thường xuyên.
Còn với người mắc bệnh tim mạch, rối loạn nội tiết hoặc chuyển hóa phải tuyệt đối tuân thủ nghiêm phác đồ điều trị, dùng thuốc đúng chỉ định và tái khám định kỳ; không tự ý ngưng thuốc vì bệnh chỉ được kiểm soát khi điều trị liên tục. Đặc biệt theo dõi huyết áp thường xuyên để phát hiện sớm bất thường và giảm nguy cơ biến chứng tim mạch.
Khám sức khỏe định kỳ giúp phát hiện sớm các nguy cơ, bảo vệ sức khỏe tim mạch
Bên cạnh đó, người dân không nên chủ quan trước những dấu hiệu cảnh báo như đau ngực, khó thở, hồi hộp, tim đập nhanh hoặc mệt mỏi kéo dài không rõ nguyên nhân,... Việc thăm khám sớm giúp phát hiện bệnh kịp thời và giảm nguy cơ biến chứng nguy hiểm.
Với hệ thống cấp cứu hoạt động 24/7 cùng đội ngũ bác sĩ giàu kinh nghiệm, Bệnh viện Đa khoa Hồng Ngọc luôn sẵn sàng đồng hành cùng người bệnh trong tầm soát, chẩn đoán và điều trị các bệnh lý tim mạch, góp phần bảo vệ trái tim khỏe mạnh và nâng cao chất lượng sống.