“Thai kỳ có quá nhiều biến cố, bao nhiêu vất vả xảy ra. May mắn có sự đồng hành và sát sao từ các bác sĩ tại BV Hồng Ngọc để 3 mẹ con có được ngày hôm nay” - Chị N.P.L - thai phụ vừa trải qua 4 tuần giữ thai đầy thử thách tại BVĐK Hồng Ngọc xúc động kể lại.
Những biến cố thai kỳ ập đến
Chị N.P.L (Hà Nội) có tiền sử mắc đái tháo đường tuýp II. Có mong muốn mang thai nên chị và chồng quyết định thực hiện IVF và may mắn đậu song thai. Do đã được các bác sĩ thăm khám kỹ lưỡng cũng như tư vấn kiến thức đầy đủ nên trong 5 tháng đầu thai kỳ của chị L diễn ra khá suôn sẻ, không gặp nhiều bất lợi.
Đến tuần thứ 24, qua thăm khám, bác sĩ kết luận chị L bị cổ tử cung ngắn nên chỉ định khâu vòng cổ tử cung để bảo đảm an toàn cho thai nhi trong bụng, tránh sảy thai và sinh non. Khoảng tuần thứ 29, trong lần khám thai định kỳ, chị L được thông báo cổ tử cung đã mở, có thể sinh trong 1 - 2 tuần tới.
“Lúc bác sĩ báo sắp sinh khi mới 29 tuần là bủn rủn cả chân tay, không còn suy nghĩ được gì nữa. Ban đầu cũng xác định mình sẽ sinh sớm, khoảng tháng thứ 8 gì đó vì mình cũng nguy cơ cao mà. Nhưng giờ còn chưa hết tháng thứ 7, con thì còn rất nhỏ, nếu mà sinh non như vậy thì sẽ rất thiệt thòi cho các con” Chị L chia sẻ.

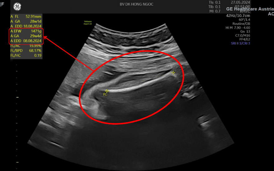
Thai phụ có nguy cơ dọa sảy khi thai mới ở mốc 29 tuần và cân nặng thai mới chỉ 1,4kg
Do trước đó đã từng thăm khám tại BVĐK Hồng Ngọc cùng với bác sĩ Tú nên chị quyết định nhập viện Hồng Ngọc để điều trị giữ thai, với mong muốn giữ được song thai thêm ngày nào hay ngày đó, mong các con đủ cứng cáp để có thể chào đời an toàn.
Ths. BSCKII Đỗ Văn Tú (Trưởng khoa Sản Phụ khoa - BVĐK Hồng Ngọc Yên Ninh) cho biết: “Đây là 1 trường hợp vô cùng đặc biệt. Thứ nhất, thai phụ mang song thai, nguy cơ đẻ non rất cao. Thứ 2, thời điểm phát hiện nguy cơ sinh non ở tuần thứ 29 thì cả 2 thai còn rất nhỏ, siêu âm mỗi bé được 1,4kg. Vì vậy, việc điều trị giữ thai cho thai phụ chắc chắn sẽ gặp nhiều khó khăn”.
Các bác sĩ đồng hành sát sao
Nhận định chị N.P.L là một thai phụ nguy cơ cao, vì vậy, ngay từ đầu thai kỳ, các bác sĩ tại BVĐK Hồng Ngọc Yên Ninh đã quan tâm sát sao, theo dõi thai theo từng tuần để đảm bảo sự an toàn cho cả mẹ và bé.
“Ngay khi tiếp nhận ca bệnh, chúng tôi đã nhanh chóng lên phác đồ điều trị giữ thai tích cực. Phác đồ này được điều chỉnh liên tục theo từng tuần rồi từng ngày, theo từng diễn biến bệnh, phối hợp thuốc bao gồm thuốc cắt cơn gò tử cung, chống nhiễm trùng, kết hợp tiêm trưởng thành phổi cho 2 bé. Đặc biệt, thai phụ được áp dụng chế độ điều dưỡng toàn diện để có tinh thần thoải mái, an tâm điều trị.”, bác sĩ Tú chia sẻ.
.png)
Chị L được các bác sĩ tại BVĐK Hồng Ngọc Yên Ninh đồng hành sát sao
Suốt hơn 4 tuần lưu viện điều trị giữ thai, chị L được thực hiện đo cơn gò và tim thai hằng ngày, nhất là trong tuần cuối của thai kỳ. Thêm vào đó, để kiểm tra sự phát triển của thai nhi, chị L cũng được siêu âm theo từng tuần.
“Ngày nào các bác sĩ cũng vào kiểm tra cho 2 mẹ con. Cả thuốc nội tiết điều trị tiểu đường và thuốc điều trị giữ thai đều được nhắc nhở dùng đúng giờ, đúng loại và xen kẽ nhau để tránh nhờn thuốc. Từ ngày đầu tiên vào viện đến khi sinh xong, bác sĩ Tú và các bác sĩ luôn động viên mình là phải giữ tinh thần lạc quan, có thể đi lại vận động nhẹ nhàng trong viện để thoải mái hơn. Chính vì vậy mà mình như được tiếp thêm sức mạnh, kiên cường hơn trong hành trình giữ 2 con” Chị L nghẹn ngào nói.
Hạnh phúc khi mẹ tròn con vuông
Nhờ được theo dõi chuẩn phác đồ riêng biệt và chăm sóc toàn diện bởi đội ngũ y - bác sĩ tại BVĐK Hồng Ngọc nên trong thời gian lưu viện, mặc dù có nhiều yếu tố nguy cơ cao nhưng tình trạng của chị L được kiểm soát ổn định và không có dấu hiệu đáng lo ngại. Đặc biệt, chị cũng không gặp phải các biến chứng thai kỳ của người mắc tiểu đường như tiền sản giật, rau bong non, 2 em bé phát triển tốt, cân nặng đạt chuẩn.
Vào tuần thứ 32, sau 4 tuần lưu viện điều trị tích cực, chị L có dấu hiệu chuyển dạ. Do đã được chuẩn bị đầy đủ nên thai phụ nhanh chóng được đẩy vào phòng mổ. Khoảng 15 phút sau, 2 em bé chào đời khỏe mạnh với cân nặng lần lượt là 2kg và 2,2kg, khóc to, được thực hiện da kề da với mẹ.
“Ngay khi 2 con chào đời, bác sĩ cho mình ôm 2 bé để da kề da, thông báo tên và cân nặng của 2 con luôn…Khi ôm con, mình chỉ biết khóc vì hạnh phúc vì cả 3 mẹ con đều vượt cạn thành công, không nghĩ là 2 con non tháng mà cứng cáp vậy. May mắn là có các bác sĩ và mọi người trong ekip tại Hồng Ngọc giúp đỡ để 3 mẹ con có được ngày hôm nay” - Chị L xúc động kể lại.
.png)
Chị L hạnh phúc bên 2 con
Hành trình 1 tháng giữ song thai tại BV Hồng Ngọc là quãng thời gian chị L không thể nào quên. Với chị L, bệnh viện Hồng Ngọc không chỉ là nơi mà chị nhận được sự chăm sóc chu đáo từ các y - bác sĩ, mà còn là nơi để chị “gửi trọn niềm tin” - niềm tin về 1 hành trình với cuộc chuyển dạ an toàn.
Đăng ký thai sản trọn gói để được theo dõi thai kỳ và sinh con với sự đồng hành của đội ngũ bác sĩ - chuyên gia giàu kinh nghiệm qua form dưới dây: