Chị N.T.T (33 tuổi, Hà Nội) đến Bệnh viện Hồng Ngọc khám trong tình trạng đau nhức, nổi mụn tại vùng kín, được chẩn đoán nang tuyến Bartholin bội nhiễm, cần phẫu thuật bóc nang kịp thời. Các bác sĩ khuyến cáo, khi xuất hiện dấu hiệu sưng đau, nổi mụn bất thường ở âm hộ, phụ nữ cần đi khám sớm để tránh biến chứng nguy hiểm.
Chủ quan với “mụn âm hộ” – Người phụ nữ 33 tuổi suýt gặp biến chứng nguy hiểm
Với những triệu chứng ban đầu, chị N.T.T nghĩ chỉ là mụn viêm thông thường nên tự mua thuốc bôi tại nhà. Tuy nhiên, sau vài ngày, tình trạng sưng đau không giảm mà ngày càng nặng, gây khó khăn khi đi lại, sinh hoạt.
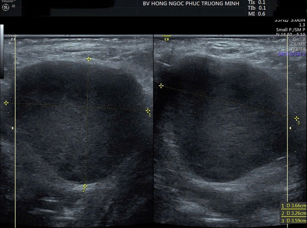
Qua thăm khám, các bác sĩ ghi nhận khối sưng kích thước 5x3cm tại môi lớn bên trái, đỏ, ấn đau. Kết quả siêu âm cho thấy hình ảnh nang tuyến Bartholin bội nhiễm - một bệnh lý phụ khoa tiềm ẩn nhiều biến chứng.

Khối nang Bartholin kích thước 5x3cm tại môi lớn bên trái của BN.
Trước tình trạng nguy cấp trên, BSCKI Đỗ Danh Trường (Khoa Sản Phụ khoa - BVĐK Hồng Ngọc) đã tiến hành phẫu thuật bóc nang, dẫn lưu ổ mủ, loại bỏ hoàn toàn vùng bội nhiễm. Sau phẫu thuật, bệnh nhân hồi phục tốt, không để lại biến chứng.
Nang tuyến bartholin: Căn bệnh phụ khoa dễ bị bỏ qua nhưng tiềm ẩn biến chứng nguy hiểm
Tuyến bartholin là tuyến nhỏ nằm ở hai bên âm hộ, có chức năng tiết dịch nhờn để bôi trơn khi quan hệ tình dục. Khi ống tuyến bị tắc nghẽn, dịch ứ đọng lại và hình thành nang.
Nang tuyến bartholin thường không gây triệu chứng rõ ràng ở giai đoạn đầu, dễ bị nhầm lẫn với các mụn viêm thông thường. Tuy nhiên, khi nang bị bội nhiễm, người bệnh có thể xuất hiện các triệu chứng như:
Sưng đau một bên môi lớn, nổi mụn đỏ, ấn vào thấy đau nhức.
Cảm giác khó chịu, đau rát khi đi lại hoặc quan hệ.
Trường hợp nặng, ổ viêm có thể lan rộng, gây áp xe, sốt, thậm chí phải can thiệp phẫu thuật.
Nang tuyến bartholin bội nhiễm nếu không điều trị kịp thời có thể để lại di chứng lâu dài, ảnh hưởng đến chất lượng sống và sức khỏe sinh sản của phụ nữ. Bác sĩ Trường khuyến cáo, khi xuất hiện các triệu chứng bất thường tại vùng kín như sưng, nổi mụn, đau nhức, phụ nữ nên đi khám ngay để được chẩn đoán chính xác và điều trị kịp thời. Tuyệt đối không tự ý mua thuốc hoặc áp dụng các mẹo dân gian, tránh làm tình trạng nặng hơn.

Khi xuất hiện các triệu chứng bất thường, chị em phụ nữ nên đi khám ngay để được chẩn đoán chính xác và điều trị kịp thời.
“Nang tuyến Bartholin không phải là bệnh hiếm gặp nhưng rất dễ bị bỏ qua. Phụ nữ cần đặc biệt lưu ý các dấu hiệu bất thường ở vùng kín và nên khám phụ khoa định kỳ 6 tháng/lần để phát hiện sớm các vấn đề tiềm ẩn, tránh biến chứng ảnh hưởng đến sức khỏe sinh sản và hạnh phúc gia đình.” - Bác sĩ Trường nhấn mạnh.
Đăng ký nhận tư vấn phẫu thuật phụ khoa