Phương pháp điều trị tối ưu cho bệnh nhân thoái hóa khớp háng

Phương pháp điều trị tối ưu cho bệnh nhân thoái hóa khớp háng

Thoái hóa khớp háng không còn là căn bệnh xa lạ đặc biệt là với những người cao tuổi. Bệnh mang đến nhiều phiền toái, gây đau đớn ảnh hưởng lâu dài đến cuộc sống người già và gián tiếp đến những người xung quanh. Giờ đây, với sự phát triển vượt bậc của khoa học và công nghệ trong lĩnh vực Y tế, bệnh nhân bị thoái hóa khớp háng có thể yên tâm vì đã có phương pháp điều trị tối ưu đó là thay khớp háng.

Thoái hóa khớp háng: Hiểu đúng bệnh để điều trị đúng phương pháp

Ông Bùi Văn Dũng (70 tuổi, trú tại Đống Đa - Hà Nội) có tiền sử nghiện rượu nặng. Đầu năm 2020, ông có hiện tượng đau chân trái, khó đi lại, đau nhức phần khớp háng nên đi khám và phát hiện tình trạng hoại tử khớp háng hai bên. Riêng khớp háng trái nặng hơn đã ở cấp độ 3. Bác sĩ đã giới thiệu với bệnh nhân và gia đình một phương pháp điều trị hiệu quả đó là thay khớp háng.

Tuy nhiên, bệnh nhân không đồng ý. Sau đó, gia đình đã đưa bệnh nhân đi thăm khám nhiều nơi, từng cắt thuốc nam, sử dụng thực phẩm chức năng, thậm chí đi châm cứu nhưng bệnh tình không thuyên giảm. Bị những cơn đau khớp hành hạ khiến ông đi lại vô cùng khó khăn, chỉ nằm ngủ thôi cũng nhức nhối đến mức không trở mình được, mất ăn mất ngủ khiến cơ thể ngày một suy nhược. Ông Dũng kể:

Trước thì chiều nào tôi cũng đi đón mấy đứa cháu, đỡ đần các con nhưng từ khi đau chân nhiều nên không đi được, không đi được xe máy nữa, không đón được các cháu, dù muốn cũng chẳng đi đâu được nữa, nhiều lúc nghĩ cũng thấy buồn.”

Vậy là ông quyết định tìm gặp lại bác sĩ Nguyễn Giang Lam là người đã thăm khám cho ông trước đây để xin tư vấn. Bác sĩ phân tích:

Tình trạng thoái hóa khớp của bệnh nhân do hai nguyên nhân. Nguyên nhân nguyên phát là khớp bị lão hóa dần do tuổi cao. Nguyên nhân thứ phát là do bệnh nhân nghiện rượu nặng dẫn đến viêm khớp biến chứng hoại tử chỏm xương đùi trên và gây thoái hóa khớp. Trường hợp của bệnh nhân bị thoái hóa cả hai bên nhưng khớp háng trái tiến triển nhanh và nặng hơn với nhiều triệu chứng điển hình.

Bác sĩ đã tư vấn bệnh nhân thay khớp háng. Đây được coi là phương pháp điều trị tối ưu nhất hiện nay cho tình trạng thoái khóa khớp háng nặng như của bệnh nhân.

Phẫu thuật thay khớp háng trái thành công sau khoảng nửa năm, bệnh nhân tiếp tục được phẫu thuật thay khớp háng phải do có biểu hiện đau tăng lên và kết quả thăm khám cũng như chẩn đoán hình ảnh cho thấy tình trạng thoái hóa khớp háng phải đã tiến triển nặng.

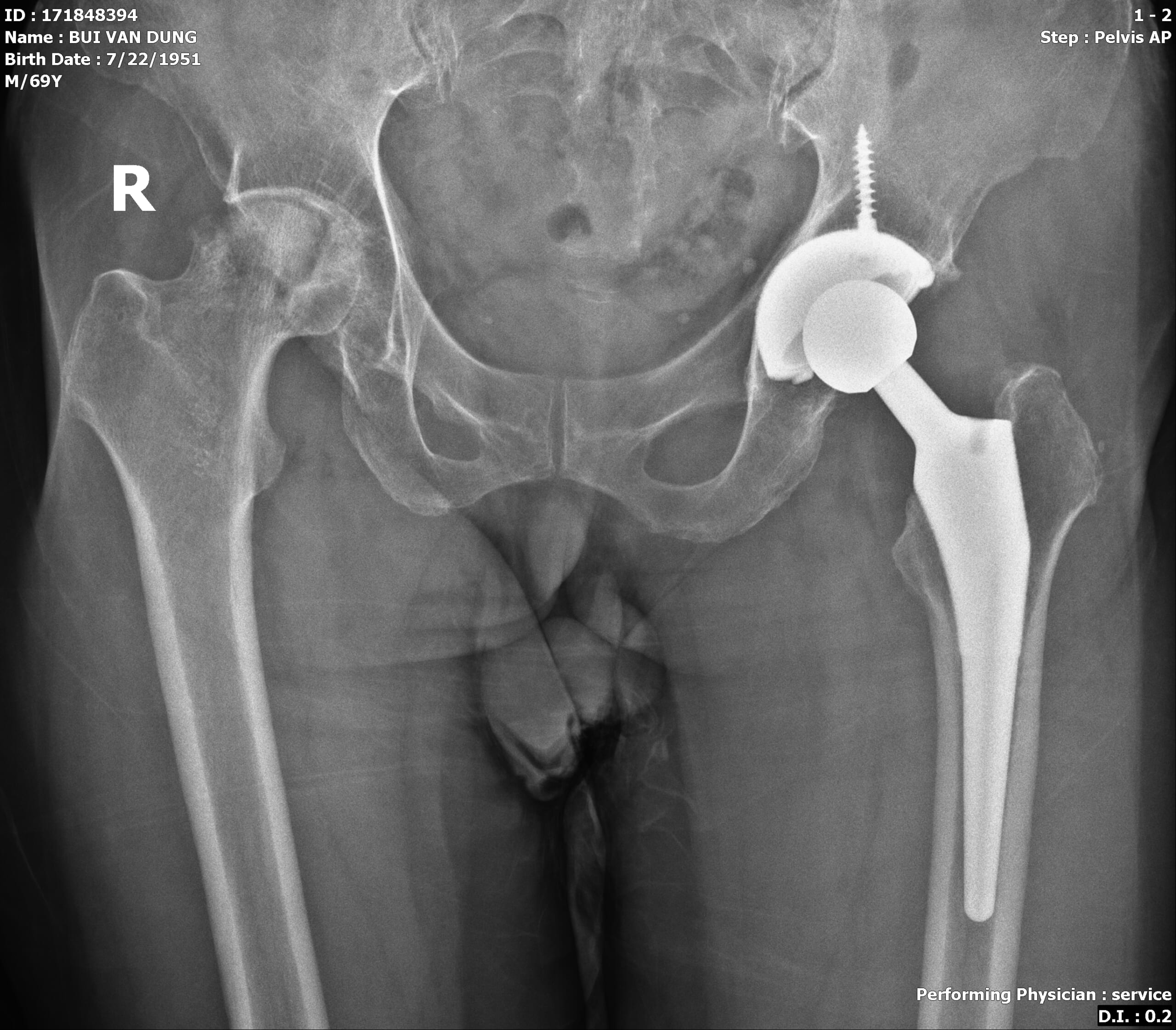
thoai hoa khop hang Ảnh: Hình ảnh phim X-quang khớp háng (phải) bị thoái hóa và khớp háng (trái) bị thoái hóa đã được thay khớp háng nhân tạo của bệnh nhân Bùi Văn Dũng (70 tuổi)

Sau hai lần bệnh nhân được phẫu thuật thay khớp háng (trái và phải), hiện chân trái đã vận động bình thường, chân phải đang trong quá trình hồi phục. Bệnh nhân đã có thể đứng lên thực hiện các bài tập đi và vận động nhẹ nhàng.

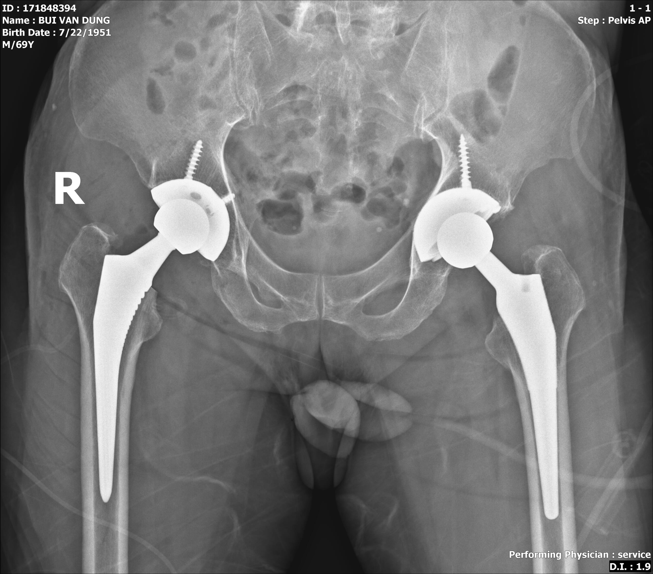
thoai-hoa-khop-hang Ảnh: Hình ảnh phim X-quang cả hai bên khớp háng bị thoái hóa đã được thay khớp háng nhân tạo của bệnh nhân Bùi Văn Dũng (70 tuổi)

Thay khớp háng có phải giải pháp tối ưu? Nhược điểm của thay khớp háng?

Thay khớp háng là phương pháp cuối cùng được chỉ định cho bệnh nhân thoái hóa khớp háng nặng sau khi điều trị nội khoa, vật lý trị liệu kết hợp phương pháp bài tập vận động hoặc cắt bỏ gai xương mà không có kết quả và thường được chỉ định ở bệnh nhân độ tuổi trên 60.

thoai-hoa-khop-hang Ảnh: Bệnh nhân Bùi Văn Dũng trong quá trình hồi phục sau phẫu thuật

Bác sĩ Nguyễn Giang Lam – Khoa Ngoại Bệnh viện Hồng Ngọc, bác sĩ chủ trị ca bệnh cho biết: “Khớp háng nhân tạo (implant) sử dụng công nghệ phủ HA có khả năng tích hợp với cơ thể con người tương tự khớp háng tự nhiên. Phẫu thuật thay khớp háng chỉ gây tê tủy sống, thời gian phẫu thuật nhanh, bệnh nhân ít đau đớn, nhanh phục hồi.

Sau khi thay khớp háng chỉ tối đa 5 ngày là bệnh nhân có thể tập đi lại và đi lại, sinh hoạt bình thường chỉ sau 15 đến 30 ngày.

Công nghệ mới này mang lại hiệu quả rất cao, khác hoàn toàn công nghệ cũ sử dụng Ciment y học có thể bất lợi cho tim mạch. Thời hạn sử dụng của phương pháp này từ 15 đến 20 năm, chất lượng cuộc sống của người bệnh được cải thiện rõ rệt, không còn đau đớn, đi lại tốt.”

Anh Bùi Anh Chiến – người nhà bệnh nhân Bùi Văn Dũng cho biết: “Sau khi bố tôi mổ xong chắc chỉ một tuần thôi là chân đã hết đau rồi. Như lần trước mổ chân trái thì sau một tháng là đi lại bình thường. Lần này mổ chân phải tôi nhận thấy bố tôi hồi phục nhanh hơn lần trước. Cũng rất cảm ơn các bác sĩ Hồng Ngọc đã tư vấn, chăm sóc bố tôi rất chu đáo từ ngay lúc mà vào viện đến lúc khi ra viện.”

thoai-hoa-khop-hang Ảnh: Bác sĩ hướng dẫn bệnh nhân tập vận động sau phẫu thuật

Có thể nói, thay khớp háng là giải pháp “cứu cánh” cho bệnh nhân thoái hóa khớp háng. Những rủi ro và biến chứng có thể gặp phải sau phẫu thuật như nứt xương, tổn thương dây thần kinh, lỏng khớp, trật khớp… có tỷ lệ nhỏ và hầu như là không có nếu được phẫu thuật bởi kỹ thuật viên tay nghề cao, có nhiều kinh nghiệm và được nhân viên y tế chăm sóc hậu phẫu đúng cách.

Ngoài ra, các bác sĩ cũng khuyến cáo, sau khi phẫu thuật, bệnh nhân phải tập phục hồi chức năng thật tốt thì chức năng vận động mới được cải thiện. Bên cạnh đó, khi tập vận động, bệnh nhân chú ý tránh ngồi xổm, xếp bằng. Bệnh nhân không phải kiêng khem về ăn uống nhưng cần loại bỏ những chất kích thích như rượu bia, đặc biệt là bệnh nhân có tiền sử tăng huyết áp và đái tháo đường phải chú ý giữ sức khỏe ổn định bởi đây là nhóm có nguy cơ cao bị thoái hóa khớp và nhiều bệnh khác./.

Đọc tiếp
Quay lại

Hỏi đáp Bác sĩ

Viết câu hỏi

Đăng ký tư vấn

Cơ sở chuyên khoa liên quan

Bệnh viện Đa khoa Hồng Ngọc - Phúc Trường Minh
  • Số 8 đường Châu Văn Liêm, Phường Từ Liêm, Thành phố Hà Nội, Việt Nam
  • Hotline: +(84-24) 7300 8866
Đặt lịch ngay
Bệnh viện Đa khoa Hồng Ngọc - Yên Ninh
  • Số 55 Yên Ninh, phường Ba Đình, Hà Nội
  • Hotline: (+84-24) 3927 5568
Đặt lịch ngay
Phòng khám Đa khoa Hồng Ngọc - Keangnam
  • Tầng 10 tòa nhà 70 tầng, tòa nhà Keangnam Hanoi Landmark Tower, phường Yên Hòa, Hà Nội
  • Hotline: (+84-24) 3927 5568
Đặt lịch ngay
Phòng khám Đa khoa Hồng Ngọc - Kosmo Tây Hồ
  • Tầng 1&2 Tòa nhà NoVo chung cư Kosmo, 161 Xuân La, phường Xuân Đỉnh, Hà Nội
  • Hotline: (+84-24) 3927 5568
Đặt lịch ngay