Số ca viêm phổi tăng đột biến trong những ngày hà nội nắng nóng 40 độ c

Số ca viêm phổi tăng đột biến trong những ngày hà nội nắng nóng 40 độ c

20-05-2023

Những ngày gần đây, thời tiết tại nhiều tỉnh thành như đổ lửa với mức nhiệt độ trên 40 độ C. Nắng nóng ảnh hưởng lớn đến sức khỏe và sinh hoạt thường ngày của nhiều người. Đáng báo động, BV Hồng Ngọc đã ghi nhận số lượng bệnh nhân viêm phổi gia tăng đột biến, cảnh báo nhiều mối nguy hiểm cho người dân.

Ngỡ ngàng với số ca nhập viện gia tăng đột biến

Một tuần trở lại đây, Chuyên khoa Hô hấp BV Hồng Ngọc tiếp nhận lượng lớn khách hàng đến khám với các triệu chứng như ho, sốt, đau mỏi người, đau rát họng… Sau thăm khám, phần lớn các ca bệnh đều được chẩn đoán viêm phổi và phải nhập viện điều trị. Đáng chú ý, có những ca bệnh chỉ biểu hiện khá nhẹ và không kéo dài nhưng bệnh cũng đã tiến triển nặng. 

Trường hợp bệnh nhân N.T.Bình: 2 ngày nay anh bị ho đờm, đau đầu, sốt cao nhất 39,3 độ C, đau rát họng…. đến khám thì được chẩn đoán viêm phổi và có chỉ định nhập viện.

Trường hợp bệnh nhân N.V.Cường: 3 ngày nay anh sốt, cao nhất 39 độ C, ho đờm, đau đầu, mệt mỏi… đến khám thì được chẩn đoán viêm phổi, viêm họng cấp và có chỉ định nhập viện.

Trường hợp bệnh nhân Đ.Q.Đông: Gần 1 tháng nay anh bị ho, không sốt, tức ngực, hụt hơi… tự mua thuốc ho, long đờm, bổ phế điều trị tại nhà nhưng không khỏi. Đến khám tại BV Hồng Ngọc thì phát hiện đã viêm phổi nặng.

Ngoài ra, còn rất nhiều bệnh nhân đến khám với các triệu chứng tương tự.

viem phoi

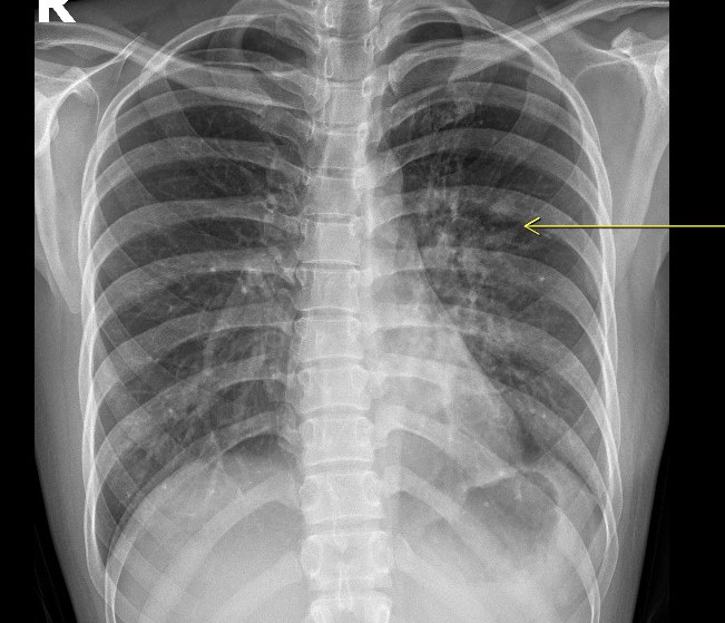
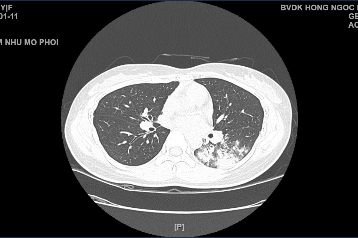
 width= Hình ảnh chụp X-quang và phim chụp cắt lớp vi tính ở ngực bệnh nhân

Nguyên nhân sơ bộ

Theo các bác sĩ tại Chuyên khoa Hô hấp BV Hồng Ngọc, nhiều trường hợp nhập viện vì viêm phổi có kết quả xét nghiệm dương tính với các tác nhân như Mycoplasma pecumoniac, Haemophilus influenzae, phế cầu... 

Các bác sĩ đưa ra nhận định: Thời gian gần đây, thời tiết thay đổi, nắng nóng quá mức kéo dài ảnh hưởng trực tiếp đến hệ hô hấp. Hầu hết các trường hợp chỉ nghĩ bị cảm cúm thông thường, ho kéo dài nhưng chủ quan không đi khám sớm. Cùng với đó, chế độ ăn uống không khoa học, đi lại nhiều, việc thực hiện phòng bệnh, đeo khẩu trang không thường xuyên khiến họ bị nhiễm virus, vi khuẩn đường hô hấp và tiến triển nhanh thành viêm phổi.

Bên cạnh đó, hầu hết các trường hợp bệnh nhân vào viện đều có tiền sử mắc COVID-19 khiến hệ miễn dịch suy giảm và hệ hô hấp dễ bị tổn thương hơn.

Do đó bác sĩ cảnh báo, nếu có các triệu chứng bất thường về đường hô hấp, người dân nên đi khám chuyên khoa để chẩn đoán chính xác tình trạng bệnh và điều trị sớm, tránh diễn tiến nặng cũng như biến chứng nguy hiểm.

 width= Nhiều trường hợp viêm phổi do virus là tác nhân gây bệnh

Điều trị trúng đích - Nâng cao hiệu quả

Khi thăm khám tại Hồng Ngọc, bệnh nhân sẽ được chỉ định thực hiện các xét nghiệm cần thiết như xét nghiệm máu, chụp X-quang phổi, khám tai mũi họng và nội soi phế quản (nếu cần) để đánh giá tình trạng bệnh.

Đặc biệt, bác sĩ sẽ cân nhắc chỉ định cho bệnh nhân thực hiện xét nghiệm Vi sinh vật nhiễm khuẩn hô hấp Realtime PCR đa tác nhân (26 tác nhân) hoặc thực hiện cấy đờm để tìm ra chính xác nguyên nhân gây bệnh.

Việc tìm ra chính xác nguyên nhân giúp bác sĩ lên phác đồ điều trị cá thể hóa, phù hợp nhất với từng bệnh nhân, kê đúng thuốc, đúng liều với tình trạng bệnh. Nhờ đó, hiệu quả điều trị cao hơn, rút ngắn thời gian điều trị.

 width= Khách hàng thăm khám tại khoa Hô hấp - BV Hồng Ngọc

Như trường hợp của anh N.T.Bình kể trên, sau một đợt điều trị tại Hồng Ngọc, bệnh nhân có tiến triển tốt nên được xuất viện và tiếp tục theo dõi, điều trị tại nhà. Trước khi trở về nhà, anh hồ hởi chia sẻ: “Tôi bị ho, sốt 2 ngày nên cũng nghĩ chỉ bị cúm thông thường. Ai ngờ đi khám thì bị viêm phổi. Nằm viện đến ngày thứ 3 thì các triệu chứng thuyên giảm rõ rệt. Cũng may là đi khám sớm chứ nếu chủ quan không đi khám thì không biết bệnh tình nghiêm trọng mức nào. Những ngày nằm viện, được bác sĩ đến kiểm tra hằng ngày, điều dưỡng hỏi han chăm sóc tận tình nên tôi rất hài lòng. Đặc biệt, ở đây cơm viện mà ngon như cơm hàng nên hôm nào tôi cũng ăn hết suất. Bệnh viện sạch sẽ, phòng nằm 2 người nhưng cũng rất rộng rãi, thoáng mát. Nói chung lần nằm viện này tuy ảnh hưởng đến công việc một chút nhưng tôi thấy hài lòng về mọi thứ”.

Khoa Hô hấp - BVĐK Hồng Ngọc

Số 55, Yên Ninh, Ba Đình, Hà Nội

Số 8 Châu Văn Liêm, Nam Từ Liêm, Hà Nội

Đọc tiếp
Quay lại

Hỏi đáp Bác sĩ

Viết câu hỏi

Cơ sở chuyên khoa liên quan

Bệnh viện Đa khoa Hồng Ngọc - Phúc Trường Minh
  • Số 8 đường Châu Văn Liêm, Phường Từ Liêm, Thành phố Hà Nội, Việt Nam
  • Hotline: +(84-24) 7300 8866
Đặt lịch ngay
Bệnh viện Đa khoa Hồng Ngọc - Yên Ninh
  • Số 55 Yên Ninh, phường Ba Đình, Hà Nội
  • Hotline: (+84-24) 3927 5568
Đặt lịch ngay
Phòng khám Đa khoa Hồng Ngọc - Keangnam
  • Tầng 10 tòa nhà 70 tầng, tòa nhà Keangnam Hanoi Landmark Tower, phường Yên Hòa, Hà Nội
  • Hotline: (+84-24) 3927 5568
Đặt lịch ngay
Phòng khám Đa khoa Hồng Ngọc - Kosmo Tây Hồ
  • Tầng 1&2 Tòa nhà NoVo chung cư Kosmo, 161 Xuân La, phường Xuân Đỉnh, Hà Nội
  • Hotline: (+84-24) 3927 5568
Đặt lịch ngay