Sau ca phẫu thuật thoát vị đĩa đệm cột sống thắt lưng cùng PGS.TS.BS Hà Kim Trung tại BVĐK Hồng Ngọc, bệnh nhân Khánh đã hết đau, có thể chơi thể thao và lao động bình thường. Trước đó, bệnh nhân thường xuyên đau lưng dữ dội vào mỗi buổi sáng, ảnh hưởng nghiêm trọng đến chất lượng cuộc sống và công việc.
Nam thanh niên 28 tuổi đối mặt nguy cơ liệt chi do đau thoát vị đĩa đệm
Bệnh nhân Khánh (Nhân viên phòng - Hà Nội) vốn là người có lối sống lành mạnh, khoa học, thường xuyên chơi thể thao, chưa từng gặp các vấn đề sức khỏe hay đau nhức lưng. Tuy nhiên, gần đây Khánh nhận thấy xuất hiện triệu chứng đau vùng thắt lưng vào mỗi buổi sáng.
“Ban đầu em chỉ nghĩ đau lưng do chơi thể thao với cường độ cao, nhưng gần đây cơn đau ngày càng dữ dội hơn. Đặc biệt, mỗi buổi sáng em phải mất cả tiếng đồng hồ để vật lộn với cơn đau, nên đã quyết định đến BVĐK Hồng Ngọc thăm khám”, bệnh nhân Khánh kể lại.
Qua thăm khám và kết quả chụp cộng hưởng từ (MRI), bệnh nhân được chẩn đoán thoát vị đĩa đệm cột sống thắt lưng L4/L5 gây chèn ép rễ thần kinh, cần phẫu thuật để tránh biến chứng liệt.
.jpg)
Hình ảnh thoát vị đĩa đệm cột sống L4/L5 qua phim chụp
Trực tiếp thăm khám cho bệnh nhân, PGS.TS.BS Hà Kim Trung (Phó Giám đốc Y khoa BVĐK Hồng Ngọc - Phúc Trường Minh) phân tích: Thoát vị đĩa đệm thắt lưng ngày càng phổ biến ở người trẻ, nhất là những người ngồi lâu, ít vận động như nhân viên văn phòng hay lái xe,.. Bệnh nhân này mới 28 tuổi đã gặp tình trạng thoái hóa gây tổn thương lớp sụn thân đốt sống, thoát vị chèn ép rễ thần kinh gây đau cấp tính và có mất vững cột sống. Vì vậy, phẫu thuật sớm không chỉ giúp giải phóng chèn ép, làm vững cột sống mà còn rút ngắn thời gian hồi phục, hạn chế biến chứng thần kinh và sớm trở lại lao động, chơi thể thao bình thường.
Trái ngược với lại tâm lý lo sợ sẽ gặp rủi ro, biến chứng liệt, bệnh nhân Khánh mong muốn ca phẫu thuật được diễn ra sớm để có thể hồi phục nhanh, sớm trở lại chơi thể thao, sinh hoạt như mọi người.
Chấm dứt cơn đau, trở lại chơi thể thao sau 1 tháng phẫu thuật
Theo PGS. Hà Kim Trung: Phẫu thuật thoát vị đĩa đệm cột sống thắt lưng thường được chỉ định cho những trường hợp đã điều trị nội khoa không đem lại hiệu quả, khối thoát vị gây rách bao xơ, chèn ép rễ thần kinh, gây rối loạn cảm giác và vận động,... Với người trẻ đang trong độ tuổi lao động, giải pháp tối ưu là phẫu thuật giải phóng chèn ép, kết hợp hàn xương và nẹp vít cố định cột sống, giúp chấm dứt tình trạng đau lưng, phục hồi khả năng vận động, hạn chế nguy cơ tái phát lâu dài. Đặc biệt, phẫu thuật tại vị trí L4/L5 không gây liệt do đốt sống không có tủy.
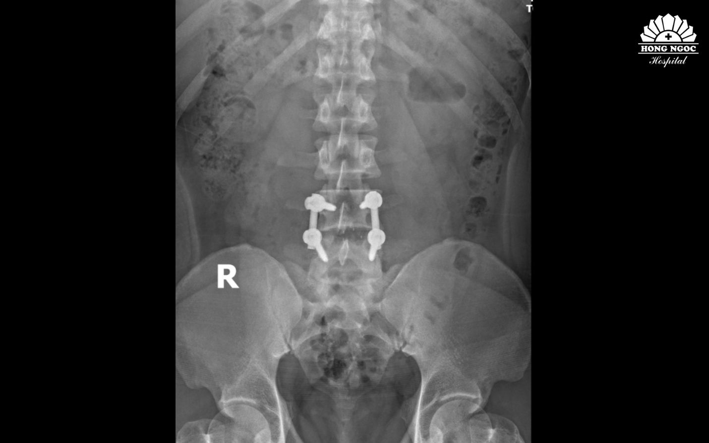
_1.jpg)
Phim chụp sau phẫu thuật thoát vị đĩa đệm, hàn xương và nẹp vít đốt sống L4/L5
Dưới sự hỗ trợ của hệ thống C-arm 3D tích hợp trí tuệ nhân tạo, chỉ sau hơn 60 phút, PGS.TS.BS Hà Kim Trung cùng ê - kíp đã phối hợp nhịp nhàng, loại bỏ toàn bộ khối thoát vị mà không gây ảnh hưởng đến các rễ thần kinh xung quanh.
Sau phẫu thuật, bệnh nhân đã có thể cử động tay chân bình thường. Đi lại nhẹ nhàng sau 1- 3 ngày, tự chủ trong sinh hoạt và xuất viện sau 7 ngày điều trị. Chỉ 1 tháng sau bệnh nhân trở lại công việc, chơi thể thao với tình trạng sức khỏe ổn định và tinh thần thoải mái.
“Mọi người bảo còn trẻ mổ nhỡ bị liệt thì sao? Nhưng quan điểm của em càng trẻ càng nên mổ sớm để nhanh hồi phục, nâng cao chất lượng cuộc sống và tránh biến chứng nặng hơn. Sau mổ 2 ngày em có thể xuống giường đi lại, tình trạng đau lưng trước đó giảm 90%. Chỉ sau 1 tháng em đã quay lại sân Pickleball” - Bệnh nhân Khánh chia sẻ.
Quá trình hồi phục của bệnh nhân sau ca phẫu thuật thoát vị đĩa đệm
Thông qua ca bệnh, PGS. Hà Kim Trung khuyến cáo: Người làm việc văn phòng nên đứng dậy vận động, đi lại nhẹ nhàng khoảng 5 -10 phút sau mỗi giờ làm việc. Đồng thời, cần điều chỉnh tư thế ngồi đúng: lưng thẳng, vai thả lỏng, hai bàn chân đặt vuông góc trên sàn, đầu và cổ giữ thẳng hàng với cột sống, tránh cúi gập hoặc ngửa quá mức. Hạn chế tối đa việc mang vác vật nặng đột ngột hoặc sai tư thế. Đặc biệt, nếu xuất hiện các dấu hiệu như đau vùng thắt lưng lan xuống chân, tê bì hoặc yếu chi, người bệnh cần đến cơ sở y tế có chuyên khoa thần kinh, cột sống để thăm khám và điều trị kịp thời, tránh biến chứng về thần kinh và vận động có thể xảy ra.