Ekip bác sĩ phẫu thuật tiêu hóa BVĐK Hồng Ngọc, đứng đầu là PGS.TS.BS Nguyễn Xuân Hùng đã thực hiện phẫu thuật điều trị triệt căn ung thư đại tràng sigma, đồng thời loại bỏ nang tụy 10cm cho bệnh nhân 76 tuổi, mắc tới 5 bệnh lý nền phức tạp.
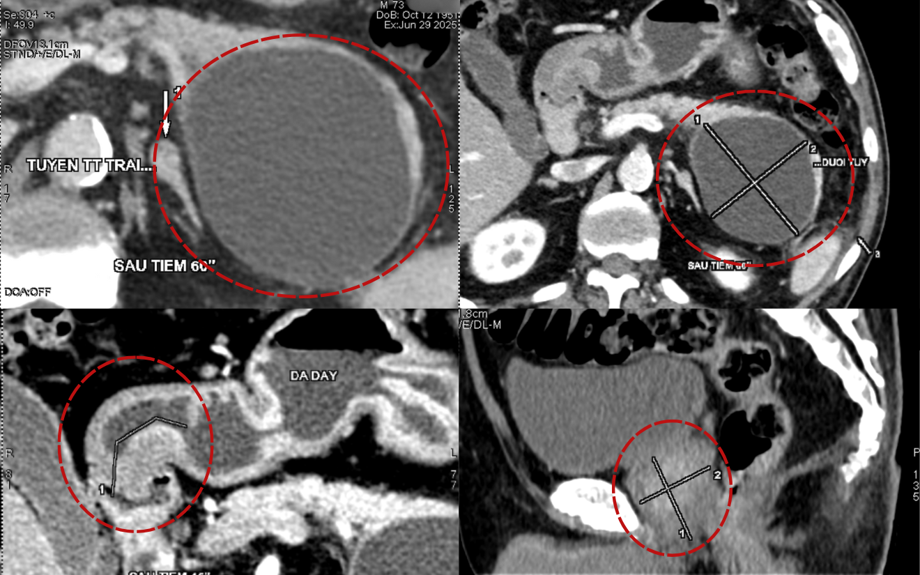
Bệnh nhân Phạm T, 76 tuổi, thăm khám tại BVĐK Hồng Ngọc trong tình trạng đau nóng râm ran vùng thượng vị, chán ăn, mệt mỏi. Kết quả nội soi và chụp CT phát hiện bệnh nhân có tổn thương tiêu hóa đa cơ quan: tổn thương loét vùng hang vị dạ dày, ung thư đại tràng sigma, và có nang tụy đường kính khoảng 10cm. Đây là một bệnh nhân tuổi cao, có nhiều bệnh lý nền phức tạp như đái tháo đường biến chứng suy thận, hẹp mạch vành, tăng huyết áp, rối loạn mỡ máu, viêm gan B… khiến việc điều trị gặp nhiều thách thức. Do vậy bệnh nhân đã được hội chẩn liên chuyên khoa để đề ra các biện pháp điều trị tối ưu nhất.
Kết quả chụp CT phát hiện bệnh nhân có tổn thương tiêu hóa đa cơ quan
Sau khi bệnh nhân được kiểm soát ổn định các bệnh lý nền, ê-kíp tiến hành phẫu thuật.
“Vấn đề của ca bệnh này là các tổn thương nằm ở hai vị trí khác nhau: phía trên gồm dạ dày và vùng thân - đuôi tụy, phía dưới là đại tràng sigma. Nếu áp dụng phương pháp mổ mở truyền thống, đường mổ bụng sẽ dài.. Do đó, chúng tôi lựa chọn kết hợp phẫu thuật nội soi để cắt đại tràng, và đường mổ mở trên rốn để xử lý nang tụy, đồng thời thăm dò tổn thương dạ dày.” - PGS.TS.BS Nguyễn Xuân Hùng phân tích.
Ê-kíp phẫu thuật cho bệnh nhân T
Trong quá trình phẫu thuật có sử dụng phương pháp sinh thiết tức thì để chẩn đoán và xác định cho phẫu thuật ung thư triệt để. Kết quả sinh thiết tế bào hang vị là viêm lành tính và diện cắt đại tràng triệt căn.
Như vậy, phẫu thuật đã thực hiện cắt đại tràng sigma, thăm dò thương tổn vùng hang vị dạ dày và nối nang tụy với ruột non quai chữ Y. Hậu phẫu diễn biến thuận lợi: sau mổ 3 ngày bệnh nhân đã tập đi lại, ăn uống nhẹ nhàng. Các chỉ số phẫu thuật ổn định, bệnh nhân ra viện sau 10 ngày.
Các chỉ số phẫu thuật ổn định, bệnh nhân ra viện sau 10 ngày
"Hiện tại sức khỏe tôi tốt hơn nhiều, tinh thần cũng thoải mái hơn. Trước đây tôi mệt mỏi, chán ăn nhưng giờ bắt đầu có cảm giác thèm ăn rồi. Rất cảm ơn PGS Hùng và Bệnh viện Hồng Ngọc đã điều trị tận tình cho tôi." - Bệnh nhân chia sẻ vào ngày ra viện.
BS Hùng nhấn mạnh: “Với những ca bệnh phức tạp như bệnh nhân T - sự phối hợp đa chuyên khoa là rất quan trọng để đưa ra 1 phác đồ, quy trình điều trị tối ưu nhất, phù hợp cho từng trường hợp cụ thể, giải quyết triệt để các vấn đề sức khỏe như phẫu thuật, điều trị các bệnh lý nền, hay bệnh nhân cao tuổi.
An tâm phẫu thuật tiêu hóa tại BVĐK Hồng Ngọc
PGS.TS.BS Nguyễn Xuân Hùng cùng đội ngũ bác sĩ chuyên môn cao trực tiếp thăm khám và phẫu thuật
Hệ thống phòng mổ hiện đại, thiết bị tiên tiến nhập khẩu từ Đức - Pháp - Mỹ
Quy trình quản lý đau trước - trong - sau mổ chặt chẽ, bệnh nhân ít đau đớn, rút ngắn thời gian hồi phục
Không gian nội trú sang trọng, điều dưỡng túc trực 24/7
Liên hệ hotline để được tư vấn chi tiết: 0949 646 556
Ekip bác sĩ phẫu thuật tiêu hóa BVĐK Hồng Ngọc, đứng đầu là PGS.TS.BS Nguyễn Xuân Hùng đã thực hiện phẫu thuật điều trị triệt căn ung thư đại tràng sigma, đồng thời loại bỏ nang tụy 10cm cho bệnh nhân 76 tuổi, mắc tới 5 bệnh lý nền phức tạp.
Bệnh nhân Phạm T, 76 tuổi, thăm khám tại BVĐK Hồng Ngọc trong tình trạng đau nóng râm ran vùng thượng vị, chán ăn, mệt mỏi. Kết quả nội soi và chụp CT phát hiện bệnh nhân có tổn thương tiêu hóa đa cơ quan: tổn thương loét vùng hang vị dạ dày, ung thư đại tràng sigma, và có nang tụy đường kính khoảng 10cm. Đây là một bệnh nhân tuổi cao, có nhiều bệnh lý nền phức tạp như đái tháo đường biến chứng suy thận, hẹp mạch vành, tăng huyết áp, rối loạn mỡ máu, viêm gan B… khiến việc điều trị gặp nhiều thách thức. Do vậy bệnh nhân đã được hội chẩn liên chuyên khoa để đề ra các biện pháp điều trị tối ưu nhất.
Kết quả chụp CT phát hiện bệnh nhân có tổn thương tiêu hóa đa cơ quan
Sau khi bệnh nhân được kiểm soát ổn định các bệnh lý nền, ê-kíp tiến hành phẫu thuật.
“Vấn đề của ca bệnh này là các tổn thương nằm ở hai vị trí khác nhau: phía trên gồm dạ dày và vùng thân - đuôi tụy, phía dưới là đại tràng sigma. Nếu áp dụng phương pháp mổ mở truyền thống, đường mổ bụng sẽ dài.. Do đó, chúng tôi lựa chọn kết hợp phẫu thuật nội soi để cắt đại tràng, và đường mổ mở trên rốn để xử lý nang tụy, đồng thời thăm dò tổn thương dạ dày.” - PGS.TS.BS Nguyễn Xuân Hùng phân tích.
Ê-kíp phẫu thuật cho bệnh nhân T
Trong quá trình phẫu thuật có sử dụng phương pháp sinh thiết tức thì để chẩn đoán và xác định cho phẫu thuật ung thư triệt để. Kết quả sinh thiết tế bào hang vị là viêm lành tính và diện cắt đại tràng triệt căn.
Như vậy, phẫu thuật đã thực hiện cắt đại tràng sigma, thăm dò thương tổn vùng hang vị dạ dày và nối nang tụy với ruột non quai chữ Y. Hậu phẫu diễn biến thuận lợi: sau mổ 3 ngày bệnh nhân đã tập đi lại, ăn uống nhẹ nhàng. Các chỉ số phẫu thuật ổn định, bệnh nhân ra viện sau 10 ngày.
Các chỉ số phẫu thuật ổn định, bệnh nhân ra viện sau 10 ngày
"Hiện tại sức khỏe tôi tốt hơn nhiều, tinh thần cũng thoải mái hơn. Trước đây tôi mệt mỏi, chán ăn nhưng giờ bắt đầu có cảm giác thèm ăn rồi. Rất cảm ơn PGS Hùng và Bệnh viện Hồng Ngọc đã điều trị tận tình cho tôi." - Bệnh nhân chia sẻ vào ngày ra viện.
BS Hùng nhấn mạnh: “Với những ca bệnh phức tạp như bệnh nhân T - sự phối hợp đa chuyên khoa là rất quan trọng để đưa ra 1 phác đồ, quy trình điều trị tối ưu nhất, phù hợp cho từng trường hợp cụ thể, giải quyết triệt để các vấn đề sức khỏe như phẫu thuật, điều trị các bệnh lý nền, hay bệnh nhân cao tuổi.
An tâm phẫu thuật tiêu hóa tại BVĐK Hồng Ngọc
PGS.TS.BS Nguyễn Xuân Hùng cùng đội ngũ bác sĩ chuyên môn cao trực tiếp thăm khám và phẫu thuật
Hệ thống phòng mổ hiện đại, thiết bị tiên tiến nhập khẩu từ Đức - Pháp - Mỹ
Quy trình quản lý đau trước - trong - sau mổ chặt chẽ, bệnh nhân ít đau đớn, rút ngắn thời gian hồi phục
Không gian nội trú sang trọng, điều dưỡng túc trực 24/7
Liên hệ hotline để được tư vấn chi tiết: 0949 646 556