Chụp mạch máu - 3 phương pháp chụp phổ biến nhất hiện nay

Chụp mạch máu - 3 phương pháp chụp phổ biến nhất hiện nay

15-07-2023

Các bệnh lý về mạch máu tiềm ẩn nhiều nguy cơ nguy hiểm, đe dọa sức khỏe và tính mạng người bệnh. Chụp mạch máu là phương pháp giúp phát hiện sớm và chính xác các bệnh về mạch máu ngay cả khi chưa có biểu hiện rõ ràng.

Các bệnh lý mạch máu thường gặp

Toàn bộ mạng lưới mạch máu còn được gọi là hệ tuần hoàn. Bất cứ bệnh lý nào ảnh hưởng đến hệ tuần hoàn đều gọi là bệnh mạch máu, bao gồm các vấn đề về tĩnh mạch, động mạch, mạch máu chứa bạch huyết hay các rối loạn ảnh hưởng đến dòng chảy của máu.

Chụp mạch máu giúp phát hiện các bệnh lý mạch máu. Có một số bệnh lý phổ biến về mạch máu mà nhiều người mắc phải gồm:

Xơ vữa động mạch, bệnh động mạch ngoại biên

Động mạch vành và động mạch ngoại vi có thể chứa các chất béo, cholesterol và nhiều chất khác bám trên thành mạch. Những chất này tích tụ nhiều, tạo thành mảng bám và gây hẹp mạch máu, cản trở dòng chảy của máu.

Dần dần, động mạch bị thu hẹp, các mô của cơ thể không nhận đủ máu nên không được nuôi dưỡng đầy đủ như bình thường, lâu dần sẽ bị chết đi, hoại tử các mô, cơ quan.

 width= Xơ vữa động mạch là bệnh lý mạch máu nguy hiểm

Phình động mạch

Là tình trạng thành mạch máu phình lên, xảy ra chủ yếu ở động mạch chủ và các mạch máu chính đi từ tim ra. Nếu động mạch bị giãn, phình to có thể gây vỡ đột ngột, đe dọa tính mạng nếu không được xử trí kịp thời.

Suy tĩnh mạch, bệnh tĩnh mạch ngoại vi

Tĩnh mạch bị suy có thể lồi lên như những sợi dây dưới da gây đau nhức, sưng tấy… Bệnh lý này thường xảy ra ở nữ giới nhiều hơn nam giới, ở những người béo phì, thừa cân, thường xuyên phải đứng trong thời gian dài.

Hội chứng Raynaud

Khi cảm thấy lạnh hoặc bị kích thích, động mạch nhỏ ở ngón tay, ngón chân có thể co lại hoặc bị chuột rút, làm gián đoạn việc cung cấp máu tại chỗ khiến da trở nên xanh nhạt, trắng hoặc xám. Hiện tượng này chính là hội chứng Raynaud.

Đông máu tĩnh mạch

Trong tĩnh mạch hình thành các cục máu đông cản trở dòng chảy của máu. Những cục máu đông này có thể di chuyển đến phổi gây thuyên tắc phổi rất nguy hiểm.

Rối loạn đông máu

Một số bệnh có thể khiến máu có khả năng hình thành các khối đông. Những bệnh lý này có thể là bệnh bẩm sinh hoặc bệnh mắc phải.

Bệnh Buerger

Bệnh lý này có thể ảnh hưởng đến cả tĩnh mạch và động mạch ở tay và chân. Các mạch máu bị sưng lên và có thể bị tắc nghẽn do khối máu đông cản trở dòng chảy của máu tới ngón tay, bàn tay, bàn chân, ngón chân. Những bộ phận này sẽ bị tổn thương ngay cả khi bạn đang nghỉ ngơi. Thậm chí, nhiều trường hợp nặng phải cắt bỏ ngón tay, ngón chân.

3 phương pháp chụp mạch máu phổ biến nhất hiện nay

Các bệnh lý về mạch máu đều tiềm ẩn nhiều nguy cơ nguy hiểm, thậm chí có thể đe dọa tính mạng người bệnh. Do đó, phát hiện và điều trị sớm khi bệnh ở giai đoạn nhẹ là cách tốt nhất để bảo vệ sức khỏe.

Chụp mạch máu là kỹ thuật giúp phát hiện sớm và chính xác các bất thường mạch máu. Hiện nay, có 3 phương pháp chụp mạch máu thường được áp dụng là:

 width= Chụp cộng hưởng từ mạch máu

Chụp mạch máu bằng cộng hưởng từ

Chụp cộng hưởng từ là kỹ thuật chẩn đoán hình ảnh hiện đại, có độ tương phản cao, chi tiết giải phẫu tốt, giúp phát hiện chính xác các tổn thương hình thái, cấu trúc của mạch máu. Ngoài ra, khả năng tái tạo hình ảnh 3D tốt và không có tác dụng phụ nên áp dụng được trong nhiều trường hợp.

Chụp cộng hưởng từ (MRI) động mạch toàn thân giúp phát hiện:

  • Các bất thường như phình mạch, bóc tách động mạch

  • Phát hiện xơ vữa động mạch, nguyên nhân chính gây đột quỵ

  • Đánh giá mức độ hẹp của mạch máu, hỗ trợ cho việc điều trị can thiệp mạch vành

  • Xác định được các khối dị dạng mạch máu não

  • Chẩn đoán các bất thường mạch máu bẩm sinh ở trẻ nhỏ

  • Tầm soát các bệnh lý mạch máu toàn thân

  • Phát hiện bệnh lý mạch máu thận, quan sát dòng chảy của mạch máu thận để chuẩn bị ghép thận, đặt stent mạch thận

  • Chẩn đoán các tổn thương động mạch sau chấn thương

  • Thay thế chụp cắt lớp vi tính trong trường hợp chống chỉ định thuốc cản quang có nguồn gốc từ iot

  • Hỗ trợ kế hoạch điều trị mạch máu chi dưới do xơ vữa động mạch.

Ưu điểm của phương pháp chụp mạch máu bằng chụp cộng hưởng từ là không xâm lấn, không nhiễm xạ, khảo sát được nhiều mặt cắt, độ tương phản mô mềm cao và thời gian chụp ngắn.

Chụp mạch máu bằng phương pháp chụp cắt lớp vi tính

Chụp mạch máu bằng phương pháp chụp cắt lớp vi tính là một phương pháp hiện đại sử dụng tia X để chẩn đoán các bệnh lý về mạch máu, mạch vành hiệu quả.

Việc chụp cắt lớp sẽ tạo ra hình ảnh các phần cắt ngang hay lát cắt của cơ thể. Trước khi tiêm, người bệnh cần tiêm chất cản quang vào tĩnh mạch, thường là ở chân để có thể nhìn thấy mạch máu và cách dòng máu bên trong rõ ràng hơn.

Ngoài ra, việc tiêm chất cản quang vào tĩnh mạch cũng sẽ ít xâm lấn hơn việc tiêm chất cản quang vào động mạch nên phương pháp này có nhiều ưu điểm hơn chụp mạch máu truyền thống.

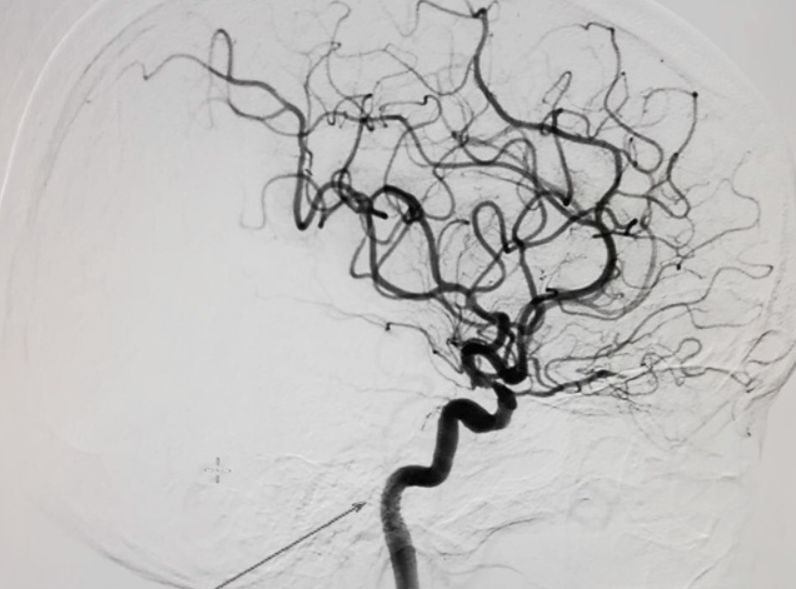
Chụp mạch máu số hóa xóa nền (DSA)

Đây là hệ thống chụp hình mạch máu thế hệ mới bằng tia X, với mục đích nghiên cứu máu trong cơ thể và để nhìn thấy rõ hơn các thương tổn cũng như những bệnh lý mạch máu trước khi có chỉ định can thiệp.

 width= Hình ảnh chụp mạch máu số hóa xóa nền

Kỹ thuật này là sự kết hợp giữa việc chụp X-quang với xử lý số sử dụng thuật toán xóa nền trên 2 hình ảnh thu nhận được trước và sau tiêm chất cản quang vào mạch máu cần chụp. Sau đó, để làm rõ hệ thống mạch máu, máy tình sẽ tiến hành xòa mờ ảnh nền đi.

Chụp mạch máu số hóa xóa nền được sử dụng trong việc chẩn đoán và can thiệp điều trị: 

  • Đánh giá độ dị thường của động mạch chủ, động mạch cảnh, động mạch chi, động mạch thận và các động mạch ngoại biên

  • Thông tim, nong hẹp van động mạch, đóng lỗ thông tim…

  • Đặt lưới lọc tĩnh mạch chủ, lấy dị vật trong hệ tuần hoàn, đặt máy tạo nhịp, siêu âm trong lồng mạch và buồng tim…

Nhớ có chụp mạch máu bằng số hóa xóa nền, các bác sĩ phát hiện sớm bất thường của dòng máu. Từ đó, chẩn đoán và điều trị chính xác các bệnh lý nghiêm trọng trong lĩnh vực thần kinh và xác định chính xác vị trí tổn thương bên trong cơ thể, kể cả những vị trí sâu, khó phát hiện.

Chụp mạch máu ở đâu uy tín?

Chụp mạch máu là bước vô cùng quan trọng để giúp chẩn đoán chính xác các bệnh lý về mạch máu cũng như hỗ trợ việc điều trị bệnh đạt hiệu quả tối đa. Do đó, cần tìm địa chỉ thực hiện chụp mạch máu uy tín để yên tâm hơn về kết quả nhận được.

Chuyên khoa Tim mạch BVĐK Hồng Ngọc tự hào là địa chỉ thăm khám và điều trị các bệnh lý về mạch máu, tim mạch uy tín, được đông đảo khách hàng đánh giá cao. Thăm khám tại đây, khách hàng sẽ yên tâm về đội ngũ bác sĩ chuyên môn cao, giàu kinh nghiệm và được thực hiện chụp mạch máu bằng hệ thống máy móc tân tiến, nhập khẩu đồng bộ từ nước ngoài giúp kết quả chụp chính xác, hạn chế tối đa sai sót.

Sau chụp mạch máu, nếu có bất thường, bác sĩ sẽ chỉ định phương pháp điều trị phù hợp để mang lại hiệu quả cao nhất cho người bệnh.

Đăng ký nhận tư vấn và thăm khám với chuyên gia Tim mạch BVĐK Hồng Ngọc tại đây:

Chuyên khoa Tim mạch – BVĐK Hồng Ngọc: Địa chỉ uy tín trong thăm khám và điều trị các bệnh lý Tim mạch:

Lưu ý: Những thông tin cung cấp trong bài viết của Bệnh viện Đa khoa Hồng Ngọc mang tính chất tham khảo không thay thế cho việc chẩn đoán hoặc điều trị y khoa. Người bệnh không được tự ý mua thuốc để điều trị. Để biết chính xác tình trạng bệnh lý người bệnh cần tới các bệnh viện để được bác sĩ thăm khám trực tiếp chẩn đoán và tư vấn phác đồ điều trị hợp lý.

Theo dõi fanpage của Bệnh viện Đa khoa Hồng Ngọc để biết thêm thông tin bổ ích khác.

Đọc tiếp
Quay lại
Hỏi đáp Bác sĩ
Viết câu hỏi

Đăng ký tư vấn

Cơ sở chuyên khoa liên quan
Bệnh viện Đa khoa Hồng Ngọc - Phúc Trường Minh
  • Số 8 đường Châu Văn Liêm, Phường Từ Liêm, Thành phố Hà Nội, Việt Nam
  • Hotline: +(84-24) 7300 8866
Đặt lịch ngay
Bệnh viện Đa khoa Hồng Ngọc - Yên Ninh
  • Số 55 Yên Ninh, phường Ba Đình, Hà Nội
  • Hotline: (+84-24) 3927 5568
Đặt lịch ngay
Phòng khám Đa khoa Hồng Ngọc - Keangnam
  • Tầng 10 tòa nhà 70 tầng, tòa nhà Keangnam Hanoi Landmark Tower, phường Yên Hòa, Hà Nội
  • Hotline: (+84-24) 3927 5568
Đặt lịch ngay
Phòng khám Đa khoa Hồng Ngọc - Kosmo Tây Hồ
  • Tầng 1&2 Tòa nhà NoVo chung cư Kosmo, 161 Xuân La, phường Xuân Đỉnh, Hà Nội
  • Hotline: (+84-24) 3927 5568
Đặt lịch ngay