一名79岁的以色列老人因在内排国际机场突然晕倒,经检查发现存在严重颈动脉狭窄,卒中风险极高。所幸患者随后在红玉综合医院接受及时治疗,成功恢复了脑部供血。
因颈动脉完全堵塞导致昏厥、短暂性意识丧失
刚抵达越南内排国际机场准备开始旅行时,79岁的以色列籍老人 Jack Halpern 先生突然出现头晕、眼花,并在机场卫生间内晕倒。苏醒后,他前往红玉综合医院就诊,当时处于短暂性记忆丧失状态,无法回忆此前发生的事情,同时伴有明显乏力及四肢发冷等症状。
Halpern 先生回忆称,尽管多年来一直在日本定期体检并规律服用心血管药物,但他的血压仍难以控制,常常维持在 150/100 mmHg 左右,甚至一度升至 180/100 mmHg。此外,他还既往患有血脂异常和心力衰竭。
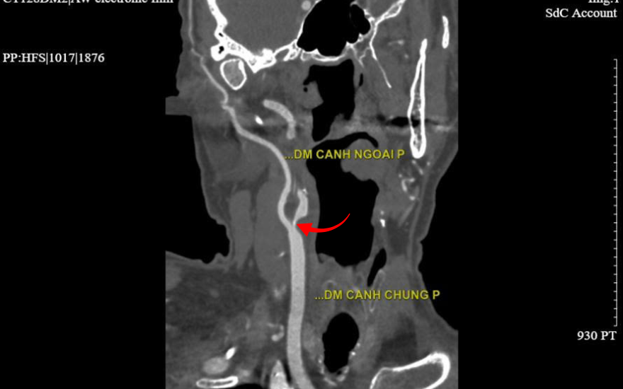
接诊后,红玉 - 福长明综合医院 心血管与介入心脏病科的 高猛兴 (Cao Manh Hung) 硕士、住院医生 立即判断,Halpern 先生的症状符合短暂性脑缺血发作(TIA)的典型表现,提示存在极高的卒中风险。随后进行的相关检查结果显示,患者右侧颈内动脉在开口处即出现极重度狭窄(>90%),并伴有多处动脉粥样硬化斑块。此外,其冠状动脉系统亦发现前降支狭窄超过90%。
_15.png)
2560排CT扫描影像显示的颈动脉狭窄部位
颈动脉狭窄会导致流向大脑的血液减少甚至完全阻断,这正是 Halpern 先生出现上述危险症状的主要原因。高猛兴 (Cao Manh Hung) 医生警告说:“如果血管不能及时得到开通,患者可能面临脑卒中,并留下瘫痪、语言障碍、痴呆等严重后遗症,甚至危及生命。”.
从心脏到大脑的干预策略:循序渐进 - 安全 - 精准
面对Halpern先生这样高龄、携带多种危险因素的复杂且严重病情,介入团队确定不能急于立即进行颈动脉介入。
取而代之的是,患者需要制定审慎且个体化的治疗方案,其中精准评估和治疗以改善心脏功能起着关键作用,旨在确保整个介入过程中的最高安全级别。
对于这一治疗策略,直接为Halpern先生实施介入的硕士、医生 阮文海 (Nguyen Van Hai) - 心血管科主任 解释:"颈动脉窦是颈部的一个敏感区域,负责调节血压和心率。在此处进行介入时,可能会刺激机体反应,导致血压下降或心率减慢。因此,如果患者同时患有冠心病,就像Halpern先生这样,我们通常会先处理冠状动脉,待心脏稳定后,再进行颈动脉介入,以确保更高的安全性。"
据此,介入团队决定将介入过程分为两个阶段,同时配合积极的药物治疗,以在术前稳定控制基础疾病。
在第一次介入中,Halpern先生接受了冠状动脉支架植入术,以预防急性心肌梗死的风险——这是一种可能直接危及生命的并发症。
5天后,当他的健康状况稳定,为心脏供血的血管得到有效开通后,介入团队继续为其进行颈动脉支架植入术,以扩张狭窄部位,帮助恢复脑部血流量,降低卒中风险。

介入团队为患者进行颈动脉支架植入术
硕士、医生 阮文海 (Nguyen Van Hai) 还表示:"在整个介入过程中,我们持续密切监测和控制患者的生命体征,以确保大脑得到最大程度的安全保护。"
在介入手术台上——手术结束后,Halpern先生就感觉到症状几乎完全消失,不再头痛、头晕。
第二次介入三天后,Halpern先生神志清醒,恢复迅速并出院
介入术后,Halpern先生继续在医生的指导下严格控制高血压、血脂紊乱等危险因素,同时必须严格遵守抗血小板药物的服用,以预防并发症,特别是支架内再狭窄的风险。
通过这一典型病例,Hải医生强调,当患者出现脑卒中的症状如:肢体无力或瘫痪、意识丧失、口角歪斜、半身不遂、视物模糊...或已被诊断为脑卒中且伴有心血管危险因素病史时,应定期检查并进行颈动脉多普勒超声检查。这是一种非侵入性的筛查方法,旨在精准发现和评估脑血管狭窄或堵塞的程度,从而及时制定治疗方案并进行干预。
红玉综合医院心血管与介入心血管科
- 河内市巴亭坊安宁街55号
- 河内市慈廉坊周文廉路8号
- 热线: 0911 858 626