Siêu âm tim thai là kỹ thuật dựa trên hình ảnh để theo dõi, đánh giá tình trạng sức khỏe tim mạch của thai nhi, từ đó tư vấn và tìm ra phương hướng điều trị phù hợp cho cả mẹ và bé.
Các thông tin trong bài viết được cung cấp bởi ThS.BS Đặng Mai Quỳnh - khoa Chẩn đoán hình ảnh - Bệnh viện Đa khoa Hồng Ngọc Phúc Trường Minh.
Bạn có biết?
Theo thống kê, cứ 130 triệu trẻ em được sinh ra trên thế giới sẽ có 1 triệu trẻ bị mắc bệnh tim bẩm sinh mỗi năm (chiếm tỉ lệ 0.8%). Không những thế, trong số các dị tật bẩm sinh, bệnh tim còn là nguyên nhân gây tử vong hàng đầu ở trẻ em, chiếm khoảng 40% trong số các bất thường bẩm sinh. Ngoài ra, 30 – 50% bệnh tim bẩm sinh có kèm theo các bất thường ngoài tim, bất thường nhiễm sắc thể hay hội chứng di truyền như hội chứng Down, Trisomy 13, Trisomy 18, hội chứng Digeorge, hội chứng Marfan, hội chứng Noonan.…
Có thể bạn quan tâm:
Hiện nay, việc chẩn đoán bệnh tim bẩm sinh trước sinh vẫn còn đang bỏ sót ½ số ca bệnh. Các chương trình sàng lọc ở hầu hết các nước đang phát triển đã báo cáo tỷ lệ phát hiện chỉ từ 30 – 60%, thay đổi theo tùy loại dị tật tim.
Phương pháp siêu âm tim thai ra đời nhằm giúp phát hiện sớm những dị tật bẩm sinh ở thai nhi, có phương hướng xử lý sớm và hỗ trợ quá trình điều trị ngay từ trong bụng mẹ.
Siêu âm tim thai là gì?

Siêu âm tim thai là phương pháp chẩn đoán dựa trên hình ảnh của thai nhi khi còn trong bụng mẹ. Phương pháp này được thực hiện bởi các bác sĩ giỏi chuyên môn và giàu kinh nghiệm trong việc chẩn đoán trước sinh.
Siêu âm tim thai có thể giúp bác sĩ đánh giá được tình trạng của thai nhi bao gồm: nhịp tim, cấu trúc tim, chức năng của tim,... giúp phát hiện dị tật tim bẩm sinh từ quý 2 của thai kỳ.
Siêu âm tim thai có tác dụng gì?
Siêu âm tim thai giúp theo dõi tình trạng sức khỏe tim mạch của thai nhi.
Việc phát hiện ra các bệnh tim bẩm sinh sớm trong bào thai sẽ giúp bác sĩ lựa chọn các xét nghiệm sàng lọc để chẩn đoán, tư vấn di truyền, tiên lượng trong thai kỳ, cải thiện tỷ lệ tử vong và bệnh tật sau sinh cũng như lên kế hoạch sinh phù hợp nhất.
Ngoài ra, siêu âm tim thai giúp bác sĩ phát hiện sớm các bệnh lý về tim như như rối loạn nhịp, thiếu máu, hẹp van.... có thể giúp đưa ra phương án điều trị và can thiệp trong bào thai.
Để được khám thai và siêu âm tim thai cùng các bác sĩ Sản Phụ khoa giỏi chuyên môn và giàu kinh nghiệm, bạn vui lòng liên hệ hotline 0916.690.018 hoặc điền vào form bên dưới.
Những đối tượng nào cần siêu âm tim thai?
Về phía cha mẹ
Cha, mẹ có bệnh tim bẩm sinh hoặc đã từng sinh con có bệnh tim bẩm sinh.
Mẹ: lớn tuổi, chưa làm các xét nghiệm sàng lọc trước đó. Xét nghiệm sinh hóa bất thường (AFP, HCG, PAPP-A, uE3)
Mẹ đái tháo đường, phenylceton niệu, bệnh tự miễn, đã từng tiếp xúc với chất gây quái thai, nghiện rượu, nhiễm siêu vi...
Về phía thai
Thai nhi có tăng độ mờ da gáy ( >2,5mm) ở siêu âm tuần 11 – 13 tuần 6 ngày
Song thai cùng trứng
Thai có bất thường cơ quan khác (não, chi,..) hoặc bất thường tim trên siêu âm sản.
Thai chậm tăng trưởng trong tử cung
Thai có bất thường lượng nước ối mức độ vừa và nặng
Thai có nốt tăng âm trong tim.
Tuy nhiên, 80% bệnh tim bẩm sinh gặp ở nhóm thai phụ không có yếu tố nguy cơ cao. Do vậy, siêu âm tim thai nên được coi là một xét nghiệm sàng lọc thường quy ở tất cả các mẹ bầu.
Nên siêu âm tim thai khi nào?
Ở tuần thứ 6 - 7 của thai kỳ thì thai nhi đã bắt đầu xuất hiện tim thai, thời điểm này mẹ đã có thể nghe được nhịp đập của tim thai khi đi siêu âm.

Tuy nhiên, để phát hiện được những bất thường ở tim thai thì mẹ cần chờ thêm một thời gian nữa để cấu trúc tim thai hoàn chỉnh. Theo khuyến cáo của hiệp hội siêu âm sản phụ khoa thế giới – ISUOG, một số bất thường tim thai có thể phát hiện sớm từ tuần thứ 12 của thai kỳ, tuy nhiên siêu âm tim thai nên được thực hiện từ tuần thứ 18 để tránh bỏ sót và xác định chính xác bất thường tim, nhất là với các thai phụ có thành bụng dày.
Siêu âm tim thai ở đâu uy tín?
Siêu âm tim thai là kỹ thuật không xâm lấn, nên được thực hiện bởi các bác sĩ có trình độ cao và có kinh nghiệm chẩn đoán tại bệnh viện hoặc các phòng khám uy tín.
Hiểu được tầm quan trọng của việc phát hiện sớm các bất thường tim bẩm sinh và mong muốn được đồng hành cùng các mẹ bầu thông thái, Bệnh viện Đa khoa Hồng Ngọc Phúc Trường Minh đã đưa siêu âm tim thai trở thành siêu âm thường quy với tuổi thai từ 18 – 32 tuần.
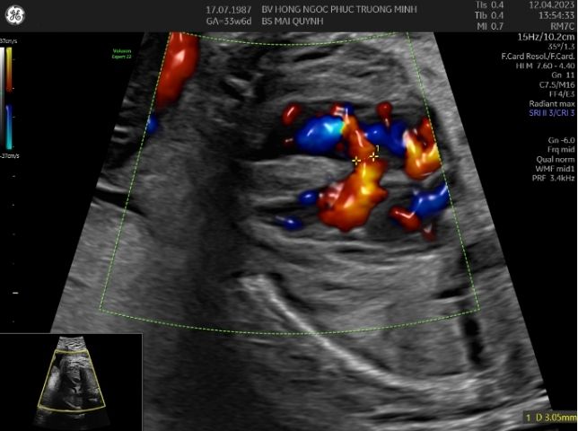
Hình ảnh thông liên thất ở thai 30 tuần với kĩ thuật 4D STIC tim thai.Siêu âm tim thai là một kỹ thuật chuyên sâu, ngoài kiến thức, kinh nghiệm và trình độ chuyên môn của các bác sĩ, trang thiết bị cũng là một phần rất quan trọng. Hiện nay, khoa Sản Phụ khoa - Bệnh viện Đa khoa Hồng Ngọc Phúc Trường Minh là cơ sở đầu tiên và duy nhất trên cả nước sở hữu máy siêu âm hiện đại nhất thế giới - Voluson Expert 22 của hãng GE Healthcare. Với công nghệ UltraHD, Augment, Shadow Reduction.... cùng các kĩ thuật tái tạo tim 3D, 4D STIC cho phép tăng độ chính xác trong chẩn đoán bất thường tim thai cũng như minh họa cho cha mẹ hình ảnh thai nhi một cách sinh động và trực quan nhất có thể.
**Lưu ý: Những thông tin cung cấp trong bài viết của Bệnh viện Đa khoa Hồng Ngọc chỉ có tính chất tham khảo, không thay thế cho việc chẩn đoán hoặc điều trị y khoa. Để biết chính xác tình trạng bệnh, người bệnh cần tới các cơ sở y tế uy tín để được bác sĩ trực tiếp thăm khám và tư vấn phác đồ điều trị hiệu quả.
Theo dõi fanpage Bệnh viện Đa khoa Hồng Ngọc để biết thêm nhiều thông tin hữu ích khác.