Sau hơn 4 năm sống chung với tình trạng tăng huyết áp kháng trị không rõ nguyên nhân, bệnh nhân Isaieva Nelli người Ukraina đã được điều trị thành công tại Bệnh viện Đa khoa Hồng Ngọc nhờ quá trình chẩn đoán chuyên sâu và can thiệp đúng hướng. Trường hợp này không chỉ cho thấy tầm quan trọng của việc tìm kiếm căn nguyên nội tiết ẩn sau các biểu hiện kéo dài, mà còn mở ra cơ hội điều trị triệt để cho những bệnh nhân tăng huyết áp khó kiểm soát.
38 tuổi đã tăng huyết áp kháng trị kèm loạt rối loạn nội tiết phức tạp
Thăm khám tại BVĐK Hồng Ngọc trong tình trạng đau bắp chân hai bên, đôi khi yếu chân, di chuyển khó khăn dù không có chấn thương, bệnh nhân Isaieva Nelli (38 tuổi, quốc tịch Ukraina) được phát hiện hạ kali máu mức độ nghiêm trọng. Kết quả xét nghiệm cho thấy kali máu chỉ khoảng 2 mmol/L, thấp hơn nhiều so với ngưỡng bình thường, tiềm ẩn nguy cơ rối loạn nhịp tim và tổn thương cơ.
Đáng chú ý, người bệnh có tiền sử tăng huyết áp từ hơn 4 năm, phải phối hợp ba nhóm thuốc liều tối đa từng loại kết hợp mới kiểm soát được huyết áp. Tuy nhiên, các chỉ số vẫn dao động, kèm theo nhiều triệu chứng như đau đầu, mất ngủ, ảnh hưởng đến sinh hoạt hằng ngày.
“Bệnh nhân cho biết đang sử dụng đồng thời ba thuốc hạ áp gồm Amlodipine, Perindopril và Indapamide. Chúng tôi đánh giá đây là một phác đồ điều trị khá mạnh cho một bệnh nhân trẻ tuổi. Điều này gợi ý bệnh nhân có thể thuộc nhóm tăng huyết áp kháng trị và cần được đánh giá sâu hơn để loại trừ các nguyên nhân tăng huyết áp thứ phát.” - BSCKI Đoàn Thị Hồng Liên, Khoa Nội tiết, BVĐK Hồng Ngọc - Bác sĩ trực tiếp điều trị cho bệnh nhân cho biết.
“Tôi đã đi khám ở Đức và Ukraina nhưng không tìm ra nguyên nhân. Mỗi lần ngồi khoảng 20 phút, tôi phải mất thêm gần 10 phút mới có thể đứng dậy và đi lại bình thường. Cảm giác đau nhức, mệt mỏi giống như vừa tập luyện cường độ cao”, bệnh nhân Nelli chia sẻ về những bất tiện mà căn bệnh mang lại.
Lần dấu bất thường, tìm ra nguyên nhân ẩn sau bệnh kéo dài
Theo BSCKI. Đoàn Thị Hồng Liên, từ hai dấu hiệu nổi bật là hạ kali máu nặng và tăng huyết áp khó kiểm soát, bệnh nhân được định hướng tiếp cận theo hướng tìm nguyên nhân nội tiết. Các xét nghiệm chuyên sâu được thực hiện, trong đó ghi nhận nồng độ aldosterone tăng cao (11,4 ng/mL) trong khi renin giảm sâu (dưới 0,5 µIU/mL), làm tăng tỷ lệ aldosterone/renin (ARR) – một chỉ số có giá trị gợi ý mạnh tình trạng Cường aldosterone nguyên phát.
Song song với đó, để tránh bỏ sót các rối loạn nội tiết khác có biểu hiện tương tự, bệnh nhân được thực hiện nghiệm pháp ức chế dexamethasone qua đêm nhằm tầm soát Hội chứng Cushing dưới lâm sàng. Kết quả cortisol được ức chế tốt, giúp loại trừ nguyên nhân do tăng cortisol nội sinh, qua đó củng cố thêm định hướng chẩn đoán.
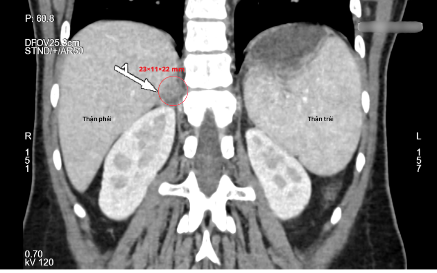
Tiếp theo, bệnh nhân được chụp CT ổ bụng để xác định vị trí tổn thương. Hình ảnh cho thấy một khối u kích thước khoảng 23 × 11 × 22 mm tại tuyến thượng thận phải, có đặc điểm điển hình của u tuyến lành tính. Từ toàn bộ các kết quả trên, bác sĩ chẩn đoán bệnh nhân mắc Hội chứng Conn do u tuyến thượng thận phải.
Hình ảnh CT cho thấy một khối u kích thước khoảng 23 × 11 × 22 mm tại tuyến thượng thận phải
“Đây là một rối loạn nội tiết trong đó tuyến thượng thận sản xuất quá mức hormone aldosterone mà không phụ thuộc cơ chế điều hòa sinh lý. Tình trạng này làm tăng giữ muối và nước, đồng thời tăng thải kali qua thận, từ đó gây tăng huyết áp kéo dài, khó kiểm soát và hạ kali máu. Nếu không được phát hiện và điều trị kịp thời, người bệnh có nguy cơ đối mặt với các biến chứng tim mạch nghiêm trọng như suy tim, suy thận hoặc đột quỵ.” - BSCKI Đoàn Thị Hồng Liên cho biết.
“Đây là lần đầu tiên tôi được làm những xét nghiệm này. Tôi thấy các bác sĩ có hướng tiếp cận rất đúng ngay từ những chỉ định đầu tiên, và rất kiên trì để tìm ra tận gốc nguyên nhân nên hoàn toàn tin tưởng và tuân theo phác đồ”. - Bệnh Nhân Nelli chia sẻ.
Bước ngoặt điều trị thành công, chấm dứt 4 năm cao huyết áp kháng trị tại BVĐK Hồng Ngọc
Ngay sau khi xác định được nguyên nhân, bệnh nhân được hội chẩn toàn viện với sự tham gia của các chuyên khoa liên quan. Trên cơ sở đánh giá toàn diện, các bác sĩ thống nhất chỉ định phẫu thuật nội soi cắt toàn bộ tuyến thượng thận phải nhằm loại bỏ nguồn gây rối loạn nội tiết.
Ca phẫu thuật do ThS.BS Cù Trung Kiên (Khoa Ngoại) thực hiện bằng phương pháp nội soi. Toàn bộ tuyến thượng thận phải được cắt bỏ qua 3 đường tiếp cận nhỏ, mỗi đường dưới 1 cm, giúp hạn chế xâm lấn, giảm đau sau mổ và rút ngắn thời gian hồi phục.
“Thứ Ba tôi mổ, chiều thứ Tư đã có thể đứng dậy đi lại với sự hỗ trợ của điều dưỡng. Dù còn hơi mệt nhưng tôi thấy ổn hơn rất nhiều, có thể ăn uống bình thường, không còn đau cơ như trước và đêm qua tôi đã ngủ ngon nhất” - Bệnh nhân chia sẻ tiến trình hồi phục tích cực sau ba ngày phẫu thuật.
Bệnh nhân hồi phục nhanh chóng sau 1 ngày phẫu thuật
Bên cạnh đó, theo BSCKI Đoàn Thị Hồng Liên, các chỉ số cận lâm sàng của bệnh nhân cũng cải thiện rõ rệt. Kali máu tăng từ 2.04 mmol/L lên 3.77 mmol/L mà không cần bù thêm Kali hay thuốc kháng aldosterone, men cơ trở về ngưỡng bình thường, tình trạng đau cơ và yếu cơ không còn. Theo dõi Holter huyết áp 24 giờ cho thấy huyết áp được kiểm soát tốt hơn, giảm các thời điểm tăng cao so với trước can thiệp.
Đáng chú ý, từ việc phải sử dụng phối hợp 3 loại thuốc hạ áp, sau phẫu thuật bệnh nhân chỉ cần duy trì 1 loại thuốc với huyết áp ổn định. Điều này cho thấy hiệu quả rõ rệt của việc điều trị đúng nguyên nhân.
Tại lần tái khám sau 1 tuần, các chỉ số nội tiết như aldosterone và renin duy trì trong giới hạn ổn định, kali máu bình thường, tình trạng lâm sàng cải thiện tốt.
BSCKI. Đoàn Thị Hồng Liên nhận định, đây là trường hợp điển hình của tăng huyết áp kéo dài nhưng chưa được xác định đúng nguyên nhân trong thời gian dài, dẫn đến việc phải sử dụng nhiều thuốc mà hiệu quả kiểm soát vẫn hạn chế. Việc phát hiện kịp thời bất thường về điện giải đã giúp định hướng đúng hướng chẩn đoán, từ đó xử trí triệt để căn nguyên bệnh.
Bác sĩ nhấn mạnh, với những bệnh nhân tăng huyết áp, đặc biệt là trường hợp khó kiểm soát hoặc phải phối hợp nhiều thuốc, việc tầm soát nguyên nhân thứ phát có ý nghĩa quan trọng. Nếu được chẩn đoán đúng và can thiệp kịp thời, người bệnh không chỉ cải thiện triệu chứng mà còn giảm đáng kể nguy cơ biến chứng tim mạch về lâu dài.
Sau hơn 4 năm sống chung với tình trạng tăng huyết áp kháng trị không rõ nguyên nhân, bệnh nhân Isaieva Nelli người Ukraina đã được điều trị thành công tại Bệnh viện Đa khoa Hồng Ngọc nhờ quá trình chẩn đoán chuyên sâu và can thiệp đúng hướng. Trường hợp này không chỉ cho thấy tầm quan trọng của việc tìm kiếm căn nguyên nội tiết ẩn sau các biểu hiện kéo dài, mà còn mở ra cơ hội điều trị triệt để cho những bệnh nhân tăng huyết áp khó kiểm soát.
38 tuổi đã tăng huyết áp kháng trị kèm loạt rối loạn nội tiết phức tạp
Thăm khám tại BVĐK Hồng Ngọc trong tình trạng đau bắp chân hai bên, đôi khi yếu chân, di chuyển khó khăn dù không có chấn thương, bệnh nhân Isaieva Nelli (38 tuổi, quốc tịch Ukraina) được phát hiện hạ kali máu mức độ nghiêm trọng. Kết quả xét nghiệm cho thấy kali máu chỉ khoảng 2 mmol/L, thấp hơn nhiều so với ngưỡng bình thường, tiềm ẩn nguy cơ rối loạn nhịp tim và tổn thương cơ.
Đáng chú ý, người bệnh có tiền sử tăng huyết áp từ hơn 4 năm, phải phối hợp ba nhóm thuốc liều tối đa từng loại kết hợp mới kiểm soát được huyết áp. Tuy nhiên, các chỉ số vẫn dao động, kèm theo nhiều triệu chứng như đau đầu, mất ngủ, ảnh hưởng đến sinh hoạt hằng ngày.
“Bệnh nhân cho biết đang sử dụng đồng thời ba thuốc hạ áp gồm Amlodipine, Perindopril và Indapamide. Chúng tôi đánh giá đây là một phác đồ điều trị khá mạnh cho một bệnh nhân trẻ tuổi. Điều này gợi ý bệnh nhân có thể thuộc nhóm tăng huyết áp kháng trị và cần được đánh giá sâu hơn để loại trừ các nguyên nhân tăng huyết áp thứ phát.” - BSCKI Đoàn Thị Hồng Liên, Khoa Nội tiết, BVĐK Hồng Ngọc - Bác sĩ trực tiếp điều trị cho bệnh nhân cho biết.
“Tôi đã đi khám ở Đức và Ukraina nhưng không tìm ra nguyên nhân. Mỗi lần ngồi khoảng 20 phút, tôi phải mất thêm gần 10 phút mới có thể đứng dậy và đi lại bình thường. Cảm giác đau nhức, mệt mỏi giống như vừa tập luyện cường độ cao”, bệnh nhân Nelli chia sẻ về những bất tiện mà căn bệnh mang lại.
Lần dấu bất thường, tìm ra nguyên nhân ẩn sau bệnh kéo dài
Theo BSCKI. Đoàn Thị Hồng Liên, từ hai dấu hiệu nổi bật là hạ kali máu nặng và tăng huyết áp khó kiểm soát, bệnh nhân được định hướng tiếp cận theo hướng tìm nguyên nhân nội tiết. Các xét nghiệm chuyên sâu được thực hiện, trong đó ghi nhận nồng độ aldosterone tăng cao (11,4 ng/mL) trong khi renin giảm sâu (dưới 0,5 µIU/mL), làm tăng tỷ lệ aldosterone/renin (ARR) – một chỉ số có giá trị gợi ý mạnh tình trạng Cường aldosterone nguyên phát.
Song song với đó, để tránh bỏ sót các rối loạn nội tiết khác có biểu hiện tương tự, bệnh nhân được thực hiện nghiệm pháp ức chế dexamethasone qua đêm nhằm tầm soát Hội chứng Cushing dưới lâm sàng. Kết quả cortisol được ức chế tốt, giúp loại trừ nguyên nhân do tăng cortisol nội sinh, qua đó củng cố thêm định hướng chẩn đoán.
Tiếp theo, bệnh nhân được chụp CT ổ bụng để xác định vị trí tổn thương. Hình ảnh cho thấy một khối u kích thước khoảng 23 × 11 × 22 mm tại tuyến thượng thận phải, có đặc điểm điển hình của u tuyến lành tính. Từ toàn bộ các kết quả trên, bác sĩ chẩn đoán bệnh nhân mắc Hội chứng Conn do u tuyến thượng thận phải.
Hình ảnh CT cho thấy một khối u kích thước khoảng 23 × 11 × 22 mm tại tuyến thượng thận phải
“Đây là một rối loạn nội tiết trong đó tuyến thượng thận sản xuất quá mức hormone aldosterone mà không phụ thuộc cơ chế điều hòa sinh lý. Tình trạng này làm tăng giữ muối và nước, đồng thời tăng thải kali qua thận, từ đó gây tăng huyết áp kéo dài, khó kiểm soát và hạ kali máu. Nếu không được phát hiện và điều trị kịp thời, người bệnh có nguy cơ đối mặt với các biến chứng tim mạch nghiêm trọng như suy tim, suy thận hoặc đột quỵ.” - BSCKI Đoàn Thị Hồng Liên cho biết.
“Đây là lần đầu tiên tôi được làm những xét nghiệm này. Tôi thấy các bác sĩ có hướng tiếp cận rất đúng ngay từ những chỉ định đầu tiên, và rất kiên trì để tìm ra tận gốc nguyên nhân nên hoàn toàn tin tưởng và tuân theo phác đồ”. - Bệnh Nhân Nelli chia sẻ.
Bước ngoặt điều trị thành công, chấm dứt 4 năm cao huyết áp kháng trị tại BVĐK Hồng Ngọc
Ngay sau khi xác định được nguyên nhân, bệnh nhân được hội chẩn toàn viện với sự tham gia của các chuyên khoa liên quan. Trên cơ sở đánh giá toàn diện, các bác sĩ thống nhất chỉ định phẫu thuật nội soi cắt toàn bộ tuyến thượng thận phải nhằm loại bỏ nguồn gây rối loạn nội tiết.
Ca phẫu thuật do ThS.BS Cù Trung Kiên (Khoa Ngoại) thực hiện bằng phương pháp nội soi. Toàn bộ tuyến thượng thận phải được cắt bỏ qua 3 đường tiếp cận nhỏ, mỗi đường dưới 1 cm, giúp hạn chế xâm lấn, giảm đau sau mổ và rút ngắn thời gian hồi phục.
“Thứ Ba tôi mổ, chiều thứ Tư đã có thể đứng dậy đi lại với sự hỗ trợ của điều dưỡng. Dù còn hơi mệt nhưng tôi thấy ổn hơn rất nhiều, có thể ăn uống bình thường, không còn đau cơ như trước và đêm qua tôi đã ngủ ngon nhất” - Bệnh nhân chia sẻ tiến trình hồi phục tích cực sau ba ngày phẫu thuật.
Bệnh nhân hồi phục nhanh chóng sau 1 ngày phẫu thuật
Bên cạnh đó, theo BSCKI Đoàn Thị Hồng Liên, các chỉ số cận lâm sàng của bệnh nhân cũng cải thiện rõ rệt. Kali máu tăng từ 2.04 mmol/L lên 3.77 mmol/L mà không cần bù thêm Kali hay thuốc kháng aldosterone, men cơ trở về ngưỡng bình thường, tình trạng đau cơ và yếu cơ không còn. Theo dõi Holter huyết áp 24 giờ cho thấy huyết áp được kiểm soát tốt hơn, giảm các thời điểm tăng cao so với trước can thiệp.
Đáng chú ý, từ việc phải sử dụng phối hợp 3 loại thuốc hạ áp, sau phẫu thuật bệnh nhân chỉ cần duy trì 1 loại thuốc với huyết áp ổn định. Điều này cho thấy hiệu quả rõ rệt của việc điều trị đúng nguyên nhân.
Tại lần tái khám sau 1 tuần, các chỉ số nội tiết như aldosterone và renin duy trì trong giới hạn ổn định, kali máu bình thường, tình trạng lâm sàng cải thiện tốt.
BSCKI. Đoàn Thị Hồng Liên nhận định, đây là trường hợp điển hình của tăng huyết áp kéo dài nhưng chưa được xác định đúng nguyên nhân trong thời gian dài, dẫn đến việc phải sử dụng nhiều thuốc mà hiệu quả kiểm soát vẫn hạn chế. Việc phát hiện kịp thời bất thường về điện giải đã giúp định hướng đúng hướng chẩn đoán, từ đó xử trí triệt để căn nguyên bệnh.
Bác sĩ nhấn mạnh, với những bệnh nhân tăng huyết áp, đặc biệt là trường hợp khó kiểm soát hoặc phải phối hợp nhiều thuốc, việc tầm soát nguyên nhân thứ phát có ý nghĩa quan trọng. Nếu được chẩn đoán đúng và can thiệp kịp thời, người bệnh không chỉ cải thiện triệu chứng mà còn giảm đáng kể nguy cơ biến chứng tim mạch về lâu dài.