Cấp cứu giành giật sự sống cho bệnh nhân suy hô hấp cấp tiến triển (ards)

Cấp cứu giành giật sự sống cho bệnh nhân suy hô hấp cấp tiến triển (ards)

11-01-2023

Chỉ có các triệu chứng ban đầu như sốt, ho, khó thở… bệnh nhân P. T.H.G (44 tuổi – Hà Nội) vẫn chưa hết bàng hoàng khi vừa trải qua “cuộc sinh tử” giành lại sự sống trước hội chứng hôi hấp cấp tiến triển (ARDS) nếu như không được cấp cứu kịp thời.

Bệnh chuyển biến nhanh khiến bệnh nhân trở tay không kịp

Bệnh nhân G. chia sẻ, trước đó một vài ngày, chị thấy mệt mỏi, sốt nhẹ 37.8 độ C, ho nhưng vẫn sinh hoạt bình thường nên không đi khám. Vì chủ quan nghĩ chỉ là bệnh thông thường nên chị G. gọi người truyền dịch tại nhà nhưng không rõ số lượng và chủng loại dịch truyền. Tuy nhiên, sau truyền dịch, các triệu chứng không thuyên giảm, cơn khó thở tăng lên, cơn ho nhiều hơn nên chị vội vàng tới viện thăm khám.

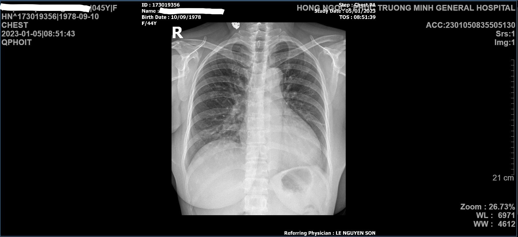
Chụp Xquang phổi Kết quả chụp Xquang phổi thời điểm nhập viện cho thấy bệnh nhân bị mờ toàn bộ phổi trái, đáy phổi phải

Qua khai thác bệnh sử, được biết bệnh nhân có tiền sử cao huyết áp nhưng không điều trị. Tại thời điểm thăm khám, huyết áp của bệnh nhân G. đo được là 220/110mg, da môi tím, khó thở nhiều, nói ngắt quãng, chỉ số SpO2 là 80%. “Với các triệu chứng trên, chúng tôi đưa ra chẩn đoán bệnh nhân bị suy hô hấp cấp tiến triển (ARDS) do viêm phổi. Đây là hội chứng vô cùng nguy hiểm và chuyển biến xấu rất nhanh, có thể ảnh hưởng đến tính mạng người bệnh nếu không được xử trí cấp cứu kịp thời”, BS. Trần Tuấn Lực – Khoa Hồi sức tích cực ICU, Bệnh viện Hồng Ngọc, người trực tiếp thăm khám và cấp cứu cho bênh nhân, cho biết.

Nhằm xác định chính xác tình trạng bệnh, bệnh nhân H.G được chỉ định chụp Xquang tim phổi tại giường và thực hiện đo điện tim. Kết quả chụp Xquang cho thấy bệnh nhân bị mờ toàn bộ phổi trái, đáy phổi phải, chức năng hô hấp của phổi bị suy giảm nghiêm trọng.

Căng thẳng cấp cứu giành giật sự sống cho bệnh nhân

Để ngăn chặn tối đa chuyển biến xấu nhất có thể xảy ra, ngay lập tức bệnh nhân được áp dụng các phương pháp cấp cứu hiện đại như: đặt ống nội khí quản, thở máy theo chiến lược bảo vệ phổi ARDSnet. Đồng thời, bệnh nhân được đặt catheter tĩnh mạch trung tâm, đặt sonde dạ dày, bàng quang.

Xác định được tính chất cấp bách của ca bệnh, toàn bộ ekip cấp cứu do BS Tuấn Lực làm trưởng ca đã làm việc với sự tập trung cao độ, nhanh chóng và chính xác trong từng thao tác, giúp bệnh nhân vượt qua được “cửa sinh tử” của hội chứng suy hô hấp cấp.

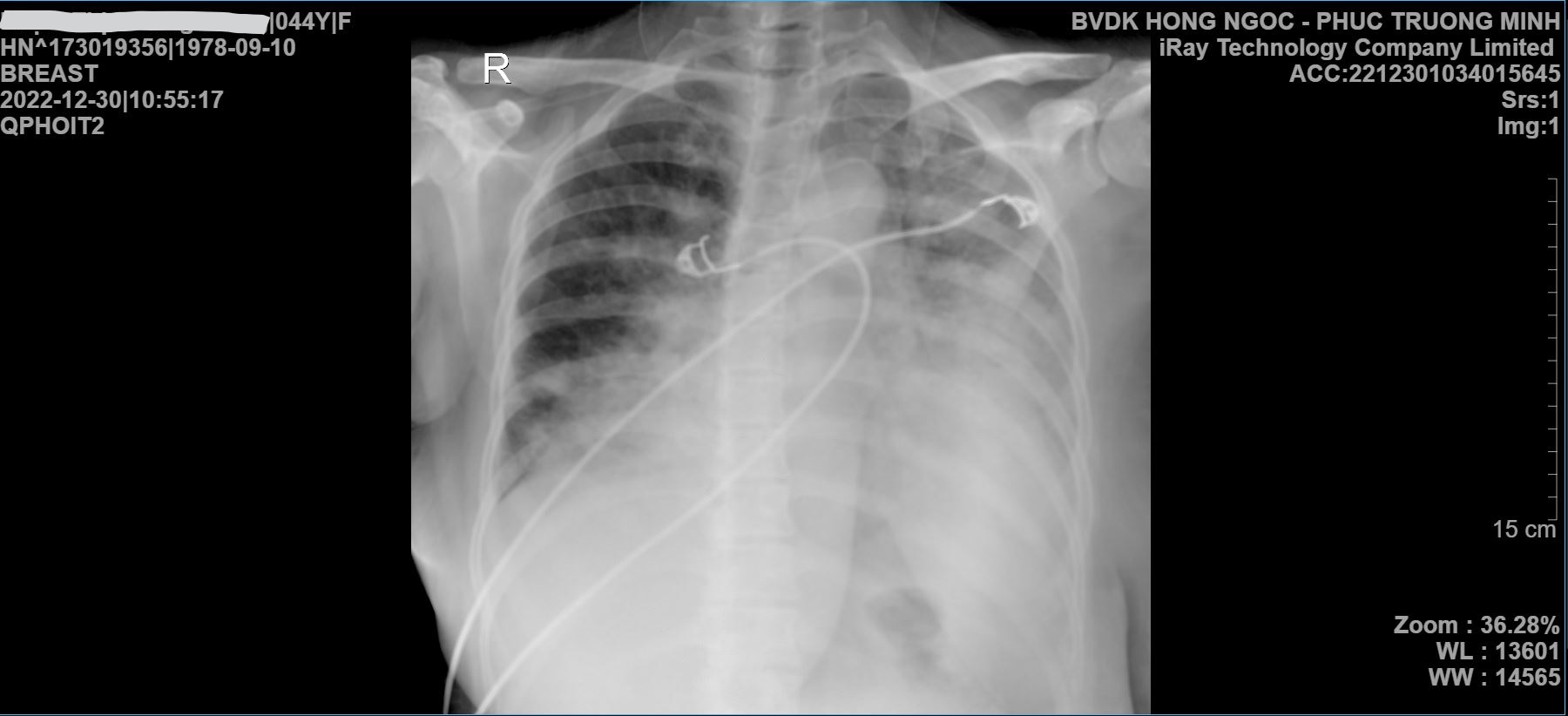
Chụp Xquang phổi Kết quả chụp Xquang phổi của bệnh nhân sau 5 ngày nhập viện điều trị, phổi đã sáng hơn

Sau đặt nội ống khí quản, thở máy, bệnh nhân luôn được chăm sóc và theo dõi sát sao từng chỉ số. Và chỉ sau 3 ngày áp dụng phác đồ điều trị tích cực bệnh nhân đã cai được máy thở, đi lại bình thường, phổi hồi phục và tiên lượng tốt. Sau 7 ngày lưu viện, sức khỏe của bệnh nhân tiến triển tốt, giảm ho, ăn uống ngon miệng.

“Đến bây giờ tôi vẫn chưa hết bàng hoàng vì không nghĩ rằng bệnh lại chuyển biến xấu nhanh đến như vậy. Cũng may là được các bác sĩ cấp cứu kịp thời. Tôi xin gửi lời cảm ơn các y bác sĩ đã cứu chữa và chăm sóc tôi chu đáo trong suốt thời gian lưu viện vừa qua. Có lẽ từ bây giờ tôi không dám chủ quan với sức khỏe của bản thân nữa. Có bất thường về sức khỏe là phải đến bệnh viện thăm khám ngay”, chị G. chia sẻ.

Bệnh nhân điều trị tích cực tại Bệnh viện Hồng Ngọc Sau 3 ngày điều trị tích cực, bệnh nhân đã cai thở máy và có thể sinh hoạt bình thường

Không được chủ quan với hội chứng suy hô hấp cấp (ARDS)

Theo BS. Bùi Thanh Tiến – Trưởng khoa Hồi sức tích cực ICU, Bệnh viện Hồng Ngọc, suy hô hấp cấp tiến triển là hội chứng vô cùng nguy hiểm, gây tổn thương phổi nặng và tiến triển rất nhanh. Hội chứng này thường xuất hiện trong khoảng 4 – 48 giờ sau một nguyên nhân gây suy hô hấp cấp tiến triển tại phổi hoặc toàn thân như viêm phổi nặng, trào ngược dạ dày, chấn thương lồng ngực nặng, viêm tụy cấp, sốc nhiễm khuẩn… ARDS khiến lượng oxy trong máu sụt giảm nghiêm trọng, gây suy đa cơ quan dẫn tới tử vong nếu bệnh nhân không được cấp cứu kịp thời.

Do triệu chứng ban đầu của hội chứng suy hô hấp cấp tiến triển không đặc hiệu, dễ nhầm lẫn với các bệnh lý hô hấp khác nên bác sĩ Tiến đưa ra khuyến cáo: “Mọi người không được chủ quan, tự điều trị tại nhà mà khi xuất hiện các biểu hiện như: sốt, ho, đau ngực, khó thở, môi và đầu chi thâm tím, thở nhanh, nhịp tim nhanh, vã mồ hôi… cần tới bệnh viện ngay lập tức để được chẩn đoán và cấp cứu kịp thời.

Đọc tiếp
Quay lại
Hỏi đáp Bác sĩ
Viết câu hỏi
Cơ sở chuyên khoa liên quan
Bệnh viện Đa khoa Hồng Ngọc - Phúc Trường Minh
  • Số 8 đường Châu Văn Liêm, Phường Từ Liêm, Thành phố Hà Nội, Việt Nam
  • Hotline: +(84-24) 7300 8866
Đặt lịch ngay
Bệnh viện Đa khoa Hồng Ngọc - Yên Ninh
  • Số 55 Yên Ninh, phường Ba Đình, Hà Nội
  • Hotline: (+84-24) 3927 5568
Đặt lịch ngay
Phòng khám Đa khoa Hồng Ngọc - Keangnam
  • Tầng 10 tòa nhà 70 tầng, tòa nhà Keangnam Hanoi Landmark Tower, phường Yên Hòa, Hà Nội
  • Hotline: (+84-24) 3927 5568
Đặt lịch ngay
Phòng khám Đa khoa Hồng Ngọc - Kosmo Tây Hồ
  • Tầng 1&2 Tòa nhà NoVo chung cư Kosmo, 161 Xuân La, phường Xuân Đỉnh, Hà Nội
  • Hotline: (+84-24) 3927 5568
Đặt lịch ngay