Phẫu thuật cấp cứu cứu sống mẹ con sản phụ bị nhau bong non cận kề cửa tử

Phẫu thuật cấp cứu cứu sống mẹ con sản phụ bị nhau bong non cận kề cửa tử

Mới đây, bệnh viện Đa khoa Hồng Ngọc - Phúc Trường Minh đã tiến hành phẫu thuật cấp cứu thành công, cứu sống thai nhi và bảo toàn tử cung cho sản phụ bị nhau bong non thể nặng với biến chứng đông máu nội mạch rải rác. 

Những bất thường tiềm ẩn

Sản phụ V.T.P.A (25 tuổi, Hà Nội), mang thai lần đầu, tuổi thai 38 tuần 2 ngày, đến khoa Sản Phụ khoa, bệnh viện Đa khoa Hồng Ngọc - Phúc Trường Minh khám thai trong tình trạng đau bụng dưới, không ra máu, không ra nước âm đạo.

Trong quá trình khám thai, tử cung của chị A vẫn đóng kín, chưa có dấu hiệu chuyển dạ và nước ối còn nguyên. Theo dõi monitoring cho thấy cơn co tử cung cường tính và tăng trương lực cơ bản - những chỉ số bình thường trong những tuần cuối thai kỳ - có thể là nguyên nhân làm sản phụ bị đau bụng từng cơn.

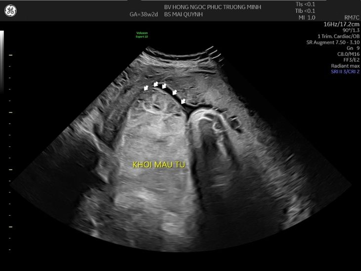
Tuy nhiên, trong quá trình siêu âm, bác sĩ phát hiện bất thường tại đáy tử cung. Theo đó, trên màn hình hiển thị, bên mép trên bánh nhau có cấu trúc lạ hồi âm kém, dạng tương tự máu đông, kích thước khoảng 113 x 97mm. Từ những hình ảnh này, bác sĩ hướng đến nhận định đây là khối máu cục do bong nhau - dấu hiệu cơ bản nhất của nhau bong non thể nặng - một biến chứng nguy hiểm trong sản khoa.

Ngay lập tức, hội chẩn liên chuyên khoa được tiến hành dưới sự chủ trì của giám đốc bệnh viện và quyết định phẫu thuật lấy thai cấp cứu.

Nhau bong non thể nặng Hình ảnh siêu âm phát hiện khối máu tụ tại mép bên phải tử cung

Báo động đỏ toàn viện, phẫu thuật cứu sống mẹ con sản phụ bị nhau bong non ngay lập tức

Ngay khi có chỉ định mổ cấp cứu, báo động đỏ được kích hoạt ở chế độ toàn viện. Sản phụ được đưa ngay vào phòng mổ và khởi mê nhanh. ThS.BSCKII Cao Thị Thúy Hà (khoa Sản Phụ khoa - Bệnh viện Đa khoa Hồng Ngọc) cho biết: "Đây là ca sản khoa cấp cứu tối khẩn cấp. Mỗi phút khẩn trương là mỗi phút vàng để cứu mẹ và con. Nếu chần chừ trong quyết định và chậm trễ trong mổ bắt con thì thai nhi có thể nguy kịch, sản phụ có thể mất tử cung hoặc thậm chí tử vong."

Ca phẫu thuật lấy thai được tiến hành khẩn trương, cấp bách. Nhờ sự phối hợp nhịp nhàng của các bác sĩ khoa Sản, Nhi, Gây mê và Hồi sức tích cực (ICU), sau 5 phút, bé gái chào đời với cân nặng 3.2kg. Tuy nhiên hội chứng nhau bong non tác động làm bé mất phản xạ, có dấu hiệu suy hô hấp nên phải tiến hành cấp cứu sơ sinh. Bằng sự tập trung cao độ, bác sĩ chuyên khoa Nhi và ekip đã nhanh chóng hồi sức thành công cho em bé. Khoảnh khắc nghe tiếng khóc đầu tiên của bé cất lên, cả ekip thở phào nhẹ nhõm.

Cùng lúc, ekip bác sĩ Sản khoa đã tiến hành bóc nhau và kiểm soát tử cung bằng kỹ thuật khâu B - lynch 2 bên động mạch. Khối máu đông được lấy ra với trọng lượng hơn 500gr, tác động đến các vùng quanh mặt tử cung.

Chưa dừng lại ở đó, sau khi lấy nhau, các bác sĩ phát hiện tử cung của sản phụ co hồi kém và có dấu hiệu xung huyết. Đây là triệu chứng điển hình của hội chứng rối loạn đông máu nội mạch rải rác do biến chứng nhau bong non. Tình trạng này có thể làm sản phụ tử vong do mất máu quá nhiều. Ngay lập tức, các bác sĩ đã tiến hành khâu phục hồi tử cung và cầm máu đoạn dưới nhanh chóng bằng mũi rời chỉ vicryl 1.0 để bảo toàn tử cung cho sản phụ.

 width= Ca phẫu thuật được tiến hành khẩn trương, đảm bảo an toàn cho cả mẹ và bé

Sau phẫu thuật, sản phụ được đưa về phòng hồi sức tích cực ICU để tiếp tục theo dõi và truyền máu. Tổng lượng máu đã truyền bao gồm 8 khối hồng cầu, 10 đơn vị huyết tương tươi và 1 cryo (khoảng 7 lít chế phẩm máu). Hiện nay, sản phụ đã khỏe mạnh và gặp con trong niềm hạnh phúc vô bờ. 

Cẩn trọng với các dấu hiệu nhau bong non

Nhau bong non là bệnh lý cấp cứu sản khoa vô cùng hiếm gặp. Trạng thái này xảy ra khi bánh nhau sớm tách ra khỏi tử cung trước khi thai nhi ra đời. Điều này có thể làm tăng nguy cơ suy bào thai do thai nhi không được cung cấp dinh dưỡng, tăng tỷ lệ tử vong sau sinh. Tình trạng nhau bong non có thể xảy ra ở mọi tuổi thai, đặc biệt vào tam cá nguyệt thứ hai (khoảng tuần thai thứ 24 đến 26) và không có dấu hiệu báo trước. Các triệu chứng điển hình mà mẹ cần lưu ý có thể bao gồm:

  • Đau bụng dưới theo từng cơn hoặc đau quặn liên tiếp.
  • Âm đạo chảy máu
  • Chảy dịch bất thường giống nước ối.

Hiện nay, chưa có nghiên cứu nào có thể xác định chính xác nguyên nhân gây ra biến chứng này. Một số suy đoán về các yếu tố làm tăng nguy cơ nhau bong non bao gồm:

  • Sử dụng chất kích thích như đồ uống có cồn, caffeine quá nhiều trong khi mang thai.
  • Thai phụ trên 35 tuổi, có tiền sử bị nhau non trước đó hoặc có các bệnh sử liên quan đến huyết áp, tim mạch và rối loạn đông máu
  • Thai phụ mang đa thai hoặc có các bất thường tại tử cung như u xơ , các polyp có kích thước lớn.

Các biến chứng của nhau bong non vô cùng nguy hiểm, có thể ảnh hưởng trực tiếp đến tính mạng của cả mẹ và bé. Chính vì thế, ngoài việc khám thai định kỳ, mẹ bầu cần lưu ý đến sức khỏe bản thân nhiều hơn. Nếu phát hiện bất thường, hãy liên hệ ngay với bác sĩ sản để được tư vấn nhanh chóng và đến các cơ sở y tế uy tín để được thăm khám cũng như có các biện pháp xử lý kịp thời nhất.

Theo dõi fanpage của Bệnh viện Đa khoa Hồng Ngọc để biết thêm thông tin bổ ích khác:

https://www.facebook.com/BenhvienHongNgoc

Đọc tiếp
Quay lại

Hỏi đáp Bác sĩ

Viết câu hỏi
Khoa Sản - Phụ khoa - Chuyên gia
TTƯT.THS.BSCKI Bùi Xuân Quyền
Bệnh viện Đa khoa Hồng Ngọc - Phúc Trường Minh
Xem thông tin Bác sĩ

Đăng ký tư vấn

Cơ sở chuyên khoa liên quan

Bệnh viện Đa khoa Hồng Ngọc - Phúc Trường Minh
  • Số 8 đường Châu Văn Liêm, Phường Từ Liêm, Thành phố Hà Nội, Việt Nam
  • Hotline: +(84-24) 7300 8866
Đặt lịch ngay
Bệnh viện Đa khoa Hồng Ngọc - Yên Ninh
  • Số 55 Yên Ninh, phường Ba Đình, Hà Nội
  • Hotline: (+84-24) 3927 5568
Đặt lịch ngay
Phòng khám Đa khoa Hồng Ngọc - Keangnam
  • Tầng 10 tòa nhà 70 tầng, tòa nhà Keangnam Hanoi Landmark Tower, phường Yên Hòa, Hà Nội
  • Hotline: (+84-24) 3927 5568
Đặt lịch ngay
Phòng khám Đa khoa Hồng Ngọc - Kosmo Tây Hồ
  • Tầng 1&2 Tòa nhà NoVo chung cư Kosmo, 161 Xuân La, phường Xuân Đỉnh, Hà Nội
  • Hotline: (+84-24) 3927 5568
Đặt lịch ngay